Sr. Editor:
El rabdomiosarcoma es la neoplasia de partes blandas más frecuente en la infancia 1. Representa alrededor del 8 % de todos los cánceres en niños menores de 15 años 2. Entre los tumores sólidos extracraneales en la infancia, el rabdomiosarcoma es la tercera neoplasia más frecuente, tras el neuroblastoma y el tumor de Wilms. El tumor es ligeramente más común en niños que en niñas. Presenta dos etapas cronológicas de mayor incidencia: la primera entre el primero y el séptimo año de vida y la segunda durante la adolescencia. Su localización en vías biliares extrahepáticas es muy rara. El rabdomiosarcoma de vías biliares es una causa rara de obstrucción biliar en los niños; no obstante, es la causa más común de ictericia obstructiva por una neoplasia 3.
El interés del rabdomiosarcoma de vías biliares radica en el hecho de que es poco conocido, y que puede confundirse preoperatoriamente con un quiste de colédoco 4,5, puesto que su sintomatología e imágenes radiológicas son superponibles.
Presentamos el caso de una niña de 3 años con ictericia obstructiva secundaria a un rabdomiosarcoma embrionario de vía biliar que fue diagnosticado preoperatoriamente de quiste de colédoco.
Niña de 3 años de edad sin antecedentes personales ni familiares de interés, que presenta un cuadro de 3 semanas de evolución de dolor y distensión abdominal, febrícula y finalmente fiebre, ictericia progresiva, heces acólicas y orinas colúricas.
En la exploración al ingreso sólo destacaba la intensa ictericia cutaneomucosa y el abdomen distendido, doloroso a la palpación y con escasa peristáltica.
En las pruebas complementarias realizadas encontramos: hemograma con neutrofilia relativa, hemoglobina 11,6 g/dl, hematócrito 33 %, plaquetas 380.000 ml; VSG 81 mm/h; ferritina 172 mg/l; perfil bioquímico básico y renal normales; GOT 54 U/l, GPT 31 U/l. Había un claro patrón de colestasis con la GGT muy elevada, 411 U/l e hiperbilirrubinemia a expensas de bilirrubina directa (bilirrubina total/bilirrubina directa 12,6/11,3 mg/dl).
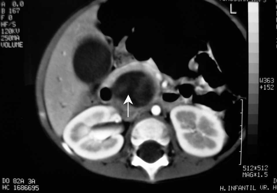
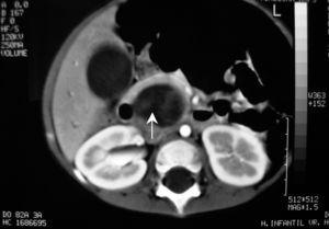
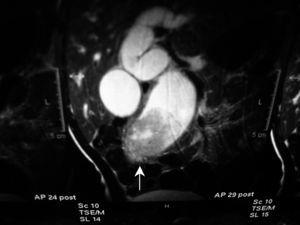
Se realiza una tomografía computarizada (TC) de abdomen que pone de manifiesto una dilatación de la vía biliar intrahepática, visualizándose una imagen redondeada de mayor densidad que la vesícula biliar que desplaza la arteria hepática (fig. 1). La colangiorresonancia realizada mostró una dilatación fusiforme del hepatocolédoco, visualizándose un defecto de repleción intraluminal en el colédoco distal, que ocasiona obstrucción y dilatación retrógrada de la vía biliar (fig. 2).
Figura 1.TC de abdomen: dilatación de la vía biliar intrahepática, visualizándose una imagen redondeada de mayor densidad que la vesícula biliar que desplaza la arteria hepática.
Figura 2.Colangiorresonancia: dilatación fusiforme del hepatocolédoco, visualizándose un defecto de repleción intraluminal en el colédoco distal, que ocasiona obstrucción y dilatación retrógrada de la vía biliar.
El diagnóstico de sospecha fue de quiste de colédoco, con este diagnóstico se interviene quirúrgicamente; pero en la laparotomía se descubre una masa sólida y se realiza biopsia intraoperatoria que es informada como tumor de células pequeñas y redondas. Se procede a la colocación de catéter venoso central. El estudio de extensión realizado fue negativo: gammagrafía con 99Tc, TC de tórax y aspirado y biopsia de médula ósea.
Tras la confirmación histológica de rabdomiosarcoma embrionario, siendo las t(2;13) y t(1;13) negativas, se inicia tratamiento quimioterápico preoperatorio según el protocolo IRS-V (The Intergroup Rhabdomyosarcoma Study-V) para riesgo intermedio, administrándose ciclos de vincristina semanal, actinomicina D y ciclofosfamida cada 21 días (régimen VAC). Tras 14 ciclos se consigue una muy buena respuesta parcial. En la TC se observa una dilatación del colédoco en su porción distal y una estructura sólida compatible con restos de la tumoración que había experimentado una importante reducción de su tamaño; se decide control local de la enfermedad con cirugía. Se realiza exéresis completa de la tumoración con recomposición de la vía biliar mediante hepaticoyeyunostomía y del tránsito intestinal mediante anastomosis en Y de Roux. El informe histológico de la pieza extirpada nos confirma la ausencia de estructuras neoplásicas residuales, por lo que se decide continuar tratamiento quimioterápico hasta completar 40 semanas y no administrar radioterapia. Actualmente está viva y libre de enfermedad, 30 meses tras finalizar el tratamiento.
El rabdomiosarcoma es un tumor que surge a partir de células mesenquimatosas maduras del músculo esquelético 1. Es el sarcoma de partes blandas más frecuente en la infancia.
Su localización en la vía biliar extrahepática es extremadamente rara, menos de un 1 % de los casos 6. El tipo histológico más frecuente en esta localización es el embrionario, y a veces, una variante de éste que es el subtipo botrioide. La presentación clínica típica es ictericia obstructiva con o sin distensión abdominal, fiebre y anorexia 7. Puede existir extensión al hígado y al retroperitoneo o pulmones.
El estándar de oro del diagnóstico es la biopsia, la cual es imprescindible. Los rabdomiosarcomas son tumores de células pequeñas, redondas y azules, por lo que el patólogo deberá hacer el diagnóstico diferencial mediante microscopia óptica, microscopia electrónica, inmunohistoquímica y estudios de biología molecular, que cada vez cobran mayor importancia en cuanto al pronóstico.
El diagnóstico radiológico del rabdomiosarcoma de vías biliares puede hacerse con colangiorresonancia; pero las características de la imagen no son específicas, así en el preoperatorio puede confundirse con frecuencia con un quiste de colédoco 4,5.
La escasa frecuencia de rabdomiosarcoma de vías biliares extrahepáticas ha impedido el desarrollo de una forma estandarizada de tratamiento 8. Se pueden obtener buenos resultados terapéuticos sin necesidad de técnicas quirúrgicas agresivas, gracias a un régimen de poliquimioterapia preoperatorio asociado o no a radioterapia.
Presentación previa en la XIV Jornadas Internacionales de Actualización en Oncología Pediátrica. Mayo de 2004. Sevilla.
Correspondencia: Dra. I.L. Benítez Gómez.
Satsuma, 16, 3.º D. 41006 Sevilla. España.
Correo electrónico: ilubego@telefonica.net




