En esta revisión se describen en primer lugar los principales avances en las técnicas de imagen de aplicación en los pacientes pediátricos, seguidos de los desafíos y direcciones futuras, que pueden tener un potencial de mejorar el diagnóstico en este grupo de edad.
Avances en ecografíaLa ecografía se utiliza ampliamente en niños y se ha convertido en la técnica de imagen de primera línea para diversas patologías pediátricas. Entre los recientes avances destaca la elastografía, técnica funcional que cuantifica la rigidez tisular, utilizada preferentemente en la evaluación de la fibrosis hepática; concretamente se utiliza la elastografía por ondas transversales (shear wave elastography), fácil de aplicar en pediatría, porque está incorporada al equipo, es de obtención ultrarrápida, poco sensible al movimiento, permite trabajar con la imagen congelada y detecta estadios tempranos de fibrosis. Otras posibles indicaciones incluyen lesiones cerebrales graves, segmentos intestinales fibróticos o fibrosis renal. Otra técnica es la ecografía con contraste (contrast-enhanced ultrasound [CEUS]), en la que agentes de contraste ecográfico se pueden administrar por vía intravenosa, intracavitaria o intravesical. La administración intravesical se utiliza para la cistouretrografía miccional con contraste (contrast-enhanced voiding urosonography [ceVUS]) como alternativa a la cistouretrografía miccional fluoroscópica, con una gran sensibilidad en la detección del reflujo vesicoureteral y de la evaluación detallada de la uretra. En algunos casos, la CEUS con contraste intravenoso puede usarse en la caracterización de lesiones hepáticas focales benignas, como hemangiomas, hiperplasia nodular focal o infiltración grasa, obviando la necesidad de otras técnicas que requieren radiación ionizante o sedación. Indicaciones emergentes de la CEUS son la evaluación y el seguimiento de la enterocolitis necrotizante, la enfermedad inflamatoria intestinal y la lesión de la sustancia blanca en la prematuridad1.
