A 3-year-old child was evaluated for otalgia, retroauricular inflammatory signs and auricular protrusion (Fig. 1) in absence of fever or clinical evidence of acute otitis media.
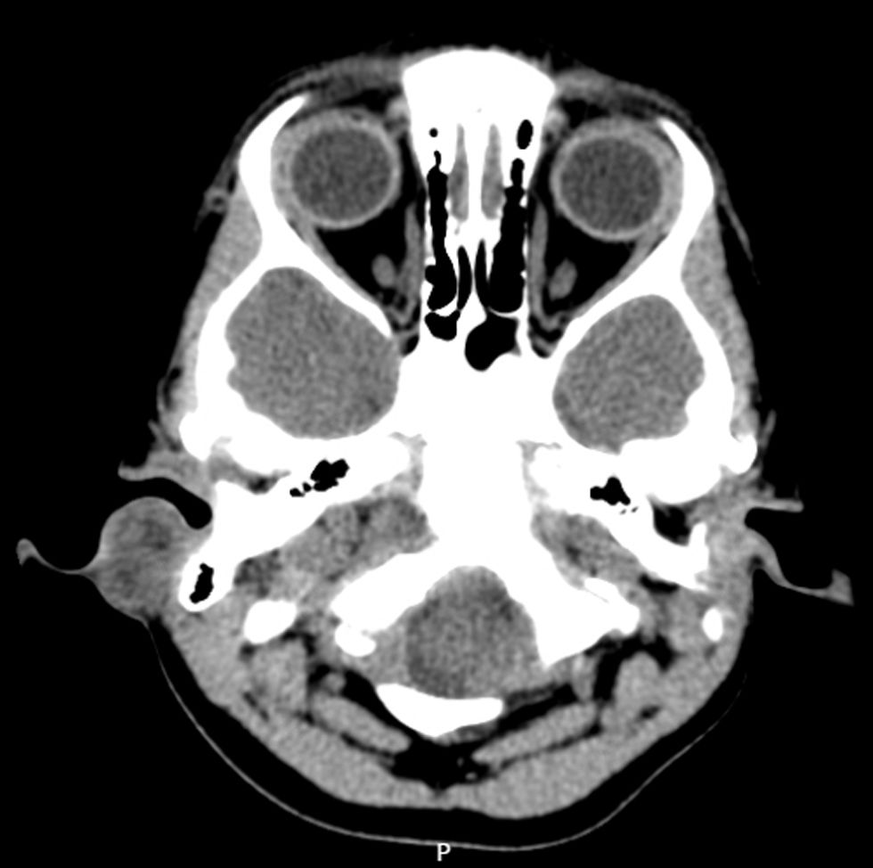
The initial diagnosis in the pediatric emergency department was otomastoiditis. An otorhinolaryngological evaluation was performed due to the poor response to empirical antibiotic therapy, which established the diagnosis of perichondritis and guided the adjustment of treatment. Clinical worsening accompanied by retroauricular swelling prompted computed tomography, which confirmed auricular perichondritis complicated by a retroauricular abscess (Fig. 2). Surgical drainage revealed a preauricular sinus, with isolation of Staphylococcus lugdunensis. The antibiotic treatment was adjusted and the patient exhibited complete clinical recovery in two weeks.
Auricular perichondritis should be considered in patients with inflammatory signs of the external ear and is distinguished from cellulitis by the sparing of the lobule.1,2 Systemic signs and elevated inflammatory markers are usually absent, unlike in otomastoiditis. Penetrating trauma, particularly ear piercing, is the most common etiology, although insect bites may also be involved.1,2 The microorganisms most commonly involved are Pseudomonas aeruginosa and Staphylococcus aureus.1,2
Clinical deterioration or lack of response to antibiotic therapy should raise suspicion of a retroauricular abscess.2,3 Congenital anomalies, such as a preauricular sinus, predispose to recurrent abscess formation by serving as a portal of entry for infection.3
Delayed diagnosis may cause auricular cartilage necrosis, highlighting the need for early recognition and appropriate antibiotic therapy.1–3




