Sr. Editor:
El síndrome del shock tóxico es un cuadro grave, poco frecuente en niños (0,5/100.000 habitantes)1–3. Habitualmente, se debe a una infección por cepas de Staphylococcus aureus productoras de toxinas2,4. También puede estar producido por Streptococcus pyogenes y, en los últimos años, se han descrito casos asociados con otros gérmenes1,2,5. Se caracteriza por la presencia de fiebre, hipotensión, eritrodermia que evoluciona a descamación y fallo multisistémico.
Presentamos un caso de shock tóxico en una niña con sinusitis aguda, que resultó ser la manifestación inicial de una leucemia aguda.
Niña de 6 años, sin antecedentes personales de interés, que fue ingresada en urgencias por un cuadro de fiebre, rinorrea, dificultad respiratoria, disfagia, vómitos, diarrea y decaimiento.
En la exploración física, se aprecia un regular estado general con alteración del nivel de conciencia, fiebre de 39°C, rinorrea purulenta y trismo leve-moderado. En la inspección, destaca un edema palpebral bilateral, con hiperemia conjuntival, fisuración perioral (fig. 1) y una eritrodermia con componente petequial y afectación de palmas y plantas. La frecuencia cardíaca es de 160 lat./min; la presión arterial sistólica/diastólica es de 100/57mmHg. Dada la afectación del estado general, la paciente ingresa en la unidad de cuidados intensivos.
En la analítica sanguínea los valores son los siguientes: hemoglobina, 8,9g/dl; 560 leucocitos/μl (330 neutrófilos/μl; 190 linfocitos/μl); plaquetas, 24.000/μl; PCR, 556,9mg/l (normal menor de 5mg/l); GOT, 177 U/l; GPT, 90 U/l; dímero D, 4.607ng/ml; creatinina, 1,05mg/dl; pH, 7,32; pCO2, 25,6mmHg; bicarbonato, 16mmol/l; exceso de bases: –10mmol/l.
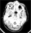
En la radiografía de tórax se detecta un derrame pleural bilateral. En la radiografía de senos se aprecia la ocupación parcial de senos maxilares. En la TC craneal se visualiza la ocupación de fosas nasales y senos paranasales, sin colecciones ni áreas flemonosas cervicales (fig. 2). En la biopsia de mucosa nasal y secreción de seno maxilar se detectan S. aureus y S. pneumoniae. La detección de Mucor y de Aspergillus es negativa. El hemocultivo resulta estéril. Las serologías para parvovirus, citomegalovirus y virus de Epstein-Barr son negativas. En la punción lumbar no se detectan alteraciones. Dada la llamativa pancitopenia, se realizan aspirado y biopsia de médula ósea.
En el momento del ingreso se inicia antibioterapia intravenosa empírica con vancomicina, clindamicina y cefotaxima, que se mantienen durante 14 días. La paciente precisa intubación orotraqueal y soporte inotrópico. Ante la sospecha de shock tóxico, se pauta tratamiento con gammaglobulina intravenosa (400mg/kg/día), durante 3 días y se inician corticoides (prednisolona a 60mg/m2), antes de conocer el resultado de la biopsia de médula ósea y hasta completar 10 días de tratamiento.
En el aspirado y biopsia de médula ósea se observa una escasa serie granulocítica, alguna célula plasmática, aislados elementos de la eritropoyesis y predominio linfocitario. En la citometría se detecta un 10 % de elementos linfoides B inmaduros de fenotipo patológico compatible con un proceso linfoproliferativo.
La niña evoluciona favorablemente, con normalización de los controles analíticos, negativización de los cultivos y recuperación de la pancitopenia. El exantema evoluciona a una descamación fina en manos y pies. Es dada de alta a los 15 días del ingreso. En los controles hematológicos posteriores no se detectan células inmaduras en sangre periférica.
Tres meses después del cuadro comienza con astenia, adenopatías submandibulares, hepatosplenomegalia y pancitopenia. En el estudio de médula ósea y en la citometría se observa un 85 % de población patológica (CD19, CD10 y CD22 positiva), compatible con la presencia de una leucemia aguda linfoblástica tipo B común. Por ello, se inicia tratamiento quimioterápico.
La mayoría de las veces, el origen de esta infección se encuentra en la piel y en las mucosas, aunque puede no ser evidente1,3, lo que dificulta la identificación del foco causal. En el caso que presentamos, el origen del cuadro era una pansinusitis.
La gran mayoría de casos descritos de síndrome del shock tóxico debidos a sinusitis presentan condiciones predisponentes (cirugía nasal, intubación nasotraqueal prolongada)6–9. En nuestro caso, el factor de riesgo resultó ser una leucemia aguda.
En el estudio microbiológico se aislaron S. aureus y S. pneumoniae, de modo que el cuadro de shock tóxico pudo ser debido a toxinas producidas por cualquiera de ellos o por ambos. El aislamiento de S. pneumoniae es casi excepcional1,10.
En cuanto al fallo multisistémico, la afectación medular se ha descrito, casi exclusivamente, como trombocitopenia. Sin embargo, en el caso que presentamos, la afectación medular fue muy grave, con afectación de las tres series hematológicas. La afectación medular grave, por tanto, debe hacer sospechar la existencia de un proceso maligno añadido.
Debido a la activación de la respuesta inflamatoria, se han utilizado con éxito tratamientos con corticoides y gammaglobulinas1, que se recomiendan en los casos graves. El empleo de corticoides en nuestra paciente, muy probablemente, contribuyó a que la leucemia evolucionara hacia la fase de remisión, lo que retrasó el diagnóstico.
Consideramos, por tanto, que es importante confirmar la sospecha de leucemia antes de iniciar tratamiento corticoide en estos casos.




