Sr. Editor:
La pericarditis tuberculosa es una enfermedad poco frecuente en niños1,2. Es importante realizar un diagnóstico y tratamiento precoz, puesto que se trata de una entidad grave que presenta una considerable morbimortalidad2. La demostración de Mycobacterium tuberculosis en líquido pericárdico es difícil, debido al escaso número de bacilos presentes en este medio2,3. La reacción en cadena de la polimerasa (PCR) frente a M. tuberculosis es un método sensible que permite un rápido diagnóstico de certeza3-5. Sin embargo, existe poca experiencia en el uso de PCR en pericarditis tuberculosa6. Se presenta un caso cuyo diagnóstico fue posible por la identificación de M. tuberculosis en biopsia pericárdica mediante PCR.
Varón de 23 meses que ingresó por síndrome febril de 4 días de evolución. Presenta palidez mucocutánea, con buen estado general sin otros signos ni síntomas. El hemograma refleja anemia microcítica con fórmula normal, aumento de la velocidad de sedimentación globular (VSG) (82 mm/h), parámetros bioquímicos sin alteraciones significativas y radiografía de tórax normal. La prueba de tuberculina presenta una induración de 15 mm. Como antecedentes de interés destaca contacto con familiar con tuberculosis pulmonar 9 meses antes del episodio actual. El paciente presentó entonces una prueba de tuberculina negativa y no se realizó radiografía de tórax ni quimioprofilaxis primaria.
Ante la sospecha de posible enfermedad tuberculosa se recogieron tres muestras de jugo gástrico, en las que no se podía demostrar la presencia de M. tuberculosis por baciloscopia ni cultivo. Tras 5 días de ingreso el paciente empeoró y presentó taquicardia sinusal persistente, leve taquipnea y hepatomegalia. Una nueva radiografía de tórax demostró entonces aumento considerable de la silueta cardíaca. La ecocardiografía confirmó la presencia de derrame pericárdico extenso, con signos de taponamiento y en el electrocardiograma (ECG) leves alteraciones de repolarización. Se realiza ventana pericárdica drenándose 200 ml de líquido, que presenta 1.400 cél./μl (65 % polimorfonucleares y 35 % linfocitos) y valores elevados de lactato deshidrogenasa (LDH) (1.320 U/l) y adenosindesaminasa (ADA) (48 U/l). La biopsia pericárdica reflejó pericarditis fibrinosa sin granulomas y la baciloscopia del líquido y el material de biopsia resultan negativas. Se realizó entonces PCR frente a M. tuberculosis, utilizando los primers IS6110 (CCT GCG AGC GTA GGC GTC GG y CTC GTC CAG CGC CGC TTC GG) que fue negativa en líquido y positiva en el material de biopsia fijada en formol e incluida en parafina. En el cultivo en medio de Löwenstein del líquido pericárdico se aísla 40 días después M. tuberculosis. El paciente recibió tratamiento con prednisona durante 6 semanas, 2 meses con pirazinamida y seis con rifampicina e isoniazida, y actualmente permanece asintomático.
La pericarditis tuberculosa es una manifestación de infección extrapulmonar poco común, que constituye entre el 1 y el 4 % de las infecciones por M. tuberculosis en niños1,7. La llegada del microorganismo se produce durante la primoinfección, por extensión linfática desde ganglios subcarinales. La infección puede progresar o reactivarse posteriormente, especialmente en lactantes o niños pequeños1.
El diagnóstico de certeza es difícil. En ocasiones no existe antecedente de contacto reciente, la sintomatología es inespecífica, la radiografía puede no mostrar alteraciones evidentes y la prueba de tuberculina puede ser negativa hasta en el 25 % de los niños7. La tinción de Ziehl o auramina en líquido pericárdico suele ser negativa2,3 debido al escaso número de bacilos, y el aislamiento sólo se consigue en el 30-70 % de los casos7. Mejor rendimiento tiene la biopsia pericárdica, donde se evidencian granulomas en el 50-75 % de los niños y el cultivo es positivo en el 75-95 %7.
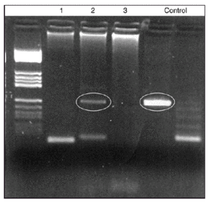
En la última década, el desarrollo de la PCR frente a M. tuberculosis ha permitido un diagnóstico precoz de tuberculosis pulmonar y extrapulmonar en el niño. Esta técnica es capaz de identificar material genético de micobacterias muertas o en escaso número4,5. La PCR se ha utilizado en muestras de jugo gástrico de niños con tuberculosis pulmonar, y presenta una aceptable sensibilidad y una excelente especificidad5,7. Además puede ser positiva en niños con infección reciente y radiografía de tórax normal8. Sin embargo, su utilidad en niños con pericarditis tuberculosa ha sido poco estudiada6. En nuestro caso, se realiza PCR en muestras de líquido y biopsia pericárdica, y es positiva sólo en esta última (fig. 1). En un estudio retrospectivo de pacientes con pericarditis tuberculosa6, la PCR fue positiva en 13 de 15 muestras (80 %) de biopsia pericárdica pero sólo en 2 de 13 muestras (15 %) de líquido pericárdico. Por tanto, siempre que sea posible es recomendable la realización de una ventana pericárdica con obtención de biopsia. De esta forma puede prevenirse la reacumulación de líquido9 y realizar un diagnóstico rápido de certeza, que permitirá iniciar tratamiento en espera del resultado definitivo del cultivo.
Figura 1.PCR positiva para M. tuberculosis (banda de material genético señalizada) en el caso 2 y muestra control.


