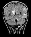
Niña de 9 años diagnosticada de meduloblastoma con resección subtotal y radioterapia. Se inicia quimioterapia con CCNU, vincristina y cisplatino. A las 2 semanas del primer ciclo ingresa por dolor abdominal, vómitos, astenia e insomnio. Presenta 2 crisis parciales complejas y en este contexto se detecta hipertensión arterial. Neurológicamente, está somnolienta y tiene una hemianopsia homónima izquierda. Se realiza una RM craneal donde se objetivan lesiones hiperintensas en secuencias T2 y FLAIR de localización subcortical parieto-occipital, imágenes compatibles con una leucoencefalopatía posterior reversible (fig. 1). Se inicia tratamiento con levetiracetam e hidralazina. Aunque tanto el cisplatino como la vincristina1 pueden desencadenar esta complicación neurológica, se retira inicialmente el cisplatino del protocolo quimioterápico, desapareciendo a las 72 h la hemianopsia, mejorando el nivel de consciencia y normalizando la presión arterial. Transcurridas 4 semanas. se repite la RM, donde se constata la completa resolución de las lesiones (fig. 2).
La leucoencefalopatía posterior reversible es una patología infrecuente en edad pediátrica. La RM es indispensable para el diagnóstico, caracterizada por edema cerebral vasogénico a nivel subcortical, reversible y no asociado a infarto cerebral. Predomina en áreas posteriores2. Las manifestaciones clínicas típicas son encefalopatía, crisis epilépticas, cefalea o síntomas visuales3. Hay distintos factores implicados en su fisiopatología, como la hipertensión arterial, la preeclampsia y los fármacos inmunosupresores o citotóxicos4. El tratamiento es sintomático, dirigido a controlar la presión arterial y retirar, si es posible, los fármacos causales. La mayoría de los pacientes se recuperan en 2-4 semanas con normalización de la neuroimagen.




