En los últimos años se vive una reaparición del raquitismo carencial, además del aumento en la prevalencia del déficit de vitamina D. Desde el año 2000 existen múltiples publicaciones en las que se aborda este problema1,2. La disminución en la ingesta de productos ricos en calcio (leche y derivados, fundamentalmente), y el aumento de casos de intolerancias y alergias a derivados lácteos, junto con la disminución a la exposición solar, son los principales factores que influyen en la disminución de la absorción y producción de vitamina D.
El pico de edad de aparición del raquitismo está entre los 6 y los 18 meses; la adolescencia es otro período de riesgo. La ingesta de vitamina D en la dieta es insuficiente para prevenir el déficit; es esencial la síntesis de vitamina D3 en la piel bajo la influencia de la luz solar para mantener unos valores adecuados3. Sobre la base de estos hallazgos, la Academia Americana de Pediatría recomienda ingerir 400U/día en todos los niños y comenzar los primeros días de vida4, lo que modifica las recomendaciones previas de 200U/día.
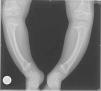
Se presentan 2 casos clínicos de niños con raquitismo carencial. Caso 1: niña de 20 meses remitida a las consultas de Traumatología y Pediatría por genu varo. En cuanto a sus antecedentes, sus padres proceden de Marruecos, recibía lactancia materna y presentaba diversificación alimentaria no reglada. No toma profilaxis antirraquítica y escasa exposición solar. Desarrollo ponderoestatural y psicomotor correctos. En las pruebas complementarias destacan: hormona paratiroidea intacta (PTH-i) de 406pg/ml; calcio de 9,4mg/dl; magnesio de 2,2mg/dl; fosfato de 4mg/dl; fosfatasa alcalina de 649U/l y 25-hidroxicolecalciferol (25-[OH]) vitamina D de 6ng/ml (15 a 60ng/ml). En la radiología se observan el ensanchamiento y la irregularidad de las metáfisis del fémur distal y la tibia proximal y distal, con marcado aumento de la incurvación de la tibia bilateral. Las metáfisis tibiales se encuentran deformadas, con el borde afilado en los extremos mediales. Las metáfisis distales del cúbito y el radio son irregulares (fig. 1). Caso 2: niño de 8 meses de origen magrebí que acude a Urgencias por crisis comicial. En la analítica se detectan un calcio de 5,3mg/dl, magnesio de 1,6mg/dl y fosfato de 3,6mg/dl. Había recibido lactancia materna exclusiva hasta los 6 meses y no toma profilaxis antirraquítica. Radiográficamente se observa un agrandamiento de las metáfisis del fémur, húmero y radio en forma de copa, con desflecamiento metafisario (fig. 2). Al completar el estudio analítico encontramos una PTH-i de 463pg/ml y 25-(OH) vitamina D de 8,3ng/ml. En ambos casos se indica tratamiento con vitamina D, ingesta adecuada de calcio y exposición a la luz solar, con buena respuesta y evolución.
El recién nacido (RN) está protegido del déficit de vitamina D los primeros meses de vida si nace de una madre sin déficit de vitamina D; la 25-(OH) vitamina D atraviesa la placenta directamente5 y los valores neonatales son aproximadamente dos tercios de la concentración materna. La vida media de la 25-(OH) vitamina D es de 3 semanas, de esta manera, el RN está protegido durante los 2 primeros meses, incluso si no recibe vitamina D.
Aunque la profilaxis con vitamina D a todos los niños por debajo del año de edad ha sido una práctica habitual en las consultas de atención primaria hasta hace unos años, actualmente no está recomendada, dado que no existen estudios científicos que la avalen de manera generalizada, especialmente en niños alimentados con fórmulas artificiales. Expertos en este tema aseguran que no hace falta suplementar en la mayoría de los casos, pero si se aseguran unas condiciones mínimas de exposición a la luz solar y de nutrición materna6. La Asociación Española de Pediatría de Atención Primaria incluye en sus recomendaciones administrar de 200 a 400U/día de vitamina D a niños con riesgos añadidos que puedan tener riesgo de déficit de vitamina D. Estos grupos de riesgo serían los niños prematuros, los niños con piel oscura, los niños con una inadecuada exposición a la luz solar (bien por hábitos culturales o porque se utilice filtro solar en todos los paseos del niño) y los hijos de madres vegetarianas estrictas a los que se esté amamantando. La Asociación Americana de Pediatría incluye en estas recomendaciones a los niños que reciben lactancia materna exclusiva, dado que consideran muy difícil determinar cuánta exposición a la luz solar es adecuada7,8.
La convivencia de distintas razas y culturas debe hacernos individualizar la asistencia sanitaria e identificar a los niños en riesgo de presentar déficit de vitamina D, de manera que podamos prevenirlo.
Además de esto, los distintos programas de protección y promoción de la lactancia materna hacen que debamos asegurar en estos niños alimentados al pecho un aporte adecuado de vitamina D mientras dure la lactancia materna exclusiva.




