El síndrome ATR-16 se debe a alteraciones en el cromosoma 16p13.3 y se caracteriza por α-talasemia, retraso mental leve-moderado, rasgos faciales dismórficos, malformaciones genitourinarias y esqueléticas. No hay hasta el momento actual ninguna referencia bibliográfica sobre asociación con osteosarcoma.
El osteosarcoma se presenta generalmente con un cariotipo complejo, caracterizado por un alto grado de heterogeneidad de aberraciones cromosómicas, entre las que ocasionalmente se ha encontrado la afectación del cromosoma 16.
Presentamos un caso clínico de un paciente con síndrome ATR-16 diagnosticado de osteosarcoma femoral.
ATR-16 syndrome is due to alterations on chromosome 16p13.3, and is usually accompanied by alpha-thalassemia, mild-moderate mental retardation, dysmorphic facial features, skeletal and genitourinary malformations. There are no references of the combination of ATR-16 syndrome and osteosarcoma in the literature.
Osteosarcoma usually has a complex karyotype, characterized by a high degree of heterogeneity of chromosomal aberrations, among which is the involvement of chromosome 16.
We report a case of a patient with ATR-16 syndrome diagnosed with femoral osteosarcoma.
El síndrome ATR-16 es causado por reordenamientos o deleciones subteloméricas en el cromosoma 16p13.3 y se caracteriza por alteraciones hematológicas (α-talasemia), retraso mental, rasgos faciales clínicamente reconocibles durante la infancia, malformaciones esqueléticas y genitourinarias. Entre las anomalías esqueléticas destacan dedos cortos, falanges fusiformes, pies equinovaros o en aducción1,2. Hasta el momento actual no hay ningún caso publicado que asocie afectación ósea tumoral.
Diversos estudios citogenéticos en pacientes diagnosticados de osteosarcoma han demostrado que la mayoría de estos tumores se presentan con un cariotipo complejo, caracterizado por un alto grado de heterogeneidad de aberraciones cromosómicas, tanto estructurales como numéricas, habiéndose descrito en ocasiones alteraciones en el cromosoma 163–8.
Caso clínicoSe trata de un paciente con retraso del desarrollo psicomotor, dificultades de aprendizaje y rasgos dismórficos. Presentaba anemia microcítica e hipocrómica desde el año de vida y fue diagnosticado de α-talasemia asociada a retraso mental a los 4 años de edad. En el año 2010, con 12 años, se realizó un estudio de genoma mediante arrays GeneChip que evidenció una microdeleción de 2,2 Mb del cromosoma 16p13.3 en heterocigosis compatible con el síndrome ATR-16.
A la edad de 14 años consulta en el Servicio de Urgencias por dolor en tercio inferior de muslo izquierdo de 3 semanas de evolución que le ocasionaba cojera y fiebre. No refería antecedente traumático previo, pérdida de peso destacable, astenia ni anorexia.
En la exploración física presentaba buen estado general, con aumento de la temperatura y tumefacción de la rodilla izquierda, dolor a la palpación de la región distal de dicho muslo y deambulación con cojera. Destacaban además rasgos caracerísticos del síndrome ATR-16: hipertelorismo, filtrum largo, boca en carpa, pabellones auriculares de implantación baja y dismórficos, pezones invertidos y falanges distales de 4.° y 5.° dedos de ambas manos fusiformes.
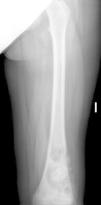
La radiografía del miembro inferior izquierdo mostró una lesión lítica con áreas de esclerosis en diáfisis-metáfisis distal del fémur izquierdo, mal delimitada, de localización medular, que invadía la cortical en el borde externo y con reacción perióstica amorfa (fig. 1). En la RMN femoral se observó una lesión extensa destructiva de la metáfisis distal del fémur izquierdo que afectaba a la totalidad de la cavidad medular y destruía la cortical en la cara externa y posterior, con invasión de los tejidos blandos y extenso despegamiento perióstico compatible con osteosarcoma (fig. 2). La TC torácica y la gammagrafía ósea no mostraron lesiones metastásicas.