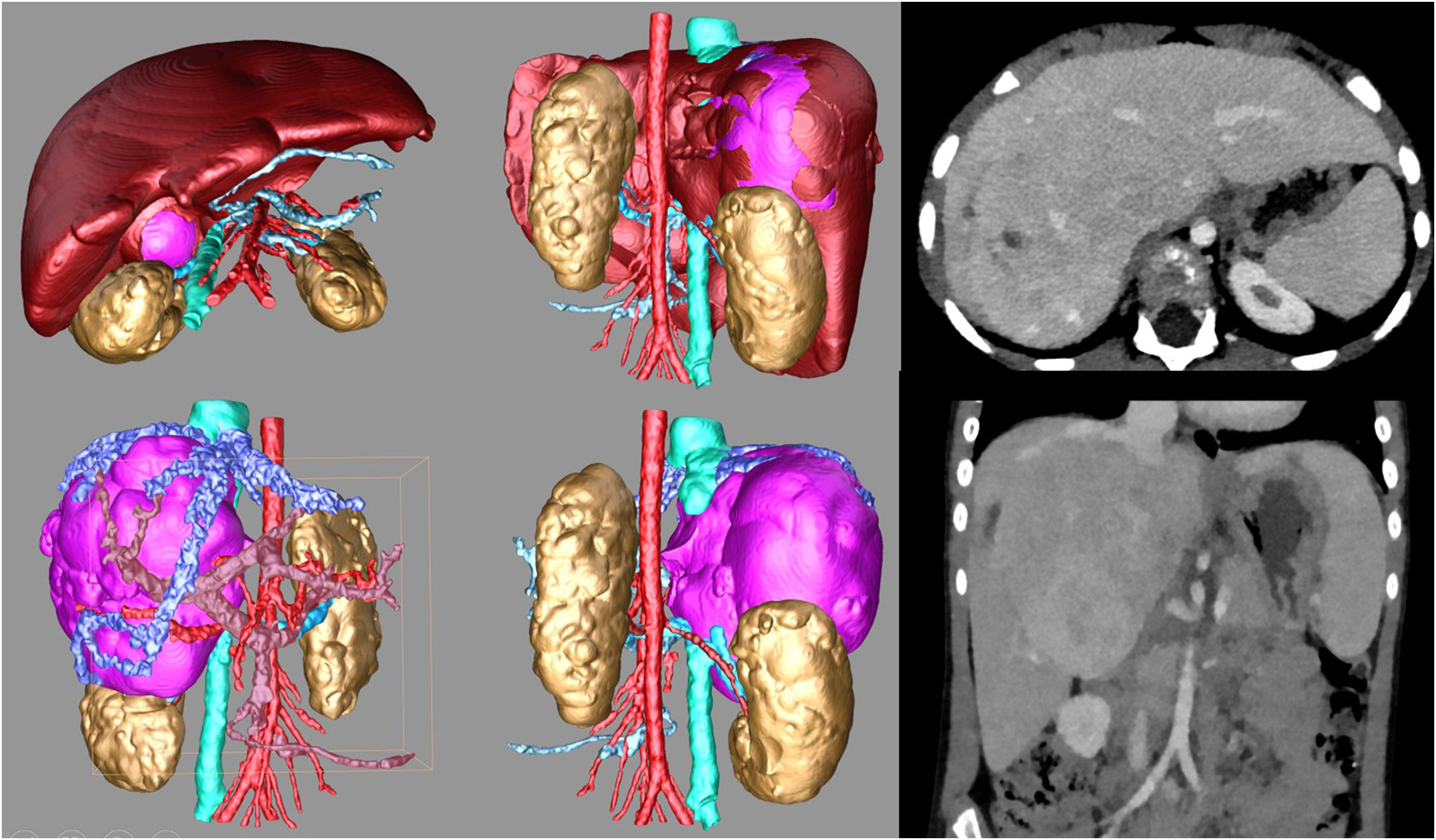
Avances en tomografía computarizada (TC)Las tecnologías modernas de TC incluyen sistemas de doble energía y de conteo de fotones que mejoran la calidad de la imagen y reducen la dosis de irradiación. Los escáneres de TC de doble energía (dual-energy CT) pueden generar imágenes virtuales sin contraste que permiten visualizar cálculos renales en estudios con contraste, así como mapas de yodo que pueden ser útiles para visualizar la perfusión pulmonar en casos de embolia pulmonar. Los escáneres de TC con conteo de fotones (photon-counting CT [PCCT]) generan imágenes de mejor calidad con dosis de radiación y volúmenes de contraste menores. Se estima que la PCCT podría reducir las dosis de radiación en aproximadamente un 30-60%, dependiendo del protocolo de imagen y la cuestión clínica2. Estos avances permiten ya obtener mapas de cuantificación de captación de yodo, mejorando la diferenciación tisular, una mejor segmentación y reconstrucción tridimensional de las lesiones tumorales, con mejoría de la reconstrucción tridimensional e impresión 3D, facilitando la planificación de cirugías complejas y la integración de la imagen con la robótica quirúrgica, permitiendo así avances en la cirugía guiada por imagen (figura 1).
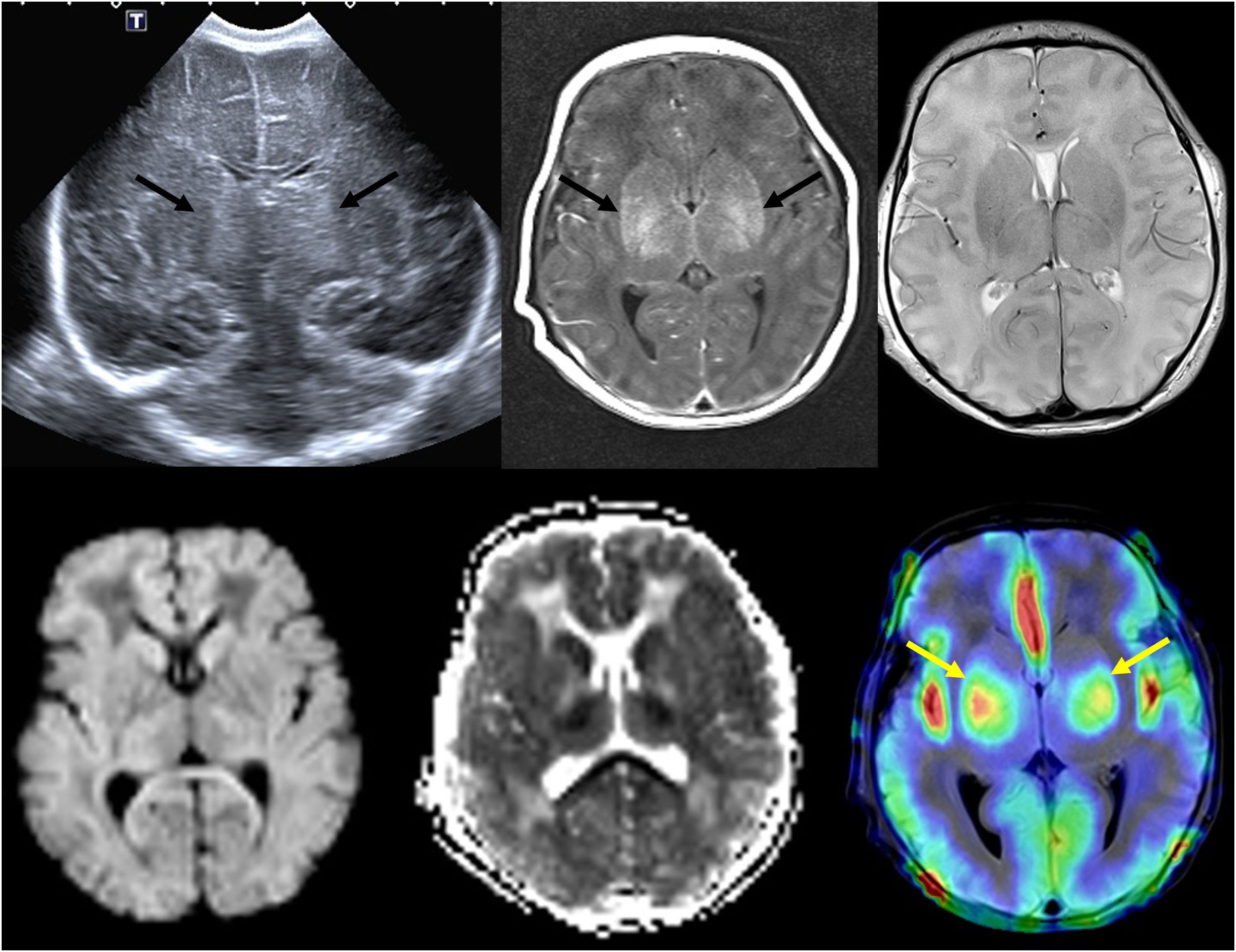
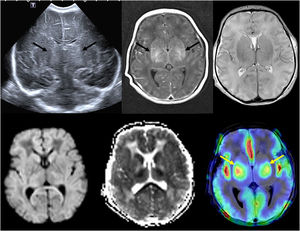
Avances en resonancia magnética (RM)En los últimos años la RM ha experimentado importantes innovaciones, sobre todo en la reducción de los tiempos de exploración. La RM rápida es un método que limita los tiempos de exploración lo suficiente como para evitar la sedación, siendo utilizada habitualmente para el cerebro, pero también en el dolor abdominal agudo y las infecciones musculoesqueléticas. El método Dixon de supresión de grasa es más uniforme y proporciona imágenes con y sin supresión de grasa en una sola adquisición. La imagen por tensor de difusión (diffusion tensor imaging [DTI]) permite cuantificar la difusión anisotrópica en diversas direcciones, con ulterior construcción de