Lactante de 8 meses al que se realiza una RM por sospecha de malfunción valvular. Se evidencian cambios en la intensidad de señal en ambos tálamos, globos pálidos, núcleos dentados y troncoencéfalo, que no aparecían en las RM previas y no asociados a cambios clínicos.
Intervenido tras el nacimiento por mielomeningocele con inserción de válvula de derivación ventrículo-peritoneal. A los 6 meses presenta espasmos en flexión con hipsarritmia en el trazado electroencefalográfico, siendo diagnosticado de síndrome de West. Se inició tratamiento con ácido valproico, ACTH y posteriormente vigabatrina, alcanzando dosis máxima de 100mg/kg.
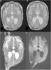
La RM se realiza por sospecha de malfunción valvular tras un mes de tratamiento con vigabatrina. Los hallazgos sugieren edema citotóxico: hiperintensidad de señal bilateral y simétrica en secuencias ponderadas en T2 en ambos tálamos, globos pálidos, núcleos dentados y troncoencéfalo (figs. 1A y B). En la secuencia de difusión se observa hiperintensidad de señal (fig. 1C) con caída del coeficiente aparente de difusión (ADC) en estas regiones (fig. 1C).
RM cerebral realizada a los 8 meses. A y B) Secuencia ponderada en T2 en la que se aprecia hiperintensidad bilateral de globos pálidos y tálamos. C) Mapa ADC que muestra restricción a la difusión de ambos globos pálidos y tálamos de forma simétrica. D) Imagen ponderada en difusión (DWI) en la que se observa hiperintensidad de globos pálidos y tálamos.
Vigabatrina actúa como inhibidor irreversible de la GABA transaminasa, aumentando la concentración de GABA. Constituye uno de los tratamientos de primera línea de los espasmos epilépticos1. Estudios histológicos en animales ponen de manifiesto edema intramielínico y microvacuolización tras el tratamiento con vigabatrina2. La incidencia de anomalías transitorias en la RM asociadas al tratamiento con vigabatrina es del 22-32%, cursa sin clínica asociada, es reversible y es dosis-dependiente3.
El reconocimiento de las alteraciones reversibles en neuroimagen asociadas a vigabatrina es importante y se debe tener en cuenta en el diagnóstico diferencial de las lesiones en núcleos profundos.



