Prematuro tardío, procedente de una gestación sin incidencias con ecografías prenatales normales, que ingresó en neonatología por distrés respiratorio, hipoxemia y soplo cardiaco. Al nacimiento precisó reanimación tipo III.
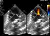
Presentó empeoramiento a las 2h de vida, precisando ventilación invasiva. En la radiografía de tórax (fig. 1) se observaba un corazón en zueco, y áreas de hipersinsuflación pulmonar. Ante la sospecha de cardiopatía congénita se realizó un ecocardiograma (fig. 2), diagnóstico de tetralogía de Fallot (TF) con agenesia de la válvula pulmonar (AVP), con importante dilatación de la arteria pulmonar y sus ramas.
Sufrió un empeoramiento progresivo respiratorio y hemodinámico, a pesar de que se optimizó el soporte respiratorio y el tratamiento inotrópico, siendo éxitus a las 19h de vida.
Se diagnosticó en la necropsia (fig. 3) además de la cardiopatía, un enfisema en el lóbulo superior derecho y atelectasia e hipoplasia del pulmón izquierdo.
La TF con AVP es una cardiopatía congénita rara, representa el 3-6% de los casos de TF1.
Se asocia frecuentemente con cromosomopatías (principalmente microdeleciones 22q11.2) y problemas respiratorios1,2. Se ha descrito la asociación de cardiopatía y enfisema lobar congénito (ELC) como en nuestro caso. La causa puede ser la compresión extrínseca del bronquio por las arterias pulmonares3 dilatadas. La mayoría de las ocasiones los síntomas respiratorios están eclipsados por los cardiológicos3. Ante el diagnóstico de AVP es importante ofrecer un estudio genético y ampliar pruebas de imagen para descartar enfermedades asociadas.


