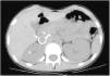
Niña de 13 años que consultó por astenia, hiporexia, sensación de mareo y dolor abdominal de dos meses de evolución. A la exploración destacaba hipertensión arterial (HTA) de 200/135 mmHg. La ecografía-Doppler mostró riñón derecho atrófico, con aneurisma de arteria renal derecha, confirmado con angio-TC (fig. 1) y arteriografía. Presentó como lesiones de órganos diana: daño renal agudo (creatinina máxima 1,45 mg/dL), retinopatía, miocardiopatía y microinfartos en sustancia blanca. Se descartaron aneurismas en otras localizaciones mediante angiorresonancia de cuerpo completo.
La paciente no cumplía criterios diagnósticos de síndrome de Marfan, Ehlers-Danlos, Grange, poliarteritis nodosa, esclerosis tuberosa o neurofibromatosis. No había otros signos sugerentes de arteriosclerosis.
Se decidió tratar inicialmente mediante angioplastia y colocación de stent, no siendo posible por embolización espontánea. Dada la persistencia de HTA y práctica anulación funcional renal derecha, se decidió nefrectomía derecha (fig. 2), con mejoría progresiva de tensiones y función renal. Histopatología compatible con displasia fibromuscular (DFM). Tras dos años está normotensa, sin tratamiento y el filtrado glomerular estimado según la fórmula de Schwartz modificada es 66 mL/min/1,73 m2.
La DFM es una enfermedad rara en niños, de causa y prevalencia desconocidas, caracterizada por la presencia de estenosis segmentarias no inflamatorias en arterias de mediano-pequeño calibre, siendo la arteria renal la más frecuentemente afectada1,2.
La ecografía-Doppler, pese a su baja sensibilidad, es útil en el abordaje diagnóstico inicial de HTA renovascular. La angio-TC y angio-RM ofrecen mayor sensibilidad. La arteriografía renal constituye el gold standard1,3. El tratamiento engloba el control tensional y, en casos seleccionados y con HTA refractaria, la angioplastia1,3.
Conflicto de interesesLos autores declaran no tener ningún conflicto de intereses.
Presentaciones previas en congresos: XLIV Congreso Nacional de Nefrología Pediátrica. Badajoz, 15-18 mayo 2019.




