La localización del quiste óseo simple (QOS) en calcáneo es el 1–5% de todos los QOS1. Radiológicamente se presenta como una osteolisis de bordes bien definidos, esclerosos y adelgazados, que puede expandir la cortical, ocupando la mitad o 2/3 de la masa del calcáneo. Suele ser asintomático, con diagnóstico casual; pero puede dar dolor por microfracturas2. El tamaño del quiste puede provocar el colapso de la articulación calcáneo-astragalina, por lo que se indica el tratamiento quirúrgico para evitar deformidades permanentes en la arquitectura del pie que provoquen secuelas dolorosas crónicas en la marcha. El motivo por el que presentamos este caso es la baja incidencia del QOS en calcáneo, la necesidad de tratamiento quirúrgico, y la dificultad de tratamiento por la inmadurez esquelética del paciente.
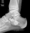
Se presenta el caso de un varón de 9 años que acude a urgencias por dolor en pie derecho de aparición aguda. Radiológicamente existe una lesión osteolítica en calcáneo, que ocupa la mitad del cuerpo, con características de benignidad (fig. 1). El TC muestra una imagen compatible con QOS. Debido al tamaño de la lesión y al riesgo de colapso, se indica el tratamiento quirúrgico: se realiza una ventana en la cortical externa del calcáneo, se curetean las paredes de la cavidad, se perforan las paredes del quiste, y se rellena la cavidad con injerto óseo heterólogo liofilizado (Prosteon®). La anatomía patológica confirma el diagnóstico de QOS. El paciente inicia carga parcial a las 4 semanas de la operación y a los 3 meses inicia actividad deportiva sin dolor. A los 2 años de evolución, radiológicamente se observa la desaparición de la pared esclerosa del quiste, con reabsorción parcial del injerto aportado que es sustituido por hueso trabecular (fig. 2) dando por curada la lesión.
El QOS en calcáneo es una lesión muy poco frecuente y su diagnóstico suele ser casual o con clínica de dolor. El dolor es debido a fracturas trabeculares y de la cortical insuflada del calcáneo. Esto sucede cuando el tamaño del quiste es 1/3 de la masa del calcáneo. Es el paso previo a una fractura masiva del calcáneo con hundimiento de la articulación calcáneo-astragalina. Esta fractura provoca la deformidad del retropié, que soporta el 100% del peso corporal en alguna de las fases de la marcha. La secuela determinará dolor crónico en la marcha, de dificil tratamiento.
El diagnóstico diferencial del QOS incluye los pseudoquistes, seudotumores hemofílicos, lipomas, osteomielitis, quistes óseos aneurismáticos, fibromas no osificantes, tumores de células gigantes, granulomas eosinófilos solitarios y hemangioendoteliomas malignos1–3. Se confirma el diagnóstico con TC, RM y el estudio histológico.
El tratamiento del QOS en cualquier localización incluye: la observación, puesto que puede curar espontáneamente durante la maduración esquelética o al producirse fracturas parciales; la infiltración intralesional con corticoides4,5; o bien el curetaje de las paredes y relleno con injerto óseo autólogo, heterólogo, o hidroxiapatita6. Otras opciones terapéuticas son la inyección percutánea intralesional con médula ósea7. En el caso del calcáneo se puede asociar al curetaje y relleno con injerto, un tornillo percutáneo que mantenga la cavidad quística abierta y drenando8,9. El objetivo del tratamiento quirúrgico del QOS en calcáneo es disminuir el riesgo de fractura. El índice de curación del QOS en calcáneo es mayor mediante curetaje y relleno de injerto, que con infiltración con corticoides, que presenta altos porcentajes de recidiva4. El tratamiento más eficaz para el QOS en calcáneo ha demostrado ser el curetaje asociado a perforaciones, con aporte de injerto óseo autólogo o heterólogo, asociando o no un tornillo que mantenga la cavidad abierta8.
En este paciente se indicó el tratamiento quirúrgico por el volumen de la lesión, para evitar el colapso de la articulación subastragalina. En este caso determinado, con inmadurez esquelética y las fisis aún abiertas, se optó por injerto heterólogo sin emplear tornillo para no lesionar la placa de crecimiento iliaca ni calcánea.
El tratamiento (adaptado a la edad del paciente) con cruentación y relleno del quiste evita el colapso del calcáneo, elimina el dolor por las fracturas de la cavidad, y permite la curación del quiste evitando una deformidad dolorosa del pie en la vida adulta.
Con este trabajo queremos resaltar que el QOS en calcáneo es una lesión «benigna» inusual que no afecta al pronóstico vital, pero que el colapso del calcáneo puede provocar una gran deformidad e invalidez en el pie permanente. Por último, queremos enfatizar que estas lesiones deben ser tratadas quirúrgicamente, mediante curetaje y relleno, para dar consistencia al calcáneo y que pueda soportar el peso del cuerpo en la marcha.




