La infección por Neisseria meningitidis se presenta habitualmente como meningitis con o sin shock asociado. Esta bacteria además muestra cierto tropismo por otros órganos y se ha descrito como causante de artritis, conjuntivitis, pericarditis y otras serositis, con y sin participación meníngea1.
Presentamos el caso de un paciente varón de 3 años y 1 mes, que consulta por un cuadro de 48 horas de evolución, consistente en fiebre de hasta 38,5°C axilar, vómitos alimentarios y decaimiento. A la exploración presenta rigidez de nuca leve, con signos de Kerning y Brudnisky negativos, sin focalidad neurológica. Los exámenes complementarios mostraron leucocitosis con neutrofilia sin desviación izquierda, con serie roja y plaquetaria normales y un manifiesto aumento de reactantes de fase aguda (PCR 41,4mg/dl). Se realiza una punción lumbar, obteniéndose un líquido turbio con 4.920 leucocitos/μl, glucosa 31mg/dl (glucosa sanguínea de 75mg/dl), proteínas 51,7mg/dl y tinción de Gram y aglutinaciones negativas. Con el diagnóstico de meningitis purulenta, se inicia tratamiento empírico con cefotaxima. El cultivo fue positivo a Neisseria meningitidis serogrupo B. Los primeros 6 días de ingreso presenta buena evolución clínica, con reactantes de fase aguda en descenso.
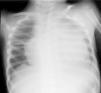
El sexto día de ingreso presenta empeoramiento del estado general, quejándose de dolor abdominal tipo cólico. A la exploración física, destaca taquipnea, taquicardia e hipotensión, y se auscultan ruidos cardíacos atenuados. Se realiza una radiografía de tórax donde se objetiva una cardiomegalia con índice cardiotorácico de 0,73 (fig. 1). El electrocardiograma mostró bajo voltaje, con elevación del segmento ST de manera difusa (fig. 2). Se realiza una ecocardiografía, que confirma la presencia de derrame pericárdico grave, sin signos de taponamiento, con fracción de eyección del ventrículo izquierdo (FEVI) conservada. Se realiza una pericardiocentesis ecodirigida y se obtienen 300ml de un líquido serohemático, con características de trasudado (pH 7,35, hematíes 11.750/μl, leucocitos 847/μl [84% neutrófilos], glucosa 79mg/dl, proteínas 45g/l), dejándose colocado un tubo de drenaje pericárdico. El cultivo de este líquido fue negativo.
Tras 12 horas de colocación del drenaje, presenta inestabilidad hemodinámica que no responde a expansores. Se realiza una TC de tórax, apreciándose importante ocupación del espacio pericárdico. Ante el empeoramiento clínico y la recidiva del derrame, se decide realizar una ventana pericárdica. Durante la cirugía se observa edema pericárdico, con abundante fibrina. En el postoperatorio inmediato precisa fármacos vasoactivos para mantener tensiones adecuadas. Tras la estabilización, se remite al paciente al Centro de Referencia para Cirugía Cardíaca por la posibilidad de precisar pericardiectomía. En este centro permanece estable, pudiendo retirarse las aminas y extubarse 24h tras el traslado.
Neisseria meningitidis es un diplococo gramnegativo encapsulado, colonizador habitual en la zona nasofaríngea de hasta un 8-25% de los humanos1. Un 60% de los casos comienzan como meningitis sin shock1. La enfermedad meningocócica fulminante se presenta entre un 5-15% de los pacientes. Menos frecuentemente puede producir afectación a otros niveles, bien tras diseminación hematógena o como formas primarias2–4. La implicación del pericardio en las infecciones por Neisseria meningitidis se produce entre el 4 y el 19% de los casos5, cursando en la mayoría de los casos de manera asintomática. En las grandes series de pacientes descritas en la literatura solo un 0,6% asoció pericarditis clínica6.
Se han descrito 3 tipos de pericarditis asociadas a la enfermedad meningocócica7. La pericarditis diseminada que se produce como consecuencia de la diseminación de la bacteria por vía hematógena desde otro foco, habitualmente meníngeo, suele producir un líquido pericárdico purulento con cultivo positivo y la evolución a taponamiento cardíaco es rara. La forma más rara de afectación es la pericarditis purulenta primaria, en la que se produce afectación del pericardio sin infección a otros niveles, con líquido pericárdico purulento y cultivo positivo. La pericarditis reactiva se produce de 6-16 días después de la afectación a otro nivel, habitualmente meníngeo. Se considera originada por una reacción de hipersensibilidad a ciertos serogrupos. El cultivo de líquido pericárdico suele ser negativo y puede existir afectación concomitante a otros niveles: pleura, articulaciones o piel. Es el tipo que más riesgo tiene de producir taponamiento cardíaco8.
En nuestro paciente, los hallazgos clínico-analíticos son compatibles con una pericarditis reactiva tras meningitis por meningococo B. La inestabilidad hemodinámica del paciente hizo necesaria la realización de ventana pericárdica.
Aunque la presentación de pericarditis como complicación de la enfermedad meningocócica es infrecuente, su clínica atípica en la edad pediátrica, como dolor abdominal o distrés respiratorio, hace necesario una alta sospecha clínica para llegar al diagnóstico e iniciar el tratamiento precoz, evitando complicaciones potencialmente fatales como el taponamiento.




