Sr. Editor:
El linfangioma quístico abdominal es una malformación del sistema linfático de carácter benigno que en ocasiones se puede infectar manifestándose como dolor abdominal. Presentamos el caso de un varón de 3 años de edad que consulta por fiebre, vómitos y dolor abdominal y fue diagnosticado de gastroenteritis aguda por Salmonella enteritidis. Tras empeoramiento clínico se descubre la existencia de un linfangioma quístico infectado por el mismo germen. El interés de este caso radica en el hallazgo del germen causal y la posible vía de infección, hecho poco usual en la literatura médica revisada.
Varón de 3 años que consulta por dolor abdominal, vómitos y fiebre de 40 °C de pocas horas de evolución. A la exploración llama la atención el malestar general del paciente, así como un abdomen globuloso, doloroso a la palpación, con importante defensa voluntaria que dificulta la palpación de masas o visceromegalias y con signo de descompresión dudoso. El peristaltismo estaba ligeramente aumentado.
Se realiza analítica que muestra 12.300 leucocitos (83 % neutrófilos y 13 % linfocitos) con una proteína C reactiva de 5,8 mg/dl y ecografía abdominal en la que se descarta apendicitis y se observa una estructura redondeada con diferentes densidades ecogénicas en su interior que es orientada en un principio como una distensión de asa intestinal. Posteriormente el paciente inicia deposiciones diarreicas, con lo que el caso se diagnostica de gastroenteritis aguda, manteniéndolo en observación con tolerancia oral.
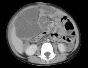
Al persistir la fiebre alta y la afectación del estado general se inicia tratamiento empírico con ceftriaxona intravenosa a las 48 h del ingreso. Al quinto día de ingreso, ante el empeoramiento del estado general junto con aumento de la distensión abdominal, se realiza ecografía abdominal urgente que muestra estructura quística septada de gran tamaño en hemiabdomen derecho (fig. 1) y tomografía computarizada (TC) abdominal donde se observa una gran masa abdominal de densidad líquido que desplaza el resto de estructuras abdominales (fig. 2). La analítica en este momento muestra una proteína C reactiva de 32,5 mg/dl con un hemograma y fórmula similar a la analítica del ingreso.
Figura 1. Ecografía abdominal. Se puede observar formación quística que ocupa gran parte del hemiabdomen derecho.
Figura 2.TC abdominal que muestra estructura de contenido líquido con septos que desplaza estructuras vecinas y provoca distensión abdominal.
Dado el rápido crecimiento de la masa se decide intervención quirúrgica encontrando una masa de 15 x 7 x 4 cm adherida íntimamente a colon ascendente con contenido purulento en su interior. La anatomía patológica confirma el diagnóstico de linfangioma abscesificado, con un contenido en el que crece posteriormente S. enteritidis. En el coprocultivo se observa crecimiento de S. enteritidis. El postoperatorio discurre sin incidencias, dando de alta al paciente afebril y continuando el tratamiento con cefixima oral.
El linfangioma es una malformación hamartomatosa benigna del sistema linfático, habitualmente de estructura quística. La localización intraabdominal, ya sea retroperitoneal o mesentérica, es poco frecuente y únicamente se da en el 2-8 % de los casos 1,2. La mayoría de los linfangiomas abdominales están situados en el mesenterio, pero pueden extenderse al retroperitoneo. Existe en la literatura médica cierta confusión al hacer referencia a los términos linfangioma abdominal y quiste mesentérico 3,4. Los linfangiomas abdominales son quistes simples con un revestimiento de células endoteliales y paredes con músculo liso, mientras que los quistes mesentéricos están revestidos por células columnares y paredes que carecen de músculo liso. A pesar de esta diferencia en la literatura médica se habla indistintamente de linfangioma o de quiste mesentérico 3,4.
Los quistes mesentéricos son una enfermedad rara, siendo su incidencia de 1 por cada 105.000 hospitalizaciones 5. Aproximadamente un tercio de los casos se dan en menores de 15 años 5,6, la edad media de presentación es de 5 años 6. En la infancia se suelen manifestar como masa abdominal palpable con obstrucción parcial 3,4, aunque también se puede presentar como abdomen agudo en relación a una complicación como puede ser la infección, la obstrucción o la rotura 3-5. Como ocurre en nuestro caso, el dolor abdominal es una manifestación frecuente en niños 6.
La infección de un linfangioma quístico es una complicación infrecuente 7. Entre los casos de infección descritos en la literatura médica encontramos como agentes causales Escherichia coli 7,8, Streptococcus pneumoniae8, Staphylococcus aureus 8,9, Mycobacterium tuberculosis8, S. enteritidis 8 y, más recientemente, Campylobacter jejuni10. En la mayoría de estos casos el mecanismo de infección es desconocido 8,10.
Creemos que en nuestro caso el mecanismo probable de infección es la diseminación linfática o hematógena de S. enteritidis a partir de una gastroenteritis aguda en un paciente portador de un linfangioma quístico abdominal. La existencia de una pared en todo quiste dificulta la penetración del antibiótico, pudiendo ser ésta la causa de la evolución tórpida del cuadro y el aumento rápido de la masa pese a estar recibiendo el tratamiento antibiótico correcto.




