Se presenta el caso de un neonato de 25días con episodios de cianosis sin antecedentes obstétricos de interés. Presentaba dificultad respiratoria, cianosis en contexto de llanto y tos con estridor inspiratorio e hipoventilación bilateral, sin crepitantes ni sibilancias en la auscultación. La gasometría venosa mostraba acidosis mixta, la analítica sanguínea fue normal y las PCR para múltiples virus respiratorios fueron negativas. Con la sospecha de bronquiolitis aguda, ingresa en cuidados intensivos neonatales.
La radiografía de tórax mostraba una opacidad completa en el lóbulo superior derecho (fig. 1), mientras que las ecografías pulmonares seriadas eran normales (fig. 2A). La ecografía torácica realizada desde el plano supraclavicular mostraba una consolidación bien definida sugestiva de masa torácica (fig. 2B y vídeo 1) que se evidencia en la TAC (fig. 3). La biopsia confirma el diagnóstico de neuroblastoma congénito.
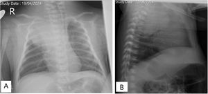
Radiografía de tórax. A)Proyección anteroposterior. Opacidad completa en el lóbulo superior derecho, con desplazamiento mediastínico hacia el lado contralateral, con buena aireación de los demás campos pulmonares, sin derrame pleural asociado. B)Proyección lateral. Opacidad en el segmento posterior del lóbulo superior del pulmón derecho, de morfología nodular.
Ecografía torácica realizada con sonda lineal de alta frecuencia. A)Plano longitudinal a nivel de campo pulmonar anterior, superior derecho. Adecuado deslizamiento pleural, buena aireación en todos los campos pulmonares, con patrón de líneas A y puntuación de Brat de 0 puntos. B)Plano supraclavicular derecho. Consolidación sin broncograma aéreo ni captación en el doppler con borde profundo bien definido y redondeado de 6cm de diámetro máximo.
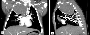
TAC torácica con administración con contraste intravenoso. Masa en mediastino posterior de 4,6×4,3×6,3cm con realce heterogéneo y pequeñas calcificaciones en su interior que ejerce efecto masa desplazando estructuras adyacentes y comprimiendo el lóbulo superior derecho. A)Corte coronal. B)Corte sagital.
El 5% de los neuroblastomas se manifiestan en periodo neonatal1, estando localizados hasta el 15% en el tórax2, pudiendo causar dificultad respiratoria y estridor. La sospecha inicial de bronquiolitis complicada con neumonía o atelectasia, basada en los hallazgos radiológicos, fue reconsiderada tras la normalidad de la ecografía, motivando la evaluación de otras regiones. La discrepancia entre las pruebas de imagen debe hacernos sospechar otros diagnósticos3. Aunque las masas torácicas son raras en neonatos, una consolidación radiológica con patrón ecográfico pulmonar normal puede sugerir dicho diagnóstico.





