Presentamos el caso de una paciente de sexo femenino hija de madre de 34 años primigesta sin antecedentes familiares. La ecografía obstétrica mostró calcificación en la placenta y retraso en el crecimiento intrauterino. Nace con peso bajo (1.960g) y se hallan nevos en el 80% de la superficie corporal. A los 3 meses de edad presenta episodios de cianosis e hipomovilidad por lo que ingresa para ser estudiada.
A la exploración física se evidencia un nevo gigante de textura rugosa desde abdomen hasta muslos, color café oscuro en hemiabdomen inferior y más claro en glúteo derecho; en el muslo y labios mayores se observan áreas de liquenificación. El resto de la piel presenta múltiples nevos rugosos de 0,5–1,5cm (fig. 1). Neurológicamente presenta hiperreflexia en las 4 extremidades, reflejo palmar y plantar presentes, signo de Babinsky negativo y no tiene movimientos anormales.
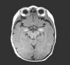
El electroencefalograma muestra actividad delta persistente temporo-occipital derecha y la resonancia magnética, lesiones hiperintensas en regiones parietales y regiones temporales mediales de predominio izquierdo compatibles con melanosis cortical (fig. 2). Los demás estudios son normales.
Con el cuadro clínico y los estudios realizados, se establece el diagnóstico de crisis epilépticas disautonómicas por lo que se inicia tratamiento con ácido valproico y oxcabazepina.
En las visitas posteriores se ha observado un control adecuado de las crisis convulsivas, recibiendo monoterapia con levetiracetam desde los 15 meses. Los nevos han recibido terapia con 3 tipos de láser con resultado prometedor y se está evaluando tratamiento quirúrgico. Ha recibido terapia psicomotriz y de lenguaje presentando un leve retraso del lenguaje.
La melanosis neurocutánea fue descrita por primera vez en 1861 por Rokitansky1 y se encuentra dentro del grupo de las genodermatosis. Nuestra paciente cumple con los criterios clínicos establecidos en 1991 por Kadonaga y Fieden:
- •
Nevus pigmentado congénito múltiple (3 o más lesiones) y/o grande (lesión mayor a 20cm de diámetro mayor en adultos o 9cm en cabeza o 6cm en cuerpo de lactante o neonato).
- •
Ninguna evidencia de melanoma cutáneo, excepto en aquellos pacientes en los que las lesiones meníngeas sean histológicamente benignas.
- •
Ninguna evidencia de melanoma meníngeo, salvo en los pacientes en los que las lesiones cutáneas sean histológicamente benignas. Los casos con lesiones histológicas confirmadas del SNC son considerados definitivos1–3.
En nuestro hospital, que tiene 10 años de existencia es la primera vez que se documenta un paciente con melanosis neurocutánea; la incidencia publicada es de 1 por cada 20.000–50.000 nacidos vivos3 Aunque se describe como autosómica dominante, nuestra paciente no tiene antecedentes de melanosis en la familia1.
La melanosis se describe con superficie lisa, rugosa, verrugosa, cerebriforme o lobular4; en nuestra paciente tenía superficie rugosa en el nevo gigante y en los nevos pequeños. Se describe que el nevo gigante va haciéndose más grueso, arrugado, piloso y menos pigmentado4, lo cual no se ha observado en esta paciente.
La melanosis neurocutánea se asocia a nevus pigmentados múltiples o de gran tamaño que suelen localizarse en la convexidad y base del encéfalo, en el puente o el bulbo3 pero en nuestra paciente se presentaron lesiones múltiples en regiones parietales y temporales mediales.
Un estudio de 39 pacientes con melanosis neurocutánea mostró que el 66% de los pacientes tenían lesiones pigmentadas gigantes y de ellas el 64% eran en forma de «trusa de baño», tal como lo presenta nuestra paciente; otro 32% son en forma de «caperuza» y 4% en la cara anterior del tronco5.
La paciente del caso presentó crisis convulsivas disautonómicas que están descritas así como la ataxia, déficits neurológicos focales y retraso mental6. Su desarrollo neurológico se ha visto afectado especialmente en el área de lenguaje y en la literatura se describe que puede haber también psicosis crónica, afasia de expresión, disartria y déficit de atención7.
Para un diagnóstico adecuado se requiere resonancia magnética para detectar, como en esta paciente, las alteraciones compatibles con melanosis del SNC. El electroencefalograma muestra anormalidades locales en región temporal y occipital tal como está descrito en la literatura. Cuando se hace citología de líquido cefalorraquídeo se pueden encontrar los gránulos de melanina con tinción de Mason-Fontana8,10.
Se descartaron malformaciones asociadas descritas como Chiari I, hipoplasia cerebelosa, quistes aracnoideos, anomalías renales, divertículo de Meckel, rabdomiosarcoma, transposición de grandes arterias y malformación de Dandy-Walker9.
Se describen dos tipos de evolución de largo plazo: pacientes con hidrocefalia e hipertensión intracraneal tienen mal pronóstico y alta mortalidad antes de los 10 años. Los pacientes sin hipertensión intracraneal tienen una esperanza de vida superior a los 20 años10.


