La melanosis neurocutánea (MNC) es un trastorno congénito no hereditario caracterizado por la asociación de nevus pigmentados múltiples o de gran tamaño y una excesiva proliferación de células melanocíticas en leptomeninges u otras zonas del SNC. En los pacientes sintomáticos el pronóstico es siempre muy malo1. Se presenta un caso de MNC en un paciente de 12 años con nevus melanocítico congénito gigante (NMCG), que no había presentado sintomatología neurológica previamente y que evolucionó de forma desfavorable en un corto periodo.
Niño de 12 años con episodios en los últimos 2 meses de cefalea frontotemporal, vómitos biliosos matutinos, sensación de mareo, visión borrosa y parestesias en el hemicuerpo izquierdo. Presentaba un nevus pigmentado piloso gigante en el tercio superior de espalda y la nuca de 21 x 25cm y múltiples nevus de pequeño tamaño en los glúteos, el costado y el muslo derecho, que habían sido sometidos a múltiples intervenciones de extirpación y laserterapia de CO2. La exploración neurológica fue normal, salvo papiledema bilateral más intenso en ojo derecho. La tomografía computarizada craneal fue normal. La RM craneal mostró: engrosamiento leptomeníngeo de predominio en la región frontal y parietal del hemisferio derecho, con brillo en la secuencia FLAIR e intenso realce con gadolinio (fig. 1A y B). RM medular: realce de la leptomeninge perimedular y del tronco del encéfalo (fig. 1C y D). Punción lumbar: leucocitosis (25 cel/mm3), hipoglucorraquia (0,21g/l) e hiperproteinorraquia (0,63g/l); cultivos y serologías de virus y bacterias neurotropas, y citología de células malignas negativos. A los 7 días se repitió la punción lumbar encontrándose de nuevo hipoglucorraquia (0,21g/l), hiperproteinorraquia (1,05g/l) y una hipercelularidad (23 cel/mm3) con células mononucleares atípicas y aisladas células con pigmento pardo intracitoplasmático. A los 3 meses del inicio del cuadro neurológico presentó hidrocefalia tetraventricular que precisó derivación ventriculoperitoneal. La biopsia de meninges no evidenció lesiones histopatológicas. Pasado un mes el paciente sufrió pérdida de visión del ojo derecho y crisis convulsivas consistentes en desviación de la comisura bucal e hipertonía. La RM evidenció una extensa afectación leptomeníngea, afectando también a los pares craneales, incluido el quiasma óptico y los nervios ópticos en su porción intracraneal (fig. 2). A los 8 meses del diagnóstico el paciente presentó un deterioro neurocognitivo importante, con comportamientos regresivos, disminución de la capacidad de concentración, bradipsiquia y actitud reiterativa. Dos meses después una nueva biopsia objetivó proliferación melanocítica de localización perivascular que no infiltraba parénquima cerebral. Evolucionó desfavorablemente con empeoramiento hasta situación de coma y defunción a los 11 meses del diagnóstico.
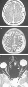
RM craneal, corte axial. Engrosamiento leptomeníngeo principalmente en el hemisferio derecho, con áreas más extensas frontal y parietal, y mínimo engrosamiento en la región frontal izquierda, que se realza con gadolinio (A) y brilla en secuencia FLAIR (B). RM canal espinal. Realce de la leptomeninge perimedular y del tronco del encéfalo (C y D).
RM craneal, corte axial. Extensa afectación leptomeníngea con marcado engrosamiento y realce con contraste de toda la leptomeninge craneal que rodea tanto a los hemisferios cerebrales como a las estructuras mesencefálicas, se extiende rodeando a bulbo y médula espinal visualizada. Asimismo rodea a todos los pares craneales, incluidos el quiasma óptico y los nervios ópticos en su porción intracraneal. Engrosamiento de paquimeninge reactivo secundario a intervención de colocación de catéter DVP (A, B y C).