mapas de anisotropía representando la dirección de los tractos o tractografía, la cual puede representar cambios microestructurales en el tejido cerebral, tanto los fisiológicos asociados a la mielinización y desarrollo cerebral normal, como en diversos trastornos o en cambios posteriores al tratamiento. Esta técnica ayuda al neurocirujano a reducir la morbilidad al resecar la mayor cantidad de tumor posible, preservando los tractos más importantes de sustancia blanca, como las vías corticoespinales, responsables de la función motora, o el fascículo arqueado, responsable del lenguaje. La perfusión ASL (arterial spin labeling) es un método de perfusión que no requiere gadolinio, pues utiliza el agua de la sangre como marcador endógeno, con la ventaja de su carácter no invasivo. Puede mostrar cambios en la perfusión cerebral en diversas anomalías como ictus, convulsiones, migrañas complicadas, o neoplasias cerebrales (figura 2). La RM espectroscopia (RMs) proporciona información metabólica complementaria a las imágenes neuroanatómicas y es especialmente útil en las neoplasias cerebrales, contribuyendo a determinar el grado de malignidad, así como a valorar la respuesta al tratamiento. La RM funcional (RMf) utiliza los cambios dependientes del nivel de oxigenación sanguínea, siendo su principal utilidad la planificación prequirúrgica previa a la resección de lesiones como tumores cerebrales, malformaciones vasculares o focos epileptógenos cercanos a la corteza elocuente. Las áreas elocuentes del cerebro que se estudian con mayor frecuencia incluyen las áreas motoras, del lenguaje y visuales, mediante diversos paradigmas basados en tareas. La técnica SWI (susceptibility weighted image) es una técnica de eco de gradiente 3D, de alta resolución espacial, que acentúa las propiedades magnéticas de productos sanguíneos, calcificaciones y hierro, siendo sensible en la detección de microhemorragias y en diferenciarlas de las calcificaciones, o en demostrar la vascularización anómala en los tumores de alto grado3.
