An infant aged 2 months with an unremarkable history was brought in for evaluation of progressive left exophthalmos of five weeks’ duration, with no discharge, pain, or fever. On examination, the patient presented with left exophthalmos (Fig. 1) that prevented complete closure of the eyelid, normal reactive pupils, and preserved eye movements. The results of laboratory tests and the fundus examination were normal.
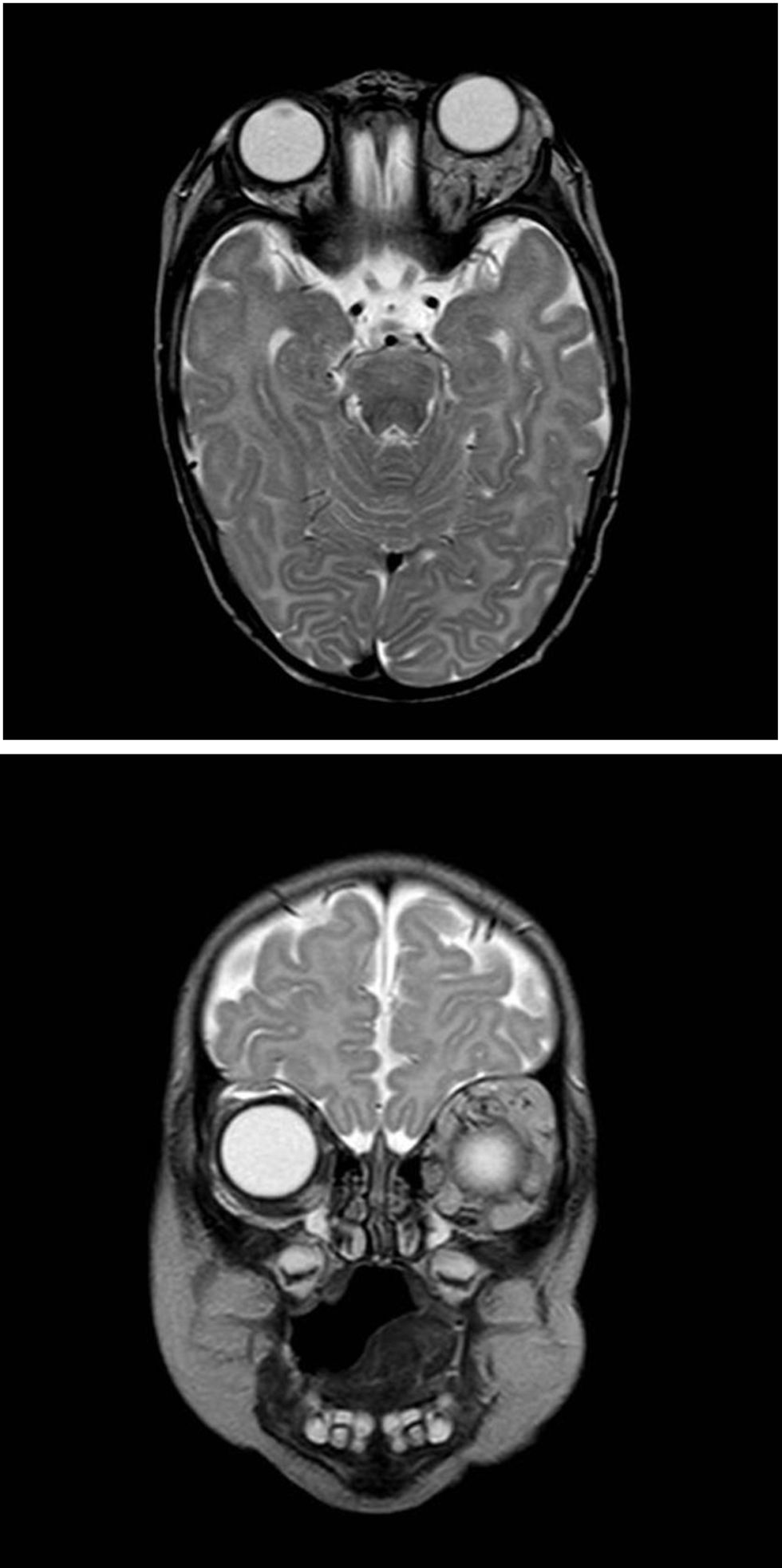
An MRI scan (Fig. 2) showed a predominantly intraconal retrobulbar lobulated lesion with an irregular shape and multiple dilated vessels, consistent with an infantile hemangioma, without intracranial extension.
Treatment started with oral propranolol at 1 mg/kg/day given in two doses, with monitoring of vital signs and blood glucose levels according to protocol, with no complications. Left eye lubrication and part-time patching of the right eye were prescribed to prevent amblyopia. The dose was increased weekly until reaching the recommended dose of 3 mg/kg/day. The patient exhibited a favorable response, with improvement in exophthalmos beginning in the first week of treatment. She is currently asymptomatic after nine months of treatment.
Infantile hemangiomas are the most common benign vascular tumors in children, and they tend to regress spontaneously in the first few years. However, in certain locations, such as the orbit, they pose a risk due to potential functional and cosmetic complications, as they can cause astigmatism, strabismus, anisotropy, and amblyopia, with a risk of permanent visual impairment.




