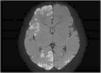
Recién nacida a término que presenta en su primer día de vida crisis convulsivas, consistentes en clonías en hemicuerpo izquierdo y desviación de la mirada. Presenta refractariedad a tratamiento anticonvulsivante habitual, cediendo con fenitoína. En RMNc se observan lesiones hiperintensas en difusión con afectación cortical extensa, parcheada y bilateral a nivel periventricular y subcortical (fig. 1). Se realiza EEG, estudio infeccioso, metabólico y oftalmológico normales.
A los 9 días, presenta lesiones cutáneas consistentes en placas papulosas-vesiculosas en miembros inferiores, superiores y espalda, sin distribución metamérica (fig. 2). Se rehistoria a la madre, presentando lesiones cutáneas hipopigmentadas, anomalías dentales y ungueales, estrabismo, pezón supernumerario, abortos previos y crisis convulsivas en periodo neonatal, sin filiar.
Ante la sospecha de enfermedad genética neurocutánea, se solicita estudio genético para detección de mutación en gen IKBKG, confirmando el diagnóstico.
La incontinencia pigmenti es una displasia neuroectodérmica de herencia ligada al cromosoma X. Produce afectación de tejidos derivados del ectodermo. La afectación neurológica es frecuente (30-50%), pero es raro que sea la clínica de inicio1.
Es una enfermedad infradiagnosticada, pudiendo confundirse con otras afecciones como infecciones congénitas, encefalopatía hipóxico-isquémica, metabolopatías, epidermólisis ampollosa hereditaria… Su diagnóstico precoz es importante, ya que la afectación neonatal neurológica y oftalmológica son indicadores de mal pronóstico, pudiendo condicionar el neurodesarrollo del recién nacido2,3.