A)Ecografía transfontanelar realizada en el primer día de vida en neonato a término con hipoxia-isquemia grave que demuestra lesión bilateral de sustancia gris central (flechas). B)RM craneal realizada a los 4días de edad que demuestra lesión bilateral de sustancia gris central en las secuencias T1, T2, con restricción en difusión, con evidencia de perfusión elevada en ASL (flechas), lo cual se ha correlacionado con mal pronóstico.
La RM fetal se emplea ya frecuentemente como técnica de segunda línea tras la ecografía obstétrica, principalmente para caracterizar las anomalías del SNC, si bien debería realizarse preferentemente en centros terciarios, mejor por radiólogos expertos, no siendo recomendable antes de las 19-20semanas de gestación. La integración de la información de la RM con los datos genéticos y estadísticos es hoy día necesaria para lograr un asesoramiento prenatal adecuado.
Avances en imagen post mortem (PM)Su práctica pediátrica se está generalizando tras la disminución gradual de las autopsias invasivas y la mayor aceptación por parte de padres y profesionales sanitarios. Incluye diversas técnicas de imagen, como radiografías convencionales, TC o RM. Las radiografías siguen siendo la base de la imagen post mortem forense en casos de muertes infantiles sospechosas. Numerosos estudios han demostrado la utilidad de la RM PM en la imagen perinatal y fetal debido a su capacidad para visualizar anomalías de tejidos blandos, si bien la TC PM ofrece ventajas para la identificación de fracturas, menor coste y mayor rapidez de adquisición4. La guía estándar del Reino Unido en casos sospechosos de maltrato físico infantil se actualizó en 2018, e incluye ahora la recomendación de una TC PM si hay sospecha de lesión ósea que no se haya determinado mediante radiografía, así como una RM PM si hay sospecha de lesión de tejidos blandos en muertes pediátricas inesperadas. La RM PM se realiza en fetos o neonatos preferentemente, con una RM de cuerpo entero, obtenida en menos de 24horas tras el parto o el fallecimiento (figura 3). Se precisa una formación radiológica previa para reconocer los hallazgos normales post mortem y diferenciarlos de los verdaderamente patológicos. Puede no ser diagnóstica en casos de fetos con poca edad gestacional.
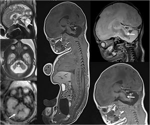
Feto de 33 semanas de gestación con hallazgo ecográfico de hipoplasia cerebelosa. A)RM fetal realizada a las 33 semanas, que demuestra una lesión clástica o destructiva del cerebelo con restos hemorrágicos (flechas). B)RM fetal post mortem tras la interrupción de la gestación que muestra la hemorragia cerebelosa, con hallazgo asociado de lesión tegmental del bulbo raquídeo (flechas), no evidenciada previamente.
La radiómica es un campo emergente que se centra en la extracción de características cuantitativas de imágenes médicas, de diversas modalidades como TC, RM o PET, que se pueden analizar mediante aprendizaje automático y métodos estadísticos para obtener información clínicamente relevante para el diagnóstico, la caracterización y la predicción de la respuesta al tratamiento de diversas enfermedades, permitiendo en última instancia intervenciones terapéuticas más personalizadas y efectivas. Así, por ejemplo, la radiómica y el aprendizaje profundo (deep learning) tienen potencial de ofrecer una mayor comprensión de la biología tumoral, facilitar estrategias de tratamiento personalizadas y mejorar la precisión del pronóstico en el neuroblastoma5.
La inteligencia artificial (IA) es un subconjunto del aprendizaje automático que puede identificar patrones en los datos y alcanzar objetivos preestablecidos sin programación específica. Con una entrada de datos y una unidad de procesamiento gráfico apropiadas, se pueden procesar grandes cantidades de datos de imágenes, datos clínicos y literatura médica en muy poco tiempo, acelerando considerablemente la revisión bibliográfica, la obtención del diagnóstico correcto y la búsqueda del mejor tratamiento para cada paciente. Por ejemplo, en niños con síndromes de predisposición al cáncer, estos algoritmos podrían ser utilizados para mejorar la sensibilidad y la especificidad de las pruebas de imagen para el cribado y la detección precoz del cáncer. También se han utilizado algoritmos de aprendizaje automático para predecir la supervivencia en niños con cáncer y mejorar los resultados a largo plazo. Los desarrollos futuros requieren iniciativas de estandarización y compartición de datos fuente y nuevos algoritmos para permitir validaciones cruzadas y maximizar el beneficio para el paciente. En el caso de las imágenes de RM se ha empezado a utilizar la IA mediante la técnica de redes neuronales artificiales para reducir los tiempos de adquisición, que en pacientes pediátricos permiten disminuir la necesidad de sedación o anestesia general.





