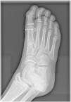
We present the case of a male adolescent aged 13 years who presented to the emergency department with pain in the metatarsophalangeal joint of the first toe of the right foot that developed after hitting the ground accidentally during a soccer game the day before. He had mild swelling at the hallux and tenderness on palpation of the joint. The foot radiograph (Fig. 1) evinced a bipartite lateral sesamoid.
Sesamoids are small pea-shaped bones embedded tendons to reinforce them and relieve the stress to which they are subjected.1 In the foot, the lateral and medial hallux sesamoid bones are located in the plantar surface of the head of the first metatarsal.2 Bipartite sesamoids are normal variants resulting from incomplete fusion during development, with an incidence of 7%–30%.1 The main differential diagnosis is sesamoid fracture, usually resulting from the forced hyperextension of the first toe, which may go undetected in some cases and cause complications such as avascular necrosis.2,3 In this case, the management was conservative, based on rest and off-loading the foot. The patient had a favourable outcome and was able to start resuming his athletic activities gradually in less than 2 weeks.



