Sr. Editor:
Las hernias diafragmáticas de Morgagni diagnosticadas fuera del período neonatal no suelen causar sintomatología y, frecuentemente, son un hallazgo casual en una radiografía de tórax. A veces cursan con sintomatología digestiva inespecífica, con molestias epigástricas y raramente producen síntomas respiratorios1.
Presentamos el caso de un niño de 13 meses de edad que es trasladado a urgencias por fiebre que cede mal con antitérmicos.
No presenta antecedentes familiares de interés, y es hijo de padres sanos no consanguíneos. Como antecedentes personales destaca que ingresó durante 72h en el período neonatal tras una cesárea realizada a las 36 semanas de edad gestacional, por sospecha de crecimiento intrauterino retardado (CIR) con oligoamnios. Puntuación de Apgar: 8/9. Reanimación tipo I. Peso al nacer 2.200g. Tuvo taquipnea en las primeras horas con desaturaciones ocasionales y recuperación espontánea pocas horas después.
A su llegada a urgencias presenta un buen estado general con coloración normal de piel y mucosas, y relleno capilar inmediato. La exploración por aparatos es normal, destacando únicamente la presencia de abundante moco en la orofaringe.
En la analítica, los valores del hemograma, serie roja y plaquetas, fueron normales, leucocitos: 15.400 (fórmula normal). Bioquímica: urea, creatinina, ionograma y perfil hepático: normales. PCR: 1,31mg/dl y procalcitonina inferior a 0,5ng/ml.
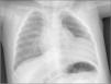
En la radiografía de tórax (fig. 1) se aprecia una ocupación supradiafragmática izquierda con borde superior neto convexo que hace signo de la silueta con el ápex cardíaco y respeta la parte lateral del hemidiafragma.
Se revisa la historia clínica observándose en la radiografía de tórax del período neonatal una imagen de ocupación supradiafragmática izquierda que no fue tenida en consideración dada la importante rotación del paciente y la nula sintomatología.
Se realiza ecografía torácica y en ella no se advierten colecciones, masas o consolidaciones parenquimatosas en dicha localización. Por ello, se informa de la posibilidad de que corresponda con grasa epicárdica, por lo que se recomienda la realización de otras técnicas de imagen.
Se realiza una resonancia magnética (RM) (fig. 2) en la que se visualiza por encima del diafragma, en la parte lateral izquierda, una hernia diafragmática con contenido hepático. No se aprecian tumoraciones, grasa, ni otras alteraciones que supongan la presencia de una enfermedad tumoral. Existe un discreto aumento del tamaño hepático a expensas del lóbulo izquierdo que podría haber mantenido cierto crecimiento intratorácico. Con estos resultados el paciente es remitido a un hospital de referencia para su valoración por parte del servicio de cirugía Infantil. En el momento actual se encuentra pendiente de intervención quirúrgica.
Se describen cuatro tipos de hernias diafragmáticas congénitas: la hernia de hiato, la hernia paraesofágica, la hernia de Morgagni (o Morgagni-Larrey) y la hernia de Bochdalek2.
El foramen de Morgagni se constituye en la unión del septum transversum con los componentes laterales del diafragma, y su formación se atribuye a un retraso en la fusión de las costillas inferiores con el esternón durante la séptima semana del desarrollo embrionario. Algunos autores denominan, de forma general, hernia de Morgagni a este tipo de hernia, independientemente de que sea derecha, izquierda o bilateral. Otros autores diferencian con el término “hernia de Larrey” a la situada en la parte izquierda4.
En la revisión bibliográfica sólo hemos encontrado un caso de hernia de Morgagni en la que el contenido sea el lóbulo hepático izquierdo, en un niño con betatalasemia5. En nuestro caso, no hemos hallado la causa de la aparente hepatomegalia.
La hernia de Morgagni, con mucha frecuencia, puede producir síntomas relacionados con situaciones de aumento de la presión intraabdominal en la edad adulta. A pesar de ello, se ha descrito también en niños y se especula acerca de una posible predisposición genética, ya que se ha encontrado en gemelos univitelinos.
Este tipo de hernia es poco frecuente, constituye entre el 3 y el 5 % de todas las hernias diafragmáticas congénitas y suele ocurrir en el lado derecho, en el que con frecuencia el contenido es hepático, aunque también se encuentra en ocasiones parte del peritoneo, colon o intestino delgado.
La hernia de Morgagni se ha asociado con el síndrome de Down y con algunas malformaciones congénitas digestivas, como rotaciones de colon o divertículo de Meckel, así como también con cardiopatías congénitas y malformaciones urinarias.
Dadas las posibles complicaciones, se suele aconsejar la intervención quirúrgica, aun en los casos asintomáticos. El cierre del defecto diafragmático se realiza con sutura irreabsorbible o bien se emplean mallas diversas; esto último principalmente cuando existe un orificio herniario de gran tamaño. Hoy día suele utilizarse cirugía mínimamente invasiva (laparoscopia o toracoscopia)9,10.
Hemos querido destacar este caso clínico porque este tipo de hernia es muy poco frecuente en el lado izquierdo, como se ha comentado, y por lo excepcional de su contenido.
- Home
- All contents
- Publish your article
- About the journal
- Metrics




