La cojera es un motivo de consulta frecuente en Pediatría, representando hasta un 0′2% de las consultas en Urgencias Pediátricas1.
Presentamos el caso de un niño de 6 años remitido a Reumatología Pediátrica por cojera de 3 meses de evolución que empeoraba con la actividad y no respondía a antiinflamatorios no estroideos. Referían torpeza, escaso balanceo de brazos y cervicalgia de larga evolución. Aportaron radiografía y ecografía de caderas, analítica sanguínea y exploración oftalmológica; estudios normales excepto anticuerpos antinucleares ANA positivos (1/80).
En la exploración, no dolor o tumefacción, cojera con balanceo hacia la derecha, dismetría de miembros inferiores (MMII) (derecho de menor longitud y perímetro: 0,5 y 1cm, respectivamente), hiperreflexia con aumento del área reflexógena y sin clonus en bicipital y tricipital bilaterales, y en rotuliano derecho.
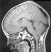
Se realizó una gammagrafía ósea de pelvis y MMII (fig. 1) sin alteraciones en caderas, mostrando menor captación derecha. Ante la sospecha de un proceso con afectación crónica del lado derecho, se realizó resonancia magnética cerebral y medular (figs. 2 y 3) y se diagnosticó de malformación de Arnold-Chiari tipo 1 (MCI) y siringomielia extendida hasta T8. El paciente fue derivado para intervención neuroquirúrgica que resultó exitosa.
Las causas más frecuentes de cojera son los traumatismos y la sinovitis transitoria de cadera pero el diagnóstico diferencial debe incluir patología infecciosa, inflamatoria, oncología, ortopédica y neurológica2. En este caso, el paciente fue diagnosticado MCI y el tratamiento de elección es quirúrgico para eliminar los síntomas compresivos y detener la progresión de la siringomielia3.