La MNC es un trastorno congénito no hereditario caracterizado por la asociación de nevus pigmentados múltiples o de gran tamaño y una excesiva proliferación de células melanocíticas, benignas o malignas, en leptomeninges u otras zonas del SNC. Los criterios diagnósticos aceptados en la actualidad son1:
- 1.
Presencia de nevus melanocíticos congénitos gigantes (iguales o mayores de 20cm de diámetro mayor en el adulto o su proporcional, de 9cm en la cabeza o 6cm en el resto del cuerpo en el neonato y lactante) o múltiples (al menos 3 lesiones) asociados a melanosis o melanomas meníngeos.
- 2.
Ausencia de melanoma cutáneo, salvo si las lesiones meníngeas son histológicamente benignas.
- 3.
Ausencia de melanoma meníngeo, salvo si las lesiones cutáneas son histológicamente benignas.
Se excluye la posibilidad de que las lesiones del SNC sean secundarias a metástasis de melanoma cutáneo.
Dos terceras partes de los casos de MNC presentan NMCG, y una tercera parte, múltiples nevus pequeños. Algunos nevus están presentes al nacimiento y otros se desarrollan más tarde. La localización en cuero cabelludo, cara, cuello o línea media posterior supone un mayor riesgo tanto de MNC como de malignización de las células melanocíticas leptomeníngeas1,2. La presencia de un gran número de nevus satélites es el factor de riesgo más importante para desarrollar MNC en pacientes con NMCG2,3, aunque el riesgo es dispar en los distintos estudios publicados: entre el 2,5 y el 11,4%2–5.
Las manifestaciones neurológicas aparecen habitualmente antes de los 2 años, aunque pueden debutar en la segunda o tercera décadas de la vida6. El espectro clínico es muy amplio; son frecuentes neuropatías craneales, crisis convulsivas, ataxia, déficits neurológicos focales o retraso mental. Dos terceras partes de los pacientes desarrollan hipertensión intracraneal secundaria a hidrocefalia comunicante. Si localización espinal, se produce mielopatía y radiculopatía.
El estudio del LCR muestra leucocitosis, hiperproteinorraquia y glucorraquia normal o disminuida1,6,7, aunque también puede encontrarse hiperglucorraquia8. La confirmación del diagnóstico la da el estudio histológico. En un 40-62% de los casos es difícil la diferenciación entre MNC y melanoma meníngeo. Existe la posibilidad de no encontrar alteraciones citológicas e histológicas6,9, como ocurrió inicialmente en nuestro paciente. En estos casos, el diagnóstico provisional se establece por los hallazgos en la RM craneoespinal6.
El pronóstico de la MNC es impredecible en los pacientes asintomáticos y es muy malo en los sintomáticos. El 70% fallece en los primeros 10 años de vida y cuando comienza la afectación neurológica la supervivencia es menor a 3 años desde el inicio de los síntomas en un 50% de los pacientes1,10.
No existe tratamiento efectivo. Según algunos autores6,9, todo paciente con nevus congénito gigante o múltiple es susceptible de presentar MNC y debe ser controlado periódicamente.
En resumen, dada la rareza de esta entidad, el hecho de conocer su existencia es fundamental para su reconocimiento. La hipoglucorraquia fue el signo guía de infiltración celular que nos condujo al diagnóstico, a pesar de que la glucorraquia puede ser normal o alta en este proceso. Se planteó el diagnóstico diferencial entre meningitis bacteriana subaguda o crónica, y otros raros procesos como leucemias, linfomas o carcinomatosis leptomeníngea. Se ha referido el caso de un niño con melanoma primario maligno de meninges, diagnosticado y tratado inicialmente de meningitis tuberculosa11. En nuestro caso, la clínica y el patrón de LCR también eran compatibles con meningitis tuberculosa. Un diagnóstico y tratamiento erróneos hubieran agravado el dramatismo de un proceso a día de hoy sin posibilidades de tratamiento curativo, con deterioro clínico progresivo y desenlace fatal a corto plazo.




