Sr. Editor:
El tortícolis es una contractura involuntaria unilateral del esternocleidomastoideo (ECM) y musculatura posterior del cuello que causa inclinación de la cabeza hacia un lado, con rotación y desviación del mentón hacia el lado contrario. Se han descrito múltiples causas de la misma, desde procesos banales hasta cuadros muy graves1.
Presentamos el caso de una niña de 17 meses que acude a su pediatra de atención primaria por empeoramiento de inclinación lateral de la cabeza hacia la derecha, que apareció al mes de vida. Los antecedentes carecen de interés. En la exploración se evidencia dicha inclinación, con movilidad del cuello conservada y no dolorosa. No presenta asimetría craneofacial. El examen neurológico y resto de la exploración resultan normales.
Se deriva a traumatología por sospecha de tortícolis congénito y allí se le realizan una radiografía de columna cervical y una ecografía del ECM y la cadera, que son normales. La paciente comienza con rehabilitación, sin notar cambios. Por ello es valorada por neurología. Al no observar otro cuadro clínico que el mencionado, se le indica la realización de una tomografía computarizada (TC) cervical y de charnela para descartar malformaciones locales, a la que los padres se oponen por miedo a la sedación. También es valorada por otorrinolaringología y oftalmología y se descarta que haya patología.
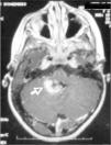
A los 4 años, ante un empeoramiento de la inclinación de la cabeza y aparición de cierre parcial del ojo derecho, es reevaluada por oftalmología, donde se le diagnostica una hiperfunción del músculo oblicuo inferior derecho. Por ello, se la remite de nuevo a neurología, donde le indican una resonancia magnética (RM) craneal, en la que se evidencia una tumoración de 2cm, de origen en pedúnculo cerebeloso derecho (fig. 1).
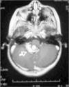
Se realiza resección subtotal del tumor, que resulta ser un astrocitoma pilocítico. La niña evoluciona bien postoperatoriamente, sin complicaciones posquirúrgicas en la TC de control, salvo resto tumoral no valorable con dicha técnica. Por esto, se realiza una RM meses después, que muestra recidiva local que ocupa el vermis inferior y el suelo del IV ventrículo, con extensión hacia hemisferio cerebeloso derecho (fig. 2).
Actualmente, la paciente continúa con inclinación lateral del cuello y ptosis derechas, con el resto de la exploración normal. Por estos motivos, la paciente sigue controles periódicos en neurocirugía, que está valorando terapia adyuvante.
En la literatura médica se han descrito más de 80 causas de tortícolis1, como infecciones, traumatismos, malformaciones, trastornos digestivos, tumores, de origen postural, ocular, congénito y enfermedades sistémicas2,3. El tortícolis congénito consiste en un edema de los tejidos blandos desarrollado sobre un ECM dañado prenatal o perinatalmente, que puede evolucionar a fibrosis. Se produce una restricción de los movimientos cervicales, con asimetría facial y plagiocefalia, así como mejoría con rehabilitación4,5, no sucediendo así en nuestra paciente.
El astrocitoma pilocítico constituye el 75 % de los tumores del sistema nervioso central en las dos primeras décadas de la vida6. Se trata de un tumor de crecimiento lento y con bajo grado de malignidad, cuya localización más frecuente es el cerebelo.
La presentación clínica de los pacientes con astrocitoma pilocítico varía según su lugar de origen. Los de cerebelo dan clínica de compresión e hipertensión intracraneal. El control de la posición de la cabeza depende del núcleo fastigial, vermis cerebeloso y núcleo dentado, por lo que un daño a este nivel produce una inclinación de la cabeza homolateral7. Típicamente, la clínica de este tumor tiene una duración prolongada en el tiempo.
El tratamiento del astrocitoma pilocítico también varía según la localización del mismo. La resección quirúrgica es la terapéutica de elección y generalmente es curativa si es total. La radioterapia y la quimioterapia se reservan para tumores de quiasma óptico o hipotálamo, recurrencias y tumores diseminados.
El pronóstico de los pacientes con astrocitoma pilocítico es excelente, con una supervivencia a los 10 años del 94 %. A pesar de ello, estos niños pueden desarrollar a largo plazo algún tipo de discapacidad, así como menor calidad de vida, dependiendo de la edad, la localización y recurrencia del tumor. La mayoría de recurrencias ocurren dentro de los 4 años desde la cirugía inicial. Los índices de supervivencia de los pacientes con resección parcial respecto a la total no son estadísticamente diferentes6,8.
En la bibliografía médica está documentada la tortícolis como manifestación inicial de los tumores de fosa posterior, aunque más tarde suelen añadirse síntomas de hipertensión intracraneal. Sin embargo, el diagnóstico y el tratamiento del tumor se retrasa en muchos pacientes, ya que no se consideran en el diagnóstico diferencial inicial. A pesar de la elevada supervivencia del astrocitoma pilocítico, la posibilidad de secuelas a largo plazo y de la existencia de otro tipo de tumores de peor pronóstico hace obligado incluir los tumores de fosa posterior en el diagnóstico diferencial del tortícolis adquirido1,9,10.


