Niña de 14 años, sin antecedentes de interés, que acude a consulta de neurología pediátrica por cuadro de inestabilidad y mareo intermitentes y cefalea frontal opresiva diaria, sin predominio horario, que no interfiere su actividad habitual ni la despierta por las noches, pero que ha ido en aumento en los últimos 3 meses. La exploración física y neurológica es normal sin deformidades ni asimetrías.
Por el carácter progresivo de la cefalea, se realiza el cribado diagnóstico inicial para cefalea con características de organicidad. Las pruebas analíticas resultan normales.
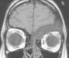
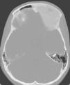
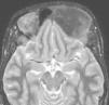
El estudio de resonancia magnética (RM) cerebral evidencia una lesión endomedular, frontoetmoidal izquierda, insuflante, hipointensa, que produce discreto efecto de masa sobre los surcos corticales frontobasales izquierdos (figs. 1 y 2). Para mejor visualización de partes óseas se realiza tomografía computarizada de cráneo y órbitas que muestra como la afectación ósea frontoetmoidal izquierda alcanza el techo de la órbita. La lesión es expansiva, mixta, esclerótica-lítica, y con una atenuación característica en «vidrio deslustrado o cristal esmerilado» (fig. 3). La imagen radiológica sugiere una displasia fibrosa craneofacial. El estudio oftalmológico mostró una agudeza visual y campimetría normales. La serie ósea descartó afectación a otros niveles. Se han realizado controles de RM sin encontrarse progresión tras dos años de seguimiento.
La cefalea y el vértigo son motivos de consulta muy frecuentes en pediatría; la mayoría de las veces no se llega a un diagnóstico etiológico. La displasia fibrosa craneofacial suele cursar de forma asintomática pero en algunos casos puede dar sintomatología por afectación de estructuras craneofaciales. En este caso la localización frontoetmoidal de la lesión justifica la clínica por compresión local craneofacial. Este caso resalta la importancia de las pruebas diagnósticas en la cefalea con características de organicidad.





