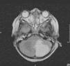
Niña de 5 años que sufre un accidente de tráfico por impacto frontal, con signos de traumatismo externo abdominal y un nivel de conciencia fluctuante, con ventilación espontánea, sin reacción a estímulos dolorosos, con pupilas isocóricas normorreactivas, frecuencia cardiaca 85lpm, presión arterial sistólica 90–95mmHg. De forma brusca, presenta deterioro hemodinámico, con disminución de frecuencia cardiaca, aleteo nasal y respiración bucal, siendo intubada, con GCS 3, en situación de shock (fig. 1). En ecografía abdominal se observa abundante cantidad de líquido libre, requiriendo resección quirúrgica urgente de 2 segmentos de intestino delgado por perforación y desgarro del meso. Una vez estabilizada, se realiza TC cerebral y de columna cervical, objetivando infarto cerebeloso izquierdo y fractura-distracción de C7, con invasión de canal. Ante la sospecha de lesión medular se realiza una RM de columna cervical (fig. 2) con una fractura horizontal de la porción inferior de C7 con extensión y separación de elementos posteriores y pseudomeningocele. Se asociaba sección completa medular en la unión C7-D1, con disección de la arteria vertebral izquierda e infarto cerebeloso en territorio de la arteria cerebelosa posteroinferior izquierda (fig. 3). A las 48h, la paciente desarrolló un cuadro de distress respiratorio agudo y midriasis bilateral arreactiva, observando en TC cerebral un aumento del efecto masa del infarto cerebeloso e hidrocefalia triventricular, con herniación transtentorial, concluyendo con muerte encefálica confirmada en arteriografía cerebral.
DiagnósticoSección medular por fractura del cuerpo vertebral C7.





