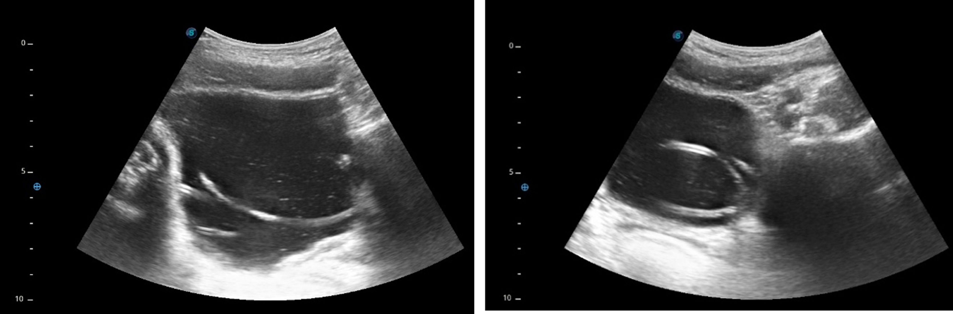
A boy aged 11 years presented to the emergency department with pain in the right testicle and fever of 24 h’ duration. The physical examination evinced scrotal inflammation and erythema with absent cremasteric reflex. The ultrasound examination revealed scrotal wall thickening, increased vascularization and incipient abscesses in the tail of the epididymis, compatible with epididymitis. The patient started antibiotherapy with cefotaxime. Exploratory surgery was performed 24 h later on account of clinical worsening, confirming the presence of severe epididymitis with hydrocele. The urine culture yielded mixed flora. The patient was discharged four days later with a prescription for a 7-day course of amoxicillin-clavulanic acid. An abdominal ultrasound performed on day five to rule out urological disease yielded images suggestive of an intravesical catheter, and the patient was referred to the emergency department. He remained asymptomatic, and he had not previously undergone urinary catheterization. The point-of-care ultrasound confirmed the presence of a looped foreign body (Fig. 1), prompting performance of urgent cystoscopy with removal of a foreign body measuring 75 cm that appeared to be a plastic wire (Fig. 2).
The assessment by the social work and mental health teams ruled out abuse, maltreatment and psychiatric illness. Eventually, the patient acknowledged self-insertion.
The presence of a foreign body in the urinary tract can cause bacterial epididymitis1 and requires ruling out risk situations such as abuse, maltreatment or bullying,2 as well as a multidisciplinary approach.
FundingThis research did not receive any external funding.
The authors have no conflicts of interest to declare.




