La colecistitis aguda alitiásica (CAA) se define como la inflamación de la vesícula biliar en ausencia de cálculos. Su origen es multifactorial. Representa el 5-10% de todos los casos de colecistitis aguda en adultos. La colecistitis en niños es una entidad muy infrecuente (1,3 casos pediátricos por cada 1.000 casos en adultos), y de estas el 30-50% son alitiásicas1-3. La mayoría de los casos descritos en niños están asociados a infecciones sistémicas (fiebre tifoidea, escarlatina, sarampión o VIH, citomegalovirus y virus de Epstein-Barr)4-6. También se ha descrito asociada al uso de nutrición parenteral, posquirúrgicos, quemaduras extensas y tras traumatismos1,3,7. Estas afecciones subyacentes suelen complicar el diagnóstico. En pacientes sanos, esta forma de colecistitis es aún menos frecuente.
La presentación clínica es variable y, a menudo, depende de las condiciones clínicas de base. En muchas ocasiones, se manifiesta con fiebre, dolor abdominal en cuadrante superior derecho, náuseas y vómitos. En la exploración física, aparecen dolor o masa a la palpación en hipocondrio derecho e ictericia. Las pruebas de laboratorio son inespecíficas. Se observa leucocitosis con desviación izquierda en un 70-85% de los pacientes. También son frecuentes la elevación leve de transaminasas y la hiperbilirrubinemia. Cabe recalcar que estos síntomas y signos de la CAA en la edad pediátrica son similares a otras afecciones abdominales como la apendicitis aguda2, lo que dificulta el diagnóstico.
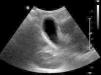
Presentamos el caso de un niño de 3 años que consulta por dolor en hemiabdomen derecho de 72 h de evolución, asociando vómitos, febrícula y deposiciones hipocólicas. En la exploración física destaca dolor a la palpación en la región supraumbilical y el hipocondrio derecho, con signo de Blumberg positivo. En la analítica presenta leucocitosis con desviación izquierda (27.000 leucocitos [neutrófilos 77%, cayados 4%]), alteración en la coagulación (TP 61%, fibrinógeno: 777mg/dl) y elevación de reactantes de fase aguda (PCR de 112,5mg/l). Se solicita una ecografía abdominal urgente (fig. 1), donde se sospecha CAA.
Se ingresa para analgesia, manteniéndose en dieta absoluta e iniciando tratamiento antibiótico por vía intravenosa con gentamicina, amoxicilina-ácido clavulánico y metronidazol. A las 12 h del ingreso, persiste dolor a la palpación abdominal, aunque de menor intensidad, sin vómitos ni alteraciones deposicionales. Se realiza control analítico, objetivándose aumento de la PCR a 218mg/l, y control ecográfico, donde persisten signos inflamatorios en el área vesicular, y grasa adyacente, mínima cantidad de líquido de aspecto inflamatorio y mínimo plastrón en asas próximas. Se solicita una tomografía computarizada abdominal urgente (fig. 2), en la que se reafirma el diagnóstico de CAA.
Debido a la persistencia de la clínica a pesar del tratamiento antibiótico y analgésico, el aumento de los reactantes de fase aguda y los hallazgos en las pruebas de imágenes con sospecha de gangrena de la vesícula biliar, se decide el traslado del paciente al servicio de cirugía pediátrica de referencia en la comunidad donde se procede a su abordaje quirúrgico confirmándose el diagnóstico de colecistitis aguda gangrenosa.
Tras la cirugía, el paciente presenta una rápida mejoría, con normalización analítica de forma progresiva y recuperación clínica, pudiendo ser dado de alta en los días sucesivos. El informe de anatomía patológica fue compatible con colecistitis aguda gangrenosa.
En la serología realizada al ingreso se obtuvieron resultados negativos para hepatitis A, B y C, VIH, virus de Epstein-Barr, virus herpes simple, citomegalovirus y Salmonella. El hemocultivo fue positivo para Staphylococcus epidermidis, que se interpretó como probable contaminante. Se obtuvo un resultado positivo para toxoplasmosis (IgG e IgM positivo), descrito en la literatura como posible causante del cuadro.
La asociación de manifestaciones clínicas poco evidentes, junto con la poca incidencia de esta afección, conlleva en muchas ocasiones un retraso en el diagnóstico. El diagnóstico precoz es fundamental para evitar las complicaciones asociadas (gangrena y perforación), que son más frecuentes en esta enfermedad que en las colecistitis litiásicas. Aunque la tomografía computarizada ofrece una descripción anatómica más detallada, el seguimiento ecográfico en la edad pediátrica es más rentable para determinar la necesidad de intervención quirúrgica. El tratamiento médico único es seguro y efectivo en la mayoría de los casos5. En otras ocasiones, cuando la evolución es tórpida, es preciso, sin embargo, la resolución quirúrgica.
La CAA es una entidad de baja frecuencia en la edad pediátrica. Esto conlleva un bajo índice de sospecha, pero debe ser considerada siempre como una causa de dolor abdominal, principalmente en niños críticamente enfermos.




