Sr. Editor:
La laceración traqueal secundaria a un traumatismo cervical cerrado es una enfermedad muy poco frecuente y excepcional en la edad pediátrica1-3. El tamaño de la lesión y, muy especialmente, la sintomatología del paciente van a orientar el tratamiento que puede ser conservador o quirúrgico4. Se presenta el caso de un niño de 12 años de edad con una laceración de la porción membranosa de la tráquea cervical producido por un traumatismo cervical cerrado.
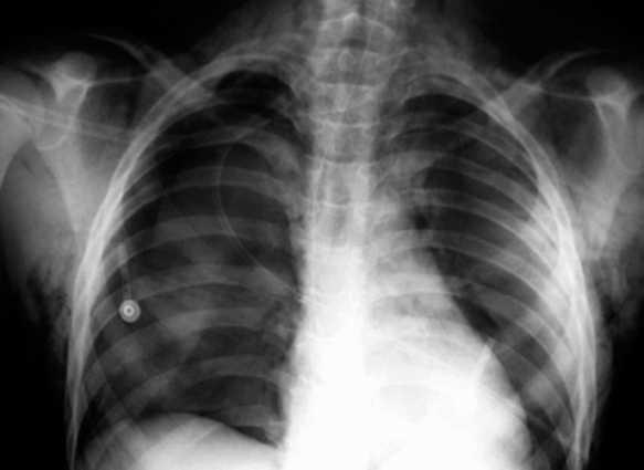
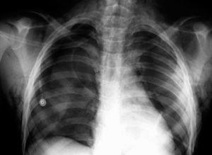
Varón de 12 años de edad, sin antecedentes personales de interés, que acudió al servicio de urgencias tras golpearse en la región cervical anterior con el manillar de una bicicleta. En la exploración física, el paciente presentaba dificultad respiratoria moderada y enfisema subcutáneo cervicotorácico que se extendía hasta el escroto. La radiografía de tórax confirmó la presencia de aire en el tejido subcutáneo y, además, puso de manifiesto un neumotórax derecho y un neumomediastino (fig. 1). Ante la sospecha de rotura de la vía aérea se realizó, a continuación, una broncoscopia flexible en quirófano y bajo anestesia general. Se observó una laceración profunda en la parte posterior membranosa traqueal de aproximadamente 2,5 cm de longitud (fig. 2). Esta lesión se encontraba a 5 cm de cuerdas vocales y a 7 cm de la carina aproximadamente. El resto del árbol traqueobronquial era normal. Dado el tamaño de la laceración y la sintomatología del paciente fue intervenido quirúrgicamente sin más demora. Se efectuó el cierre de la herida traqueal con sutura discontinua mediante un abordaje cervical anterior. Se comprobó intraoperatoriamente, mediante broncoscopia, el cierre completo de la laceración. El paciente fue extubado en el quirófano y la evolución postoperatoria cursó sin incidencias, y fue dado de alta una semana después de la intervención. La broncoscopia de control, a los 2 meses, fue normal y el paciente se encuentra actualmente asintomático con un seguimiento de 2 años.
Figura 1. Laceración traqueal en la que se observa el neumotórax, el neumomediastino y el enfisema subcutáneo.
Figura 2. Imagen broncoscópica de la laceración en la porción membranosa traqueal.
La laceración traqueal producida por un traumatismo cervical cerrado es muy poco frecuente en la infancia, con una incidencia estimada del 3-5,8 % de todos los traumatismos torácicos1.
La causa más común de trauma laringotraqueal en adultos son los accidentes de tráfico, al caer con el cuello hiperextendido sobre el asfalto, y en los niños al golpearse la región cervical con el manillar de una bicicleta2.
Tanto la fuga de aire fuera del árbol traqueobronquial como la compresión que este ocasiona, al no poder escapar al exterior, producen una sintomatología de insuficiencia respiratoria que puede comprometer la vida del paciente si no se trata de forma inmediata. Si el paciente se encuentra estable, se puede realizar una TC para intentar diagnosticar una disrupción en la vía aérea o una posible lesión en el tracto digestivo superior que también podría manifestarse con enfisema subcutáneo. Cuando el paciente presenta insuficiencia respiratoria, el mejor método diagnóstico es la broncoscopia a través del tubo endotraqueal bajo anestesia general. De esta forma, la vía aérea está controlada y puede verse por completo desde la región subglótica. Además, el paciente está preparado en caso de que sea necesario realizar la reparación quirúrgica. No obstante, la broncoscopia no está exenta de riesgos ya que puede agrandar la laceración o, incluso, crear una falsa luz. Si la situación clínica del paciente es crítica, algunos grupos abogan por la realización de una traqueotomía urgente o, si esta no es posible, una cricotiroidotomía1,2,5,6.
El tratamiento de los pacientes con una laceración traqueal dependerá del tamaño de la lesión y, sobre todo, de la sintomatología que exhiban. Los casos con una sintomatología grave y con una laceración de 2 cm o más requerirán un tratamiento quirúrgico. Los que tengan una lesión más pequeña y una menor repercusión clínica podrán ser tratados de forma conservadora con antibióticos de amplio espectro, antiinflamatorios y oxigenoterapia según necesidad3,5,7-9. Estos pacientes deben ser vigilados estrechamente ya que pueden sufrir un deterioro clínico que requiera intubación endotraqueal o cirugía. Las lesiones localizadas en los dos tercios proximales de la tráquea se pueden abordar por una cervicotomía anterior, pero en las del tercio distal traqueal, o en el bronquio principal, se requerirá una toracotomía5,8. La reparación de la laceración se puede realizar mediante sutura simple discontinua con material reabsorbible. Cuando la lesión es posterior, y su acceso es difícil, algunos cirujanos proponen una traqueotomía longitudinal, o transversal, por la que se podría acceder a la misma y repararla. Posteriormente se cerraría la traqueotomía8,10.




