Sr. Editor:
La hemiatrofia cerebral engloba a un grupo heterogéneo de entidades que presentan atrofia o hipoplasia de un hemisferio cerebral. Clínicamente se caracteriza por hemiplejía/hemiparesia y crisis epilépticas, con o sin retraso mental. Presentamos el caso de un lactante que consultó por primera vez a los 9 meses y su evolución hasta los 6 años de edad.
Lactante de 9 meses y 20 días de edad que es remitido por presentar dificultad en la manipulación con la mano derecha.
En la historia perinatal no figura patología obstétrica alguna, salvo amniocentesis en el segundo trimestre de gestación, realizada por la edad de la madre. La situación de la placenta era anterior. Fue un recién nacido a término (39+5), pequeño para la edad gestacional (2.680g), pero sin otros antecedentes de interés. El desarrollo psicomotor hasta la fecha había sido normal, salvo la dificultad motora referida. No existían enfermedades prevalentes ni muertes precoces en la familia, ambos progenitores viven sanos y tiene 3 hermanos mayores sin patología médica relevante.
En la exploración física destaca un perímetro craneal inferior a 3 desviaciones estándar (DE) para su edad y sexo, y una actitud asimétrica con tendencia a la extensión de los miembros inferior y superior derechos en ángulo recto. En la maniobra de impulso y sostén cefálico se aprecia asimetría y disminución del tono y fuerza en el lado derecho. Los apoyos posteriores son negativos y los laterales, deficientes bilateralmente. No inicia paracaídas. Los reflejos miotáticos están ligeramente aumentados y hay reflejo plantar flexor.
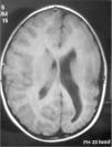
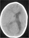
En la tomografía computarizada craneal (TCC) existe una asimetría entre ambos hemisferios cerebrales: el hemisferio izquierdo (HI) es de menor tamaño, con ventrículo lateral (VL) moderadamente dilatado. El hemisferio derecho (HD) sobrepasa la línea media y el VL derecho es de dimensiones normales (fig. 1 y 2).
El paciente inicia fisioterapia y rehabilitación. La circunferencia órbito-frontal se sitúa persistentemente por debajo del percentil 3 hasta el momento actual. Desarrolla hipotrofia muscular del hemicuerpo derecho, que no le afecta a la cara, y actitud distónica, sin retracciones musculares evidentes.
Desde la edad de 4 años y hasta el momento actual, ha presentado tres crisis parciales complejas consistentes en pérdida de la reactividad con mirada fija, automatismos deglutorios y movimientos orofaciales de chupeteo con vómitos posteriores y sin somnolencia poscrítica.
El electroencefalograma (EEG) en vigilia muestra actividad bioeléctrica cerebral de base lentificada con paroxismos punta-onda a 2–2,5Hz que, en ocasiones, se generalizan, sin modificaciones con la estimulación lumínica intermitente. Es evidente la asimetría entre la actividad basal de ambos hemisferios y existe un foco frontal derecho de punta-onda de presentación frecuente (fig. 3).
En la resonancia magnética (RM) craneal se evidencia el mayor tamaño del HD, que presenta un área de mayor brillo en T2 y Flair localizada en la sustancia blanca parietal posterior, mayor tamaño de la región derecha del troncoencéfalo respecto a la izquierda y polimicrogiria en el HI, junto con las alteraciones morfológicas ya visibles en la TCC (fig. 4).
Inicia tratamiento con valproato sódico oral hasta dosis de 30mg/kg/día, sin presentar nuevas crisis.
La hemiatrofia cerebral es una entidad clínico-radiológica consecuencia de una serie de procesos, congénitos y adquiridos, que dan lugar a la hipoplasia o atrofia de un hemisferio cerebral.
La primera descripción de esta patología data de 1933, cuando Dyke, Davidoff y Masson1 publican una serie de 9 pacientes con hemiparesia, convulsiones, asimetría facial y retraso mental. Los hallazgos radiográficos incluían un engrosamiento de la calota y dilatación de los senos frontal y etmoidales ipsilaterales. En 1939, Alpers y Deal2 distinguen dos tipos: congénita o primaria y secundaria a noxas cerebrales, procesos inflamatorios y traumatismo craneal. La hipótesis de la alteración vascular en el período del desarrollo embrionario ha sido confirmada en algunos estudios3,4. En las pruebas de neuroimagen se aprecia una disminución de tamaño del hemisferio cerebral afectado y engrosamiento de la calota ipsolateral. En ocasiones, puede observarse un mayor desarrollo de los senos paranasales ipsolaterales y atrofia cerebelosa contralateral o difusa.
Nuestro caso es un ejemplo de hemiatrofia cerebral primaria, de etiología incierta, aunque probablemente prenatal, dada la ausencia de factores perinatales y posnatales predisponentes y la precocidad de los síntomas. La realización de la amniocentesis y la situación de la placenta pueden estar relacionada con la génesis del proceso, tal como ha sido descrito por algunos autores5,6. El cuadro clínico puede corresponder al descrito como síndrome de Dyke-Davidoff-Masson sin retraso psicomotor asociado. Es posible que en nuestro paciente no exista hipertrofia de los senos paranasales por lo precoz de las imágenes radiológicas y el crecimiento compensador del hemisferio contralateral.
Las imágenes obtenidas en la RM craneal pueden plantear el diagnóstico diferencial con la hemimegaloencefalia derecha, un trastorno de la migración neuronal con crecimiento hamartomatoso de un hemisferio cerebral, asociado con frecuencia a síndromes neurocutáneos7,8. Sin embargo, la clínica y evolución de nuestro paciente, así como la microcefalia, no son compatibles con esta patología. Los pacientes con hemimegaloencefalia presentan un perímetro craneal normal o aumentado, sufren crisis epilépticas precozmente y con frecuencia de difícil control terapéutico, no explica la hemiparesia contralateral a la lesión y, en la mayor parte de los casos, se acompaña de un VL aumentado de tamaño, salvo en los casos en que existen focos de gliosis periventriculares8–10.






