El síndrome de Gorham-Stout (SGS), también conocido como osteólisis masiva idiopática o enfermedad del hueso fantasma, es una rara enfermedad cuya etiopatogenia no es bien conocida. Se caracteriza por un proceso osteolítico asociado a una proliferación de estructuras vasculares o linfáticas de etiología benigna1,2.
Desde que en 1955 Gorham y Stout definieron esta entidad, han sido publicados 170 casos en el mundo, 50 de estos en la población pediátrica2.
El diagnóstico es frecuentemente difícil por tratarse de una enfermedad extremadamente rara y por la normalidad de las pruebas analíticas3; solo las pruebas radiológicas e histológicas serán de ayuda para un diagnóstico precoz que siempre deberá ser de exclusión4.
Presentamos el caso de un varón de 6 años, con clínica consistente en una tumoración indolora en la región cervical posterior izquierda, de 3 meses de evolución, de crecimiento lentamente progresivo. En los últimos días, presenta un aumento del tamaño de la misma, acompañándose de fiebre, dolor y dificultad para la movilización cervical. En la exploración, se aprecia dicha tumoración cervical de 7×6cm de diámetro, de consistencia elástica a la palpación, con leve aumento de temperatura local, que sobrepasa la línea media posterior y se limita anteriormente con el músculo esternocleidomastoideo.
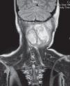
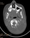
Se realiza una tomografía computarizada cervical (fig. 1), donde se observa una lesión quística de contenido heterogéneo con septos en su interior, con paredes bien definidas y sin vascularización interna ni periférica, que indica el diagnóstico de linfangioma sobreinfectado. Así mismo se evidencia afectación ósea adyacente en los arcos posteriores de C2 y C3. La resonancia magnética (fig. 2) permite la visualización de la extensión de la masa hasta espacio epidural, con desplazamiento de la médula espinal. Para su estudio etiológico, se realiza la punción aspiración de la tumoración, evidenciándose contenido lechoso purulento, presentando un crecimiento positivo cultivo a Staphylococcus aureus compatible con material linfático sobreinfectado. El estudio histopatológico de la muestra evidenció tejido necrótico-hemorrágico sin presencia de atipias. Se realizó un drenaje quirúrgico de la lesión y se inició antibioterapia empírica por vía intravenosa con evolución favorable.
Se consensúa de forma multidisciplinar una actitud expectante, observándose a los 6 meses una disminución considerable de la tumoración cervical y estabilidad de lesiones óseas que ha determinado una actitud conservadora. La evolución de las lesiones óseas será el condicionante que nos hará plantearnos tratamientos ulteriores.
Más del 75% de pacientes con linfangiomatosis tienen afectación ósea, por lo que es considerada por muchos autores una variante del SGS. Puede afectar a cualquier hueso, pero los más frecuentes son los huesos largos, cráneo, pelvis y hombro, no existiendo una predilección clara de sexo.
El tejido neovascular presenta una proliferación agresiva que parece ser el agente causante de la pérdida ósea que se produce en estos pacientes. Se ha observado un aumento de vascular endothelial grown factor que podría estar relacionado con su etiopatogenia, desarrollándose tratamientos que tratan de inhibir este5.
Histológicamente, a nivel óseo se observa una proliferación de vasos no neoplásica, generalmente sanguíneos, aunque también linfáticos, de paredes finas, que sustituye la médula ósea2.
Con respecto al tratamiento, no existe consenso establecido pero la cirugía es considerada de elección cuando esta sea posible. Para el tratamiento de las lesiones óseas se pueden emplear bifosfonatos e interferón alfa 2b6,7. La acción sinérgica del ácido zoledrónico y el interferón es un tratamiento antiangiogénico potente, que actualmente está ofreciendo los mejores resultados. Adicionalmente al tratamiento, es prioritario un seguimiento de las lesiones óseas para valorar la necesidad de una actitud neuroquirúrgica en caso de pérdida de estabilidad o progresión8. La radioterapia actúa acelerando la esclerosis de los vasos y evita su regeneración, pero tiene importantes efectos adversos que la hacen no ser primera línea de tratamiento9.
Algunos autores, dado que la enfermedad tiende a estabilizarse con el tiempo en muchos de los casos, consideran la actitud expectante el tratamiento de elección, siempre que la localización y la estabilidad de las lesiones lo permitan10; esto fue lo realizado en nuestro caso con buenos resultados.
Dr. Juan Carlos López-Gutiérrez, Unidad de Quemados, Hospital Universitario La Paz, Madrid.




