Sr. Editor:
La tortícolis es una contractura involuntaria unilateral del esternocleidomastoideo y musculatura posterior del cuello que causa la inclinación de la cabeza hacia un lado, con rotación y desviación del mentón al lado contrario. En la literatura médica se han descrito más de 80 posibles causas de tortícolis 1, incluyendo desde cuadros banales hasta procesos graves como los tumores intracraneales. El objetivo de este trabajo es presentar un caso de tortícolis adquirida por proceso inflamatorio a nivel atlantoaxoideo.
Paciente de 16 meses traído en varias ocasiones a urgencias por desviación lateral derecha del cuello de 10 días de evolución, sin fiebre ni otra sintomatología. En tratamiento con analgésicos y antiinflamatorios por sospecha previa de contractura muscular. Sin antecedentes de interés.
A la exploración física presentaba desplazamiento lateral derecho del cuello e hiperextensión del mismo con limitación a la movilización. Palpación no dolorosa de apófisis espinosas. El resto de la exploración por órganos y aparatos normal.
En urgencias se realizó una radiografía cervical que resultó normal, hemograma apareciendo leucocitos de 13.500/ml (neutrófilos, 40,9 %; linfocitos, 44,7 %; monocitos, 11,7 %; basófilos, 2 %) y VSG de 60 mm/h, con serie roja y plaquetaria normal. Estudio bioquímico sin alteraciones. La prueba de la tuberculina fue negativa.
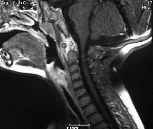
Ingresó con el mismo tratamiento y collarín cervical por mantener la sospecha de origen muscular de su tortícolis. Se realizaron varias pruebas complementarias como TC craneal, gammagrafía ósea y ecografía cervical con el objetivo de detectar, entre otros procesos, tumores intracraneales, osteomielitis y masas cervicales, que terminaron por descartarse. Posteriormente se realizó una RM craneal y cervical, presentando un proceso inflamatorio a nivel atlantoaxoideo y periodontoideo compatible con espondilitis atloaxoidea (fig. 1). Ante un posible origen infeccioso, se inició el tratamiento antibiótico con cefotaxima y cloxacilina con mejoría clínica progresiva. Se incluyó perfil reumatológico, que fue negativo.
Figura 1.RM cervical secuencia T1 con Gadolinio. Señal hiperintensa en región atloaxoidea y periodontoidea compatible con proceso inflamatorio e hipercaptación lineal en espacio retrofaríngeo.
Se dio de alta en tratamiento con cefuroxima y RM cervical de control a los 10 días, apreciándose inflamación residual a nivel de C1 con recuperación clínica completa.
Dentro del diagnóstico diferencial de la tortícolis existen múltiples y variadas enfermedades, incluyéndose el grupo de tortícolis inflamatorias craneocervicales.
Las distintas entidades que forman este grupo (procesos inflamatorios a nivel del área ORL, espondilodiscitis, osteomielitis, celulitis, miositis y meningitis) suelen asociar síntomas como fiebre, odinofagia, otalgia, cefalea o signos meníngeos, ausentes en nuestro paciente suponiendo una limitación importante para determinar el origen del cuadro. Son pocos los casos registrados en la literatura médica de espondilitis atlantoaxoidea en pediatría y los recogidos hacen referencia a enfermedades como tuberculosis, artritis crónica juvenil (ACJ) y osteomielitis.
La tuberculosis atlantoaxoidea es bastante rara 2,3, y se suele diagnosticar más en adultos (20-69 años), habitualmente secundaria a un foco primario pulmonar 4, con riesgo de compresión a nivel del bulbo raquídeo y médula espinal, por lo que el diagnóstico y el tratamiento precoz son cruciales. En nuestro paciente no se llegó a este diagnóstico por ausencia de antecedentes epidemiológicos de riesgo, la prueba de tuberculina fue negativa y respondió de forma excelente al tratamiento antibiótico.
Los pacientes con ACJ raramente presentan afectación exclusiva de la columna cervical, lo cual sugiere un problema intercurrente, como fractura o infección vertebral 5. Estudios recientes establecen una frecuencia cada vez mayor de cervicopatía, encontrándose en un 60 % de los casos hallazgos indicativos de inflamación 6.
Nuestro paciente presentaba la tortícolis como única sintomatología, y aunque se ha publicado algún caso de inicio de ACJ únicamente con este síntoma 7, el perfil reumatológico fue negativo y posteriormente no tuvo otra sintomatología adicional.
Por último, la osteomielitis vertebral se manifiesta habitualmente con fiebre, afectación del estado general y focalidad neurológica junto con alteraciones analíticas, hallazgos ausentes en nuestro caso. Generalmente se da en niños mayores y las pruebas de imagen como la gammagrafía muestran signos inflamatorios en forma de señal hipercaptante, hecho que no se pudo demostrar.
En consecuencia, creemos que el diagnóstico más probable es el de una espondilitis atlantoaxoidea de probable causa infecciosa, en función de los hallazgos de la RM junto a la buena respuesta al tratamiento antibiótico empírico, instaurado con la intención de cubrir los microorganismos más habituales en estos casos como son Staphylococcus aureus, Streptococcus y enterobacterias en general.
En ocasiones sucede que, a pesar del tratamiento adecuado de la enfermedad subyacente, el proceso de tortícolis persiste. En estos casos hay que descartar que se haya producido una subluxación atloaxoidea no traumática, cuadro conocido como síndrome de Grisel 1. En la bibliografía se recogen además otras complicaciones como absceso retrofaríngeo, absceso paravertebral, cifosis, escoliosis y recidiva del cuadro clínico 8,9.



