Varón de 2 años, sin antecedentes de interés y desarrollo psicomotor normal, que tras presentar clínica de diarrea y vómitos de 48 h de evolución acude a urgencias tras un primer episodio de convulsión afebril tónico-clónica. Presenta glucemia, calcemia y el resto de iones dentro de la normalidad. Se realiza una tomografía computarizada craneal, sin observar hallazgos patológicos.
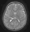
El paciente es hospitalizado y realiza dos convulsiones en racimos durante las primeras 36 h. Como único hallazgo microbiológico, se aísla antígeno de rotavirus positivo en heces. El registro electroencefalográfico fue normal. Por repetición de las crisis, se realiza una resonancia magnética (RM) cerebral, observándose una lesión aislada hiperintensa en T2 y difusión con restricción de la misma bien delimitada de 12×4mm de diámetro, localizada en la porción central del esplenio del cuerpo calloso (figs. 1 y 2). No capta contraste ni produce efecto masa sobre estructuras adyacentes.
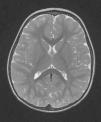
Progresivamente, se observa una mejoría clínica y no presenta nuevos episodios convulsivos, por lo que se remite a domicilio sin tratamiento anticomicial. Se realiza una RM de control a los 2 meses de la crisis, encontrándose el paciente asintomático, constatándose la desaparición de la lesión (fig. 3).
Se han descrito múltiples alteraciones neurológicas en contexto de infección por rotavirus1. Un inusual hallazgo de neuroimagen es la presencia de una lesión transitoria en esplenio del cuerpo calloso que suele desaparecer sin secuelas2,3. Se confirma por lo tanto el primer caso reportado en España sobre esta rara entidad.





