La punción lumbar es uno de los procedimientos invasivos más utilizados en pediatría, tanto a nivel diagnóstico (estudio del líquido cefalorraquídeo [LCR] o mielografía) como terapéutico (farmacoterapia intratecal o anestesia neuroaxial). En lactantes puede resultar especialmente dificultosa, llegando hasta un 30-50% la tasa de fracaso técnico (no obtención de LCR o LCR hemático), relacionándose este con un aumento de estancia hospitalaria y costes1–3.
Presentamos 2 casos de punción lumbar eco-asistida para bloqueo espinal. En decúbito lateral izquierdo se realizó mapeo ecográfico previo a la inmediata punción (L4-L5), con equipo Fujifilm® Sonosite SII y sonda lineal HFL38xi de 13MHz.
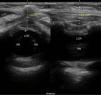
El primero (fig. 1) fue una reconstrucción de tránsito intestinal en un lactante exprematuro de 5 meses y 4kg, realizándose abordaje axial para visualizar duramadre, saco dural, raíces nerviosas y cono medular.
El segundo (fig. 2) fue una ligadura de fístula vesicorrectal en un lactante de 7 meses y 8,5kg, realizándose abordaje axial y sagital paramedial para identificar duramadre, saco dural y raíces nerviosas, y medir distancia piel-duramadre.
Los ultrasonidos representan una herramienta útil en lactantes sometidos a punción lumbar, al presentar una columna vertebral cartilaginosa con óptima ventana acústica. Permiten visualizar estructuras de referencia, como duramadre, saco dural, raíces nerviosas y cono medular; medir la distancia piel-duramadre; e identificar situaciones que dificultarían la obtención de LCR, como un saco dural colapsado (deshidratación asociada a sepsis) o comprimido (hematoma epidural tras punción fallida). Pueden llegar a aumentar la tasa de éxito de una punción ciega hasta un 30%1–3.


