Paciente de 15 años con clínica de epigastralgia y pirosis que presenta un reflujo gastroesofágico (índice de reflujo de 10,5% en pHmetría) y una esofagitis grado A en endoscopia digestiva alta (EDA), compatible con esofagitis péptica. Se inicia tratamiento con inhibidores de la bomba de protones (IBP) a 40mg/día durante 2 meses, con mejoría de la sintomatología.
La paciente interrumpe el seguimiento y el tratamiento, pero reconsulta a los 8 meses. Se le realiza una EDA en la que se aprecia, en el tercio superior y a 20cm de arcada dentaria, una zona de mucosa descamativa blanquecina que ocupa ¼ de la circunferencia esofágica (fig. 1). El estudio histológico (fig. 2) resultó compatible con esofagitis disecante superficial (EDS), por lo que se pautaron IBP a dosis altas (40mg/12h) durante un mes. En la EDA de control a los 2 meses se confirmó una normalización completa, tanto macroscópica como histológicamente.
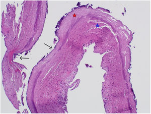
Corte histológico de esófago proximal (tinción hematoxilina-eosina, x4 aumentos). Podemos observar capa superficial descamada compuesta de material paraqueratósico con necrosis coagulativa (estrella roja), así como la separación entre la mucosa viable y necrótica (estrella azul). Las flechas muestran las bacterias adheridas a la superficie de la mucosa.
No se observan inclusiones víricas ni organismos fúngicos. El número de eosinófilos intraepiteliales era <15 por campo en todas las biopsias.
La EDS es una entidad muy poco frecuente en pediatría y con escasa literatura al respecto. Su etiología se ha relacionado con la ingesta de algunos fármacos1 y recientes estudios la asocian a las impactaciones alimentarias y a la presencia de esofagitis eosinofílica2,3. Se ha postulado si la EDS podría ser considerada un diagnóstico en sí misma o una secuela histológica de una lesión tóxica o de contacto3.
En conclusión, la EDS podría considerarse un hallazgo endoscópico inespecífico y común a múltiples daños de la mucosa esofágica y con escasa implicación médica.




