Niña de 5 años, diagnosticada de trastorno del espectro autista (TEA), con rechazo de ingesta, vómitos y deposición con restos de semillas y ramitas de árbol. Refieren que desde semanas previas estaba sin supervisión en el recreo.
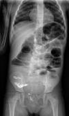
En radiografía abdominal se aprecian numerosos cuerpos extraños compatibles con semillas y dilatación de asas intestinales. El aspecto radiológico y la fotografía de las semillas expulsadas en heces, aportada por los padres, permiten identificar las semillas del cinamomo (Melia azedarach), árbol presente en el patio del colegio (fig. 1).
A) Radiografía de abdomen. Imágenes redondeadas hiperdensas en todo el marco cólico y en ampolla rectal compatibles con semillas ingeridas. B) Hojas y frutos de Melia azedarach, cinamomo o árbol del paraíso. Los frutos son drupas esféricas de 1cm de diámetro, de color verde, que torna a amarillo con su maduración.
Tras 72h presenta dolor y distensión abdominal, sin vómitos ni deposiciones. En nueva radiografía (fig. 2) se observan niveles hidroaéreos con semillas en región ileocecal y ampolla rectal, hallazgos compatibles con seudo-obstrucción intestinal.
Tras tratamiento laxante oral y rectal, realiza deposiciones con expulsión de semillas y mejoría clínica, con resolución paulatina del cuadro y eliminación completa de estas (fig. 3).
Melia azedarach se emplea en medicina tradicional para tratar numerosas afecciones como la malaria y las parasitosis intestinales1. Se considera intoxicación la ingesta de 6-9 frutos, 30-40 semillas y unos 400mg de corteza, ocasionando principalmente síntomas neurológicos (cefalea, ataxia, convulsiones, coma) y gastrointestinales (vómitos, diarrea, distensión abdominal), hasta la muerte en casos severos2,3.
Aunque este caso no presenta sintomatología clara de intoxicación, la clínica puede atribuirse inicialmente al efecto irritativo de las semillas (vómitos) y en segunda fase, a su acúmulo en el tracto gastrointestinal.
Se concluye con la importancia de prevenir estos accidentes reconociendo y retirando árboles potencialmente tóxicos de áreas infantiles.





