El traumatismo intestinal es más común en niños que en adultos. Hemos revisado los pacientes pediátricos ingresados en nuestro hospital por traumatismo abdominal cerrado desde el año 2002, encontrando un total de 46 pacientes, 4 de los cuales presentaron una perforación intestinal (intestino delgado: 3 yeyuno y uno íleon). La lesión intestinal fue secundaria a accidente de tráfico en 2 pacientes y a impacto directo focal en el abdomen con el manillar de la bicicleta en los otros 2; según la literatura, estas 2 son las causas más frecuentes de lesión intestinal1-5.
La importancia de las técnicas de imagen en la evaluación del niño es fundamental, puesto que permiten diagnosticar inicialmente las lesiones, y además reconocer aquellos signos radiológicos que indican la necesidad de cirugía urgente2. Han reemplazado a la laparotomía exploradora en la evaluación diagnóstica de estos pacientes3.
Se recomienda realizar inicialmente una ecografía (FAST) a pie de cama en pacientes inestables, tras un traumatismo abdominal cerrado; la técnica de elección en pacientes estables hemodinámicamente es la tomografía computarizada (TC)6. Las actuales TC multidetector son rápidas y permiten reformatear los datos axiales obteniendo imágenes multiplanares3,7. La dosis de radiación debe ser la mínima necesaria para obtener un estudio de calidad diagnóstico3,7, sobre todo en la población pediátrica.
A los 4 pacientes se les realizó una ecografía abdominal como primera prueba de imagen, dada la fácil accesibilidad de la misma y que todos ellos estaban estables hemodinámicamente. En los 4 se identificó líquido libre intraperitoneal y en uno de ellos un engrosamiento focal de asas del intestino delgado centroabdominales; no presentaban otros hallazgos. Tres de ellos fueron sometidos a TC, hallando en todos neumoperitoneo y en uno de ellos un engrosamiento difuso de un segmento de asas de íleon, hallazgos compatibles con perforación de víscera hueca; en todos ellos se confirmó la presencia de líquido libre. El paciente restante, tras una radiografía de abdomen simple y con rayo horizontal, que demostró un importante neumoperitoneo, fue llevado a quirófano directamente. Los 4 pacientes fueron intervenidos quirúrgicamente de manera exitosa.
Los hallazgos de la TC característicos de lesión intestinal son1,4,5,8:
- –
Hallazgos intestinales: a) engrosamiento de la pared intestinal focal o difuso; el engrosamiento localizado indica una lesión intestinal seria y la necesidad de reparación quirúrgica; b) aumento del realce de la pared intestinal focal o difuso; c) ausencia de realce de la pared intestinal, sospechoso de isquemia o infarto; un cambio brusco en el patrón de realce es un hallazgo muy indicativo, y d) la discontinuidad de la pared intestinal es un hallazgo infrecuente pero muy específico, siendo indicativo de la necesidad de cirugía urgente.
- –
Hallazgos mesentéricos: a) líquido/infiltración de la grasa mesentérica, hallazgo común, aunque inespecífico, susceptible, al igual que el hematoma mesentérico, de tratamiento conservador en ausencia de otros signos; b) hematoma mesentérico, que suele asociarse a engrosamiento de la pared intestinal; c) extravasación de contraste activa (hemorragia activa/seudoaneurisma mesentérico), con el signo del «coágulo centinela», es poco sensible, pero muy específico (100%); d) perlas vasculares mesentéricas, y e) terminación brusca de los vasos mesentéricos.
El hallazgo más frecuente es la existencia de líquido libre/hemoperitoneo, aunque es infrecuente como única manifestación de lesión intestinal (sensibilidad 99%; especificidad 15-25%)1,4. El neumoperitoneo es muy específico (95%), aunque poco sensible (30-60%); su presencia es una indicación absoluta de cirugía1,2,4. Nuestros 4 pacientes mostraron neumoperitoneo en las pruebas de imagen, siendo intervenidos con carácter urgente.
Los mayores indicadores de tratamiento quirúrgico son la presencia de aire libre intraperitoneal y el engrosamiento focal de la pared intestinal. Hallazgos menos específicos de reparación quirúrgica son la existencia de líquido libre intraperitoneal, la densidad y el hematoma mesentéricos1,4. Ninguno de estos signos, aislado, es específico de lesión intestinal; la especificidad aumenta al aumentar el número de los mismos2.
En la actualidad, más del 90% de los pacientes que han presentado un traumatismo abdominal cerrado se tratan de manera conservadora, incluso en el caso de lesiones severas que afectan a vísceras sólidas7. La decisión de observar o de realizar una intervención quirúrgica depende fundamentalmente de parámetros vitales del paciente; no obstante, combinados con la ausencia o la presencia de líquido libre en la FAST y los hallazgos en la TC, tienen una alta sensibilidad y un alto valor predictivo negativo1,9,10 (figs. 1 y 2).
TCMD axial. Hallazgos: engrosamiento mural de un amplio segmento de intestino delgado (ileon) en el hemiabdomen izquierdo, que además asocia un aumento de realce parietal. Pequeña burbuja extraluminal, intraperitoneal, adyacente a la pared abdominal anterior en su vertiente izquierda. Los hallazgos son indicativos de perforación de intestino Delgado.
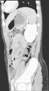
TCMD reconstrucción MPR sagital. Hallazgos: engrosamiento mural de un amplio segmento de intestino delgado (ileon) en el hemiabdomen izquierdo, que además asocia un aumento de realce parietal. Pequeña burbuja extraluminal, intraperitoneal, adyacente a la pared abdominal anterior en su vertiente izquierda. Los hallazgos son indicativos de perforación de intestino delgado.
La perforación intestinal es una indicación absoluta de cirugía, puesto que un diagnóstico tardío conlleva un pronóstico desfavorable, con el desarrollo de posibles complicaciones, como la peritonitis o la formación de abscesos o fístulas1,2.




