Caso clínico
Niño de 7 años que consulta por masa abdominal en flanco derecho de 24 h de evolución.
Antecedentes personales. Adopción procedente de Etiopía hace 3 meses. En el estudio de rutina al llegar a nuestro país se detecta, a través de la búsqueda de parásitos en heces, infección asintomática por Ascaris lumbricoides que recibe tratamiento con mebendazol (100 mg cada 12 h durante 3 días) y ferropenia sin anemia, por la que recibe 2 meses ferroterapia oral (fig. 1). Prueba de tuberculina: negativa. VIH: negativo. Resto de detección, según el protocolo del niño adoptado, dentro de la normalidad.
Figura 1.Larva rhabditiforme de Strongyloides stercoralis.
Historia actual. Dolor en flanco derecho de 24 h. Sin fiebre ni otra sintomatología.
Exploración física. Temperatura 36,3 °C, peso 28 kg (1 DE). Buena coloración de piel y mucosas. Lesiones cicatriciales antiguas en piel.
Se palpa una masa de 3 x 4 cm en flanco derecho, mal delimitada que no atraviesa la línea media, dolorosa a la palpación y adherida a planos profundos. Sin hepatoesplenomegalia. Resto de exploración dentro de la normalidad.
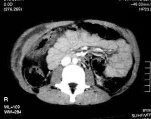
Exploraciones complementarias. Hemograma: Hb 12,6 g/dl; Hcto: 38,8 %; plaquetas: 344 x 10 9/l; leucocitos: 14.800/μl (26 % linfocitos, 5 % monocitos, 37 % segmentados, 32 % eosinófilos). Eosinófilos totales: 4.730/μl; VSG: 18 mm; proteína C reactiva: 0,5 mg/dl. Bioquímica: función renal y hepática: normal; LDH: 635 U/l; CK: 79 U/l; amilasa: 82 U/l; radiografía de tórax: normal. Serologías: VIH, CMV, VEB, lúes, toxoplasma: negativo; rosa de bengala: negativo. Examen parasitológico en heces: se observan quistes de Endolimax nana, Entamoeba coli, así como larvas rhabditiformes de Strongyloides stercoralis (fig. 1). Sedimento de orina: normal, no se observan parásitos en orina. Ecografía abdominal (fig. 2): engrosamiento e hiperecogeneidad de la pared abdominal a nivel de hemiabdomen inferior derecho. TC abdominal (fig. 3): gran colección líquida seudoencapsulada situada dentro de la musculatura de la pared abdominal anterolateral derecha con edema reactivo de la grasa peritoneal y engrosamiento focal de la pared del colon adyacente.
Figura 2. Ecografía abdominal.
Figura 3.TC abdominal.
Pregunta
¿Cuál es el diagnóstico?
Masa inflamatoria por infiltración local de larvas deS. stercoralis
Discusión
Ante la posibilidad de tratarse de una absceso bacteriano se decidió obtener muestra para cultivo y estudio anatomopatológico e inmediatamente después iniciar tratamiento antibiótico intravenoso de amplio espectro. La ausencia de fiebre y unas enzimas musculares (CK, LDH, AST/ALT) dentro de la normalidad, no descartan un cuadro de piomiositis tropical en fase inicial 1.
A las 24 h del ingreso el microbiólogo informa de la presencia de abundantes larvas rhabditiformes de S. stercoralis en heces frescas. Con este dato, y la eosinofilia tan marcada en sangre periférica, se decide iniciar tratamiento con albendazol, 400 mg dos veces al día durante 3 días. La respuesta clínica fue muy satisfactoria, desapareciendo la masa en flanco derecho en 72 h. Al quinto día se informa de la presencia de escasos quistes de Schistosoma mansoni en heces tratándose con praziquantel, 40 mg/kg dosis única, una vez que el paciente ya se hallaba asintomático en su domicilio.
La presencia de una eosinofilia tan marcada (4.700/μl) nos obliga a descartar una serie de patologías importadas procedentes de países donde son endémicas (tabla 1). Al ser S. stercoralis una de ellas, se pensó que podía ser el causante del cuadro clínico. La confirmación del diagnóstico vino determinada por la presencia de abundantes larvas en heces frescas, la curación una vez instaurada el tratamiento específico así como la negativización de los cultivos a los 15 días posteriores al inicio del tratamiento. La cifra de eosinófilos tarda meses en normalizarse.
S. stercoralis es un nematodo que se reproduce en el huésped humano mediante partenogénesis liberando en la submucosa intestinal huevos que contienen larvas maduras. Estas larvas emergen rápidamente de los huevos dentro del intestino humano apareciendo en las heces. Visualizar larvas por extensión directa o por un método de concentración en heces frescas es muy sugestivo de infección por S. stercoralis sobre todo si se acompaña de eosinofilia importante en sangre periférica como ocurrió en nuestro paciente. Las larvas también se pueden visualizar a través del método de la cuerda (Entero-test) analizando el líquido duodenal.
El ser humano adquiere la infección a través del contacto de larvas por la piel (pies descalzos) pudiéndose observar en ocasiones el trayecto urticariforme y tortuoso de la larva por debajo de la piel (larva currens). La característica más importante de este nematodo es la capacidad de autoinfectar al niño que ya está infectado, sobre todo si existe una inmunodeficiencia celular de base (VIH, quimioterapia, etc.) produciendo un síndrome de hiperinfección que puede resultar mortal en muchas ocasiones a pesar de realizar un tratamiento adecuado.
La larva es capaz de atravesar los tejidos y en ocasiones simular una masa seudotumoral producida por la acumulación de larvas y la reacción inflamatoria en torno a ellas, como ocurrió en nuestro paciente 3.
El tratamiento de elección hoy en día es ivermectina debido a su buena tolerancia aunque el tiabendazol o el albendazol también son efectivos. El mebendazol no resulta efectivo frente a S. stercoralis4.
La infección por S. stercoralis es endémica en países tropicales pero también se encuentra en determinadas zonas de nuestro país, favorecido por condiciones higiénicas deficientes 5.
Como medidas de prevención, el uso de zapatos, la reducción de la contaminación fecal del ambiente y el empleo de ropa de cama limpia reducen notablemente su transmisión en zonas endémicas. Los pacientes que vayan a recibir tratamiento inmunosupresor antes de un trasplante de órgano o de quimioterapia antineoplásica deben de someterse a una detección selectiva de S. stercoralis, y si están infectados, tratarlos antes de la inducción de la inmunosupresión 6.
Correspondencia: Dr. A. Díaz Conradi.
Hospital de Nens de Barcelona.
Consell de Cent, 437. 08009 Barcelona. España.
Correo electrónico: adiaz@hospitaldenens.com
Recibido en julio de 2005.
Aceptado para su publicación en octubre de 2005.






