La etiopatogenia de la trombosis de los senos durales en la edad pediátrica es multifactorial1,2 y el tratamiento anticoagulante no está claramente establecido2,4,5.
La causa principal, fuera del período neonatal, es la infecciosa, secundaria a otitis media aguda y mastoiditis1. En ocasiones, la trombosis puede originarse por compresión directa de este por absceso adyacente. En nuestra unidad abogamos por un tratamiento precoz quirúrgico de estas lesiones, pues si la compresión se alivia, el seno puede repermeabilizarse en las siguientes horas y confirmar la teoría de que la compresión extrínseca colapsa el seno, pero no llega a trombosarlo.
Aunque en el artículo de Velasco-Puyó et al2 concluyen que la anticoagulación es la clave para evitar la progresión de la trombosis, la descompresión precoz de los senos puede ser suficiente para el tratamiento.
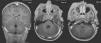
Presentamos el caso de una paciente de 3 años, remitida desde otro hospital por un cuadro de otitis media aguda bilateral, tratada inicialmente con antibióticos orales (amoxicilina-clavulánico en dosis de 50mg/kg/d). Tres días después del inicio del cuadro, la paciente presenta un episodio de cefalea intensa con vómitos y signos inflamatorios retroauriculares izquierdo, por lo que ingresó en este centro. En las pruebas de imagen realizadas se describe en la tomografía computarizada (TC) craneal realizado el primer día de ingreso un absceso de partes blandas retroauricular izquierdo, ausencia de aireación de las celdas mastoideas ipsolaterales (mastoiditis) y un absceso intracraneal, en la fosa posterior, epidural adyacente a las lesiones previas descritas (fig. 1). Por esto, el servicio de Otorrinolaringología decide realizar una timpanocentesis bilateral, evacuación de la mastoides ipsolateral e iniciar un tratamiento antibiótico empírico intravenoso con metronidazol (30mg/kg/d) y cefotaxima (200mg/kg/d). En la resonancia magnética (RM) cerebral y en la angio-RM cerebral, realizada el quinto día, se observa una colección epidural retromastoidea izquierda, con realce periférico, indicativa de absceso epidural, que oblitera el seno transversosigmoideo ipsolateral (fig. 1).
Pruebas de neuroimagen prequirúrgicas. En la imagen de la izquierda: corte axial de la tomografía computarizada craneal con contraste, en la que se observa un absceso retroauricular izquierdo de partes blandas, un absceso epidural en fosa posterior y las celdas mastoideas no aireadas ipsolaterales. En la imagen central: secuencia de la angiorresonancia magnética, el seno transversosigmoideo izquierdo no presenta flujo. Prueba de neuroimagen posquirúrgica precoz. En la imagen derecha: corte axial donde se observa la recanalización parcial del seno tras la evacuación el absceso.
Al sexto día se remite a la paciente a nuestro hospital, donde realizamos de forma urgente diferida (séptimo día de evolución) la trepanación y la evacuación del absceso epidural, y se deja un drenaje en el lecho.
En la TC craneal de control realizada a las 24h de la cirugía se observa una recanalización parcial de esta, con un aumento del retorno venoso ipsolateral a través de la vena de Dandy o petrosa inferior y del seno petroso superior (fig. 1), por lo que se decide no comenzar con la anticoagulación.
En una práctica de control a las 2 semanas de la cirugía se observa en la angio-RM cerebral el seno transverso izquierdo completamente recuperado en calibre y flujo, aunque se sigue observando el seno petroso superior y la vena petrosa inferior ingurgitadas (fig. 2).
Secuencias de la resonancia magnética posquirúrgica. En la imagen de la izquierda: corte coronal en secuencia T1 con contraste y repermeabilización completa del seno. En la imagen central: corte axial en secuencia T1 con contraste, se distingue el seno repermeabilizado y el aumento del flujo al seno petroso superior. En la imagen de la derecha cabe destacar cómo la vena petrosa inferior también presenta un flujo mayor.
Actualmente, tras completar 4 semanas de tratamiento intravenoso, la paciente permanece asintomática y sin anticoagulación.
El tratamiento de elección en pacientes adultos con trombosis de los senos durales es la anticoagulación. Sin embargo, en los pacientes pediátricos esta indicación no presenta un nivel de evidencia IA2–4. La compresión extrínseca del seno no provoca una trombosis inmediata de este, por lo que la actuación precoz sobre estas lesiones podría revertir el colapso del seno y evitar la anticoagulación con los efectos adversos y complicaciones que pueden surgir de esta en pacientes con traumatismos frecuentes, como es la edad pediátrica, como ocurrió en nuestro caso. No obstante, si se confirman factores trombofílicos como el factor V Leyden, alteraciones de las proteínas C o S, entre otras, la anticoagulación es imperativa1.
Otro hecho destacado en este caso son las anomalías en el drenaje venoso focal. La ausencia de flujo en el seno transversosigmoideo provoca una redistribución del flujo venoso en el seno petroso superior y la vena petrosa inferior para intentar paliar la hipertensión intracraneal aguda secundaria a la congestión venosa focal, aunque en teoría el flujo debería realizarse a través del seno transversosigmoideo contralateral, pues ambos senos se unen en la tórcula en la prensa de Herófilo junto con el seno recto y el seno longitudinal superior. Esta situación no se revierte con la descompresión del seno, aunque recupere su función.
La ausencia de una clara evidencia a favor de la anticoagulación en la edad pediátrica, unido a la posibilidad de repermeabilización del seno tras una evacuación precoz del absceso, contribuye a que en nuestra unidad la anticoagulación no se contemple como un tratamiento estándar en esta enfermedad.




