Sr. Editor:
Los catéteres venosos centrales se usan con frecuencia para la administración de medicación y nutrición parenteral. Su uso en recién nacidos de muy bajo peso ha conducido a un aumento en la incidencia de fenómenos trombóticos1 (2,4/1.000 recién nacidos admitidos en las unidades de cuidados intensivos neonatales), de forma que el 89 % de las trombosis neonatales se asocian con la colocación de un catéter. Se ha constatado que la mortalidad es mayor entre los lactantes con trombosis aórtica que afecte a la aurícula derecha o a la vena cava superior1. La formación de trombos intracardíacos es una complicación poco frecuente, pero grave de los catéteres centrales2,3.
Presentamos un caso que fue tratado con éxito mediante trombólisis local en bajas dosis.
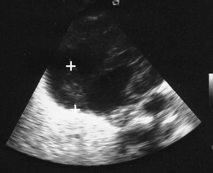
Se trata de un varón fruto de segunda gestación de 26 semanas que cursó con sospecha de tuberculosis miliar tratada con rifampicina, isoniacida y etambutol desde una semana antes del parto. La madre tuvo un aborto previo en el primer trimestre. Se aisló Ureaplasma urealyticum en el cultivo de secreciones vaginales. El niño no presenta maduración pulmonar y el parto fue eutócico. El test de Apgar al minuto fue 5; a los 5 min, 7, y a los 10 min, 8. Fue sometido a reanimación tipo IV (intubación orotraqueal y ventilación con bolsa y mascarilla). Peso al nacer: 810 g. A su ingreso se administra agente tensiactivo pulmonar exógeno (poractán) y se aprecia radiológicamente patrón de enfermedad de membrana hialina, por lo que se administra una segunda dosis de agente tensiactivo a las 6 h. A las 48 h de vida se realiza ecografía craneal en la que se aprecia hemorragia intraventricular de grado II. En controles posteriores se observa que evoluciona a leucomalacia periventricular con dilatación ventricular. A los 20 días de vida se ausculta soplo sistólico 2/6 máximo en borde esternal izquierdo, se palpa hepatomegalia y se distingue analíticamente trombocitopenia. Se realiza ecocardiografía en la que se aprecia trombo en aurícula derecha en la entrada de vena cava localizado en la punta de catéter epicutáneo (fig. 1). Ante el alto riesgo de la trombectomía quirúrgica por su bajo peso y el riesgo de la trombólisis en dosis sistémica, dado el antecedente de hemorragia intraventricular, se inicia tratamiento, a través del epicutáneo cuya punta se encuentra en el trombo, con urocinasa en dosis bajas (2.000 U/kg/h) y se comprueba ecocardiográficamente la desaparición del trombo tras 14 días de fibrinólisis. Se mantiene en tratamiento con heparina de bajo peso molecular (1 mg/kg/12 h) durante 6 semanas y se da de alta en buen estado a los 3 meses de su nacimiento.
Figura 1. Trombo en aurícula derecha.
La regresión espontánea de un trombo intracardíaco es posible4, pero la mayoría de los autores están de acuerdo en el peligro inherente de estos trombos intracardíacos y, por tanto, lo aconsejable del tratamiento precoz. Hay poca experiencia en el tratamiento de la trombosis en el neonato pretérmino. La retirada quirúrgica de trombos intracardíacos en prematuros de menos de 1.500 g implica una alta mortalidad a causa de la necesidad de usar circulación extracorpórea, con parada cardíaca e hipotermia profunda durante la cirugía; hay autores a favor5 y en contra de la trombectomía6. Nosotros coincidimos con los segundos y creemos que en estos pacientes debe considerarse el tratamiento trombolítico con activadores del plasminógeno, bien con urocinasa, bien con activador del plasminógeno tisular recombinante. No ha demostrado ser uno superior al otro en términos de eficacia y tolerabilidad durante el primer año de vida7. Por otra parte, hemos de tener en cuenta que la fibrinólisis sistémica en altas dosis en prematuros presenta un riesgo elevado de hemorragia cerebral durante las primeras semanas de vida, por lo que se ha propuesto el tratamiento con dosis bajas con infusión directa del agente fibrinolítico dentro o cerca del trombo8. En este protocolo se recomiendan dosis de 1.000 a 3.000 U/kg/h de urocinasa o 0,01-0,05 mg/kg/h de activador recombinante del plasminógeno tisular. Con estas dosis bajas no se inducirá un estado fibrinolítico sistémico. Sin embargo, se recomienda la monitorización de las concentraciones plasmáticas de fibrinógeno que deben permanecer por encima de 100 mg/dl durante el tratamiento trombolítico con dosis bajas. Las concentraciones de fibrinógeno en nuestro paciente se mantuvieron entre 1,9 y 2,6 g/l. Tras la trombólisis se requiere un tratamiento a largo plazo preferentemente con heparina de bajo peso molecular durante al menos 6 semanas en ausencia de cualquier factor trombofílico persistente; un curso más largo (de 3 a 6 meses) de anticoagulación es necesario cuando existen factores trombofílicos (trombofilia hereditaria o catéter venoso central). Se recomienda que cualquier neonato con trombosis sea evaluado para excluir una trombofilia hereditaria9. Podemos concluir que la trombólisis local con bajas dosis de urocinasa de la trombosis cardíaca relacionada con catéter puede ser una opción terapéutica eficaz y segura en recién nacidos pretérmino, requiere la monitorización ecocardiográfica del tamaño del trombo así como de las concentraciones séricas de fibrinógeno, aunque se requieren más estudios para valorar la eficacia y seguridad de esta nueva modalidad terapéutica.
Correspondencia: Dr. S. Lubián López. Real, 137 1.º D.
San Fernando. 11100 Cádiz. España.
Correo electrónico: slubian@yahoo.es



