Recién nacido a término, varón, primer hijo de padres sanos, no consanguíneos, que ingresa por sospecha prenatal de hipoplasia cerebelosa. Sin incidencias en el periodo perinatal. En el examen físico neonatal destacan una implantación baja de orejas, hipertelorismo e hipotonía generalizada. La ecografía trasfontanelar no identificó alteraciones de la fosa posterior. En la valoración del 5.° mes de vida presenta dificultad para mantener el sostén cefálico e iniciar sedestación en trípode, los rasgos faciales dismórficos descritos, objetivándose además un estrabismo convergente de ambos ojos. Adecuado crecimiento cefálico. Se realizó una RM cerebral que mostró una rombencefalosinapsis (RS) parcial aislada (fig. 1).
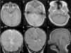
RS parcial aislada. A-C) Axial SPGR T1 de rostral a caudal: mesencéfalo (A), protuberancia (B) y unión bulbo-medular (C). Nótese la presencia de la porción anterior del vermis (A), la fusión caudal del vermis posterior (B) y la fusión rostral y posterior de los hemisferios cerebelosos con disposición horizontal de las folias (C). D-E). Coronal FSE T2. Ausencia de la porción inferior del vermis posterior; obsérvense la língula en el vermis anterior (D) y la fusión de los hemisferios cerebelosos con continuidad de las folias y sustancia blanca cruzando la línea media F) Sagital medio FLAIR T1. Nódulo presente.
La RS es una rara alteración en el desarrollo del cerebelo caracterizada por la agenesia parcial o total del vermis, con fusión de los hemisferios cerebelosos en la línea media1,2. Se afecta principalmente a la porción más rostral del vermis (lóbulo posterior). Puede aparecer de forma aislada, como en nuestro paciente, o con frecuencia estar asociada a otras malformaciones cerebrales: estenosis del acueducto, hidrocefalia, fusión medial de los colículos o tálamos, ausencia del septum pellucidum, disgenesia del cuerpo calloso o anomalías del sistema límbico. Los pacientes pueden ser incluidos en 4 categorías: 1) RS asociada a síndrome Gómez-López-Hernández, también conocido como displasia cerebelo-trigémino-dermal; 2) RS con asociación VACTERL; 3) RS con holoprosencefalia atípica generalmente occipital, y 4) RS aislada2,3.
La clínica es variable, aunque se correlaciona con la gravedad en la neuroimagen y la presencia de otras malformaciones1,2,4. Incluye movimientos anómalos cefálicos, hipotonía con retraso en la adquisición de hitos motores y alteración del equilibrio, así como trastornos de conducta con intranquilidad motora e impulsividad. La afectación cognitiva es muy variable.
Su diagnóstico con RM no es difícil: en los planos coronales y axiales se aprecia la fusión de los hemisferios cerebelosos con disposición horizontal y continuidad de las folias en la línea media, y ausencia parcial o total del vermis. En el plano sagital medio puede sospecharse por la ausencia de la fisura primaria y prepiramidal4.



