Los traumatismos torácicos cerrados, generalmente causados por accidentes de tráfico y caídas —precipitaciones— constituyen la principal causa de lesión pulmonar traumática. Pueden producir laceración parenquimatosa o bronquial, con o sin fractura costal1. La elasticidad de la caja torácica del niño confiere una menor protección al parénquima pulmonar subyacente, permitiendo la transferencia directa de la energía del impacto al mismo2,3. Esto podría explicar la existencia de afectación pulmonar en ausencia de fracturas costales u otras lesiones externas. Por otra parte, la hemoptisis en niños sanos es infrecuente, y sus principales causas son las infecciones y los traumatismos, y es escasa la documentación en la literatura médica.
La hemoptisis tras la maniobra de Heimlich no se ha descrito entre sus complicaciones más frecuentes, y no hay aportaciones relevantes al respecto. Presentamos un niño que manifestó una hemoptisis autolimitada tras practicarle dicha maniobra.
Niño de 7 años remitido desde otro hospital con historia de 2h de evolución caracterizada por hemoptisis y disnea. Unas 3h antes había sufrido un episodio de atragantamiento, mientras comía carne, sin pérdida de conocimiento pero con tos inefectiva. Su hermano de 16 años realizó la maniobra de Heimlich, y logró la expulsión del trozo de carne. A la hora comenzó con expectoración de sangre roja, de cuantificación imprecisa, aunque se estimó leve. A la exploración presentaba estado general conservado, estabilidad hemodinámica y saturación de oxígeno a aire ambiente del 89 %; aleteo nasal, polipnea de 40 resp./min, tiraje subcostal leve y auscultación de crepitantes bilaterales con predominio en hemitórax izquierdo. El resto de la exploración no presentaba hallazgos significativos.
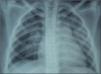
Las pruebas complementarias mostraron hemograma normal en las tres series, así como las pruebas de coagulación, bioquímica, iones y equilibrio ácido-base. La radiografía lateral de cuello fue normal y en la de tórax se apreció un patrón alveolar parahiliar bilateral (fig. 1). Los hallazgos de la tomografía computarizada (TC) de tórax fueron coincidentes con los de la radiografía, aunque algo más extensos (fig. 2). Estos datos eran compatibles con hemorragia pulmonar bilateral tras contusión pulmonar.
Con el diagnóstico de hemorragia pulmonar se trasladó a nuestro centro, donde ingresó en la unidad de cuidados intensivos. Permaneció allí durante 24h monitorizado y con oxígeno suplementario durante las primeras horas, sin precisar ninguna otra medida de soporte. No se produjeron nuevos episodios de hemoptisis. Posteriormente pasó a la planta de hospitalización, donde experimentó una evolución clínica satisfactoria. Fue dado de alta al cuarto día de su ingreso, con control radiológico normal; el resto de la evolución no presentó incidencias.
La contusión pulmonar es una lesión parenquimatosa que causa hemorragia y edema intersticial con posterior colapso alveolar y consolidación pulmonar4. La gravedad de la lesión está relacionada de modo directo con la velocidad, fuerza, intensidad y localización del impacto1. Existen varias escalas que valoran la gravedad de los traumatismos torácicos como son Abbreviated Injury Scale (AIS-85) y Injury Severity Score (ISS)5. En nuestro caso, el impacto causando por la maniobra de Heimlich tuvo la entidad suficiente para originar la lesión alveolar.
La técnica de Heimlich facilita la expulsión del cuerpo extraño gracias a un incremento de la presión intraabdominal, magnificando el papel del diafragma durante la espiración e incrementando la presión intratorácica. Es posible que la hemorragia alveolar se produzca por el brusco incremento de la presión vascular pulmonar originado por la maniobra frente a una vía aérea cerrada, con la consiguiente rotura de los vasos bronquiales. Las alteraciones de la ventilación-perfusión causan hipoxemia, dato que estuvo presente en nuestro paciente.
La imagen radiológica típica de la contusión consiste en infiltrados alveolares adyacentes al área del impacto, edema pulmonar y, en ocasiones, fracturas costales, si bien éstas pueden no hacerse evidentes hasta 48h después de la contusión4. En nuestro caso, la radiografía de tórax presentó imágenes compatibles desde el inicio.
La hemoptisis es un signo poco frecuente en pediatría. Sus principales causas son las infecciosas, los traumatismos -accidentes de tráfico y caídas-, la aspiración de cuerpo extraño, las malformaciones vasculares, bronquiectasias, fibrosis quística, papilomas, pólipos, vasculitis y hemosiderosis6,7. El caso presentado constituye una forma infrecuente de presentación en niños con escasas aportaciones en la literatura médica.
Como consecuencia de esta maniobra se han descrito complicaciones como fracturas costales, perforación de yeyuno, estómago, esófago, rotura de válvula aórtica, trombosis aguda de aneurisma aórtico abdominal, neumomediastino, herniación diafragmática y disfagia, y es rara la hemoptisis8–11.
La evolución de las contusiones pulmonares es variable dependiendo principalmente de las lesiones coexistentes, y se han publicado series con mortalidad de hasta el 65-70 %, cuando se asocian lesiones extratorácicas. Los niños con contusión pulmonar aislada no presentan mayor mortalidad, y se resuelven espontáneamente. Balci et al4 describen en una revisión de 107 pacientes, la resolución de las imágenes radiológicas −15 días para la radiografía de tórax y 42 para la TC de tórax— en el caso de contusiones pulmonares unilaterales4. En el caso presentado, la resolución se comprobó al cuarto día.
La hemoptisis y otras complicaciones de la maniobra de Heimlich son raras. Su aparición en nuestro caso hace sospechar que no fue realizada correctamente, ya que pudo haberse ejercido compresión directamente sobre el tórax, aunque claramente fue beneficiosa para nuestro paciente.




