Sr. Editor:
La miastenia gravis es una enfermedad poco frecuente en la infancia que puede conducir a insuficiencia respiratoria. Debido a su rareza, puede pasar desapercibida en sus manifestaciones iniciales, retrasándose peligrosamente el diagnóstico.
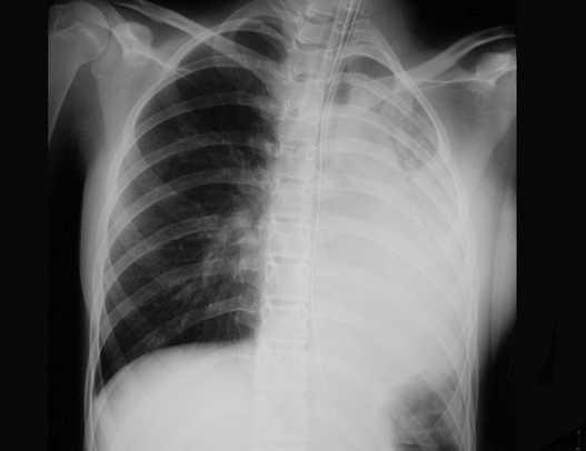
Se presenta el caso de una niña de 13 años con cuadro agudo de estridor y dificultad respiratoria; la radiografía de tórax fue normal. La laringoscopia únicamente demostró abundantes secreciones. Se trasladó a nuestra UCIP en situación de insuficiencia respiratoria aguda, precisando ventilación mecánica no invasiva. El análisis de sangre al ingreso fue anodino; radiografía lateral de cuello y ecografía cervical normales. En la radiografía de tórax de control apareció pequeño infiltrado basal izquierdo por lo que se diagnosticó neumonía y se inició tratamiento con corticoides y cefotaxima; la paciente mejoró rápidamente. A las 72 h tras el alta la niña presentó disfagia y alteración de la fonación, junto a reaparición de hipoxemia grave. Precisó intubación y ventilación mecánica invasiva convencional. La radiografía de tórax mostraba atelectasia masiva del pulmón izquierdo (fig. 1). La fibrobroncoscopia mostró abundantes secreciones sin otros hallazgos. No aparecieron leucocitosis ni elevación de la proteína C reactiva y los cultivos de sangre y lavado broncoalveolar fueron negativos.
Figura 1. Atelectasia de pulmón izquierdo.
A la exploración la paciente mostraba gran debilidad muscular, que parecía la causa de la insuficiencia respiratoria. Rehistoriando a la familia, refería que la niña mostraba desde 6 meses antes, alteración intermitente de la fonación así como algún episodio de debilidad generalizada sin desencadenante aparente. Así mismo desde 2 meses atrás refería disfagia preferente para líquidos.
El estudio metabólico, RM craneal y medular, y hormonas tiroideas fueron normales. El estudio neurofisiológico objetivó exploración electromiográfica y electroneurográfica normales, pero en la estimulación repetitiva, realizada tanto en músculos distales como proximales (nervios mediano y facial) se apreciaba una disminución de la amplitud de los potenciales compatible con alteración de la transmisión neuromuscular de tipo postsináptico (fig. 2). Ante estos hallazgos se planteó el diagnóstico de crisis miasténica y se inició tratamiento con gammaglobulina intravenosa y bolos de metilprednisolona, junto a piridostigmina por vía oral. La paciente recuperó progresivamente la fuerza muscular permitiendo la retirada de la ventilación mecánica a los 10 días del ingreso. Los autoanticuerpos antirreceptor de acetilcolina fueron positivos. Se confirmó por tanto el diagnóstico de miastenia gravis juvenil y se mantuvo tratamiento con piridostigmina y prednisona por vía oral. La recuperación posterior de la paciente fue completa.
Figura 2. Alteración de la transmisión neuromuscular de tipo postsináptico.
La miastenia gravis es una enfermedad autoinmune que afecta a la unión neuromuscular y se caracteriza principalmente por fatigabilidad y debilidad muscular fluctuante1.
Afecta de 4 a 10 de cada 100.00 habitantes. Se llama miastenia juvenil a aquella que se manifiesta antes de los 15 años de edad2. Supone un 10 % del total3, es decir uno de cada 100.000 habitantes4.
La enfermedad se produce por la existencia de autoanticuerpos tipo IgG dirigidos contra los receptores de acetilcolina de la placa motora, localizados en la membrana postsináptica. La causa de este proceso es desconocida, aunque se sabe que se asocia a otras enfermedades autoinmunes y a ciertos HLA1,4.
La clínica principal es la debilidad fluctuante de la musculatura voluntaria, que empeora por la tarde, con el calor y con las infecciones4,5. Si la debilidad afecta a la musculatura respiratoria o de la vía aérea causando insuficiencia respiratoria que precise ventilación mecánica se conoce como crisis miasténica6.
El diagnóstico de miastenia gravis se fundamenta en la clínica, el estudio neurofisiológico, el estudio serológico y los tests farmacológicos (test del Tensilon)7.
Los hallazgos neurofisiológicos típicos de la miastenia corresponden a un patrón de la alteración de la transmisión neuromuscular de tipo postsináptico1, es decir, una disminución mantenida mayor del 10 % de la amplitud del cuarto potencial en comparación con el primero, a frecuencias de estimulación bajas.
El medio diagnóstico más específico es la demostración en suero de anticuerpos antirreceptor de acetilcolina. Los niños frecuentemente son seronegativos2, lo que obliga a descartar un síndrome de miastenia congénita8.
El tratamiento de la miastenia gravis4 se aborda desde dos perspectivas, fármacos anticolinesterásicos para el control de los síntomas e inmunosupresores como tratamiento de base4,9. La timectomía mejora la clínica en algunos pacientes. En situaciones de emergencia como la crisis miasténica se intenta aclarar rápidamente los autoanticuerpos circulantes, para lo que se usa plasmaféresis o gammaglobulina intravenosa8,9.
En conclusión, la miastenia gravis es una enfermedad posible en niños, que debe incluirse dentro del diagnóstico diferencial de los procesos que cursan con debilidad neuromuscular e insuficiencia respiratoria aguda.
Correspondencia: Dra. T. de la Calle Cabrera.
Servicio de UCIP. Hospital Niño Jesús.
Avda. Menéndez Pelayo, 65. 28009 Madrid.
Correo electrónico: teresacalle1@hotmail.com




