Caso clínico
Niño de 18 meses sin antecedentes personales de interés, que acude a la consulta por episodios repetidos de retención urinaria. Como antecedentes familiares presenta madre con episodios de retención urinaria asociada a cistitis de repetición.
En los últimos tres meses había consultado en el Servicio de Urgencias en dos ocasiones por episodios de retención aguda de orina, consistentes en ausencia de diuresis en las 12 h. En ambos casos se precisó sondaje vesical para su resolución, y se obtuvieron aproximadamente 300 mililitros de orina, que se remitieron para cultivo y análisis. En la exploración física destacaba globo vesical palpable; el resto era normal. En ambas ocasiones el urinálisis (incluido índice proteína/creatinina y calcio/creatinina) y el urinocultivo fueron negativos. Se realizó hemograma y bioquímica sanguínea, que fueron normales.
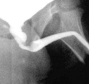
La ecografía renal y vesical muestra distensión vesical, sin hidronefrosis, litiasis, ni otros hallazgos patológicos. Ante la recurrencia del proceso se solicita cistografía miccional que demuestra la existencia a la altura de la uretra posterior de una lesión ocupante de espacio, exofítica, polipoidea que se inicia en el verum montanum, se extiende distalmente y obstruye de manera parcial la uretra (figs. 1 y 2).
Figura 1.CUMS: Fase miccional. Defecto de repleción a nivel de uretra prostática que causa disminución de la luz uretral.
Figura 2. Defecto de repleción, alargado, con base en la pared posterior de la uretra prostática (verum montanum) y que se proyecta hacia la uretra bulbar.
Pregunta
¿Cuál es su diagnóstico?
Pólipo uretral
Ante la presencia de episodios repetidos de retención aguda de orina en la infancia, lo primero que debe descartarse es una infección del tracto urinario, mediante urinocultivo. Si éste resulta negativo, debe sospecharse una causa obstructiva, para cuyo diagnóstico se realizarán diferentes pruebas de imagen (ecografía y cistouretrografía miccional seriada). Si en éstas no se encontrara ningún hallazgo, debería pensarse en una causa funcional, bien sea psicológica o neurológica. Si, por el contrario, aparece alguna alteración, se podría decir entonces que la causa de la obstrucción es anatómica y proceder a su resolución1.
El pólipo fibroepitelial de uretra posterior es una lesión infrecuente. Afecta con mayor frecuencia a niños que adultos. Se debe tener presente en todos aquellos lactantes o niños que presenten trastornos miccionales, en especial retención urinaria2.
La embriogénesis y etiología de esta rara lesión es todavía controvertida. Para algunos autores, se debe a una protrusión de la pared uretral posterior, aunque otros se refieren a una posible conexión entre epitelio metaplásico, a veces presente en el pólipo, con el nivel de estrógenos maternos durante el embarazo3.
Es una lesión benigna. Está descrita su asociación con otras anomalías del tracto urinario hasta en el 50 % de los casos. La más frecuente es con el reflujo vesicoureteral (23,5 %), ya que si el pólipo es el causante de un mecanismo obstructivo, podría interferir en el correcto vaciado vesical, y podría ser el responsable del reflujo vesicoureteral o de su mantenimiento. El tamaño del pólipo no se correlaciona con el grado de obstrucción y la gravedad de los síntomas4.
La presentación clínica más frecuente en estos pacientes es la de disuria y retención urinaria5, por lo común asociadas a infección del tracto urinario y hematuria.
El diagnóstico se basa en la cistouretrografía miccional seriada (CUMS), en la cual se puede ver un defecto de repleción ovalado y móvil, de contornos lisos y bien circunscritos, que puede ocupar uretra prostática o cuello vesical1.
Clásicamente se han tratado estas lesiones mediante cirugía transvesical. En la actualidad, la resección endoscópica4, aun en los pacientes más jóvenes, es un procedimiento que puede emplearse con seguridad.
En el caso clínico que nos ocupa, se procedió a la resección por vía endoscópica; puesto que era muy difícil la extirpación completa, dado el gran tamaño del pólipo, se acabó realizando cirugía abierta, resecando la masa polopoidea en su totalidad. La anatomía patológica demostró que se trataba de una masa de naturaleza fibroepitelial.
Tras dos años de seguimiento, el niño sigue sin sintomatología urinaria y no ha repetido episodios de retención urinaria.
Correspondencia: Dra. M.T. Palencia Ercilla.
Rua Das Lavandeiras, s/n 3.º J. 36003 Pontevedra. España.
Correo electrónico: terepalencia@ole.com
Recibido en junio de 2006.
Aceptado para su publicación en marzo de 2007.