La biopsia de la lesión confirmó el diagnóstico de osteosarcoma, estableciéndose tratamiento quimioterápico según protocolo SEHOP-2010 para osteosarcoma no metastásico. A los 4 meses del diagnóstico se observó progresión radiológica de la tumoración en los diámetros anteroposterior y lateral, por lo que se realizó amputación de la extremidad afecta y, posteriormente, ante la recidiva tumoral local, se realizó desarticulación de la cadera izquierda. A continuación se completó tratamiento quimioterápico según protocolo habitual de osteosarcoma no metastásico, hallándose la enfermedad estable en el momento actual.
DiscusiónEl síndrome ATR-16 presenta un fenotipo mal definido y dependiente de la extensión de la deleción, siendo las características clínicas que con mayor frecuencia se observan: retraso mental, signos hematológicos de α-talasemia, hipertelorismo, puente nasal ancho, fisuras palpebrales descendentes, pies equinovaros, alteraciones en las falanges y malformaciones genitourinarias en los varones1,2.
La afectación de la región terminal del brazo corto del cromosoma 16 (banda 16p13.3) próxima a un telómero y con gran densidad de genes, se asocia con diversas enfermedades. Las pequeñas deleciones subteloméricas de las 250 kb-300 kb de la región terminal ocasionan exclusivamente α-talasemia, la deleción de 2.000 kb conlleva la asociación de α-talasemia con retraso mental (síndrome ATR-16) y la pérdida de 300 kb más podría ocasionar esclerosis tuberosa y enfermedad de riñón poliquístico del adulto9,10. Asimismo, se han descrito en esta banda del cromosoma 16p varios genes vulnerables responsables de diversas enfermedades tales como epilepsia, ciertas formas de autismo, catarata con microoftalmia, trastorno bipolar y asma10–12, estando esta última también presente entre los antecedentes personales de nuestro paciente.
En las poblaciones de los países occidentales los tumores óseos malignos representan aproximadamente el 0,2-0,5% de todas las neoplasias, siendo su magnitud relativa considerablemente mayor en la población pediátrica13. Según el informe estadístico correspondiente al periodo 1980-2009 del Registro Nacional de Tumores Infantiles de la Sociedad Española de Oncología Pediátrica (RNTI-SEOP) los tumores óseos malignos constituyen el 7-8% de los cánceres pediátricos14. Diversos estudios citogenéticos, basados fundamentalmente en la hibridación genómica comparada (CGH), han demostrado que la mayoría de estos tumores se presentan con un cariotipo complejo, caracterizado por un alto grado de heterogeneidad de aberraciones cromosómicas, tanto estructurales como numéricas3, lo que confirma el complejo patrón de alteraciones cromosómicas presentes en los osteosarcomas.
Batanian et al. en 20024 describieron la afectación del cromosoma 16p en el estudio citogenético de las células tumorales de 2 pacientes con osteosarcoma, y dos Santos et al. en el 20075 encontraron dicha deleción en 22 pacientes con osteosarcoma, estando presentes en 13 de ellos la deleción en el cromosoma 16p13. Del mismo modo, en varios estudios6–8 se han detectado ganancias cromosómicas a este nivel, destacando la frecuente detección de la amplificación del gen 16p13 (MGRN1) en pacientes diagnosticados de osteosarcoma en un estudio publicado en 2004 por Tsz-Kwong et al.8.
No se ha encontrado ninguna mención bibliográfica en la literatura revisada sobre la asociación entre osteosarcoma y el síndrome ATR-16. El hecho de haberse publicado en diversas ocasiones la presencia de alteraciones en el cromosoma 16p en osteosarcomas, y más concretamente en la región 16p13 relacionada estrechamente con el síndrome ATR-16, podría hacer sospechar que la coexistencia de ambas enfermedades en el paciente presentado no sea casual.
Conflicto de interesesLos autores declaran no tener ningún conflicto de intereses.




