Sr. Editor:
El síndrome de shock hemorrágico y encefalopatía (SSHE) es una entidad infrecuente, descrita en 1983 por Levin como shock de comienzo brusco, encefalopatía, coagulopatía grave y síndrome hepatorrenal1. Se relaciona con la hiperpirexia2 y se suele observar en niños menores de 12 meses previamente sanos. Suele iniciarse durante la madrugada o a primera hora de la mañana, y es más frecuente durante los meses de invierno3–5. Tiene muy mal pronóstico debido a la afectación del sistema nervioso central (SNC) secundaria al edema cerebral3; más de la mitad de los pacientes fallecen y la mayor parte de los supervivientes sufren secuelas neurológicas graves. Presentamos tres casos de SSHE.
Caso 1. Lactante de 8 meses, con fiebre de pocas horas de evolución y varias deposiciones acuosas. Fue hallada por sus padres en la cuna postrada, arreactiva. En el momento de su ingreso en la unidad de cuidados intensivos pediátricos (UCIP) presentaba muy mal estado general, temperatura axilar de 40,6°C, frecuencia cardíaca de 190 lat./min, presión arterial no invasiva indetectable y relleno capilar de 4–5s. La respiración era agónica, con una puntuación de 8 en la escala de coma de Glasgow (3M/2V/3O). Presentó crisis convulsivas parciales secundariamente generalizadas al tercer día del ingreso de difícil control. En la tomografía computarizada (TC) craneal realizada el sexto día de ingreso se observaron múltiples lesiones isquémicas. Presentó una recuperación progresiva del cuadro con hemiparesia derecha residual.
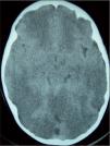
Caso 2. Niño de 2 años y 8 meses, con un cuadro de gastroenteritis de 48h de evolución que presentó dos episodios de crisis cerebrales generalizadas y fiebre elevada (40,4°C), con depresión neurológica brusca. Fue trasladado a nuestra UCIP; en el momento del ingreso presentaba una presión arterial de 80/40mmHg y relleno capilar de 3s, con una discreta anisocoria. En la TC craneal se observó un edema cerebral masivo (fig. 1), causante de una hipertensión intracraneal refractaria, que condujo a muerte encefálica en 24h.
Caso 3. Lactante de 28 días de vida ingresada en la UCIP por bronquiolitis positiva para el virus respiratorio sincitial. Había precisado ventilación mecánica hasta 3 días antes, pero mantuvo posteriormente un muy buen estado general. De forma brusca sufrió un empeoramiento clínico con desaturación, bradicardias y depresión neurológica que progresó a coma con rapidez. Además, tuvo un pico febril de 38°C, midriasis media arreactiva, deposiciones líquidas con sangre fresca, acidosis metabólica, anemización, plaquetopenia y coagulopatía. El cuadro evolucionó a hipotensión refractaria, anuria y bradicardias, y falleció en 8h.
Los datos analíticos al ingreso se exponen en la tabla 1. Los cultivos de sangre, orina y heces (y LCR y cultivos post mórtem en el tercer paciente) resultaron negativos en los 3 casos.
Datos clínicos y analíticos al inicio de la clínica
| Caso 1 | Caso 2 | Caso 3 | |
| Edad (meses) | 8 | 32 | 0,8 |
| Hora de comienzo | 05.00h | 07.30h | 06.00h |
| Fecha | 16 enero | 26 octubre | 25 diciembre |
| Temperatura (°C) | 40,6 | 40,4 | 38 |
| pH | < 6,8 | 7,07 | 6,8 |
| Plaquetas/μl | 552.000 | 226.000 | 28.000 |
| Urea (mg/dl) | 112 | 95 | 14 |
| Creatinina (mg/dl) | 1,93 | 2,66 | 0,1 |
| Glucosa (mg/dl) | 639 | 385 | 621 |
| Sodio (mmol/l) | 169 | 153 | 152 |
| Osmolaridad | 399 | 399 | 308 |
| (mOsm/kg) | |||
| Lactato (mmol/l) | > 15 | ND | > 15 |
| AST (U/l) | 52 | 168 | 80 |
| PCR (mg/dl) | 0,8 | 1,26 | 2,3 |
| PCT (ng/ml) | 12,58 | ND | 4,4 |
| Tasa de protrombina (%) | 28 | 35 | Indetectable |
AST: aspartato aminotransferasa; ND: no disponible; PCR: proteína C reactiva; PCT: procalcitonina.
Para poder realizar un diagnóstico de SSHE confirmado, deben cumplirse todos los criterios clínicos y analíticos definidos por Bacon y Hall: encefalopatía, shock, coagulación intravascular diseminada, diarrea (acuosa o sanguinolenta), anemia y/o trombopenia, acidosis metabólica, aumento de las cifras de transaminasas, fracaso renal y cultivos de líquido cefalorraquídeo y sangre negativos. El cumplimiento de 8 de los 9 criterios o de 7 criterios sin información acerca de los dos restantes, se considera como diagnóstico de SSHE probable4.
La fisiopatología del SSHE sigue siendo desconocida. La relación con la hiperpirexia parece demostrada a partir de los estudios de Bacon2. Por otro lado, Jardine propuso un posible papel de las infecciones virales6 en el desarrollo del SSHE. Otros autores han descrito una posible relación con una bacteriemia transitoria de rápido aclaramiento7 La afectación de la microcirculación cerebral, responsable de la lesión de la corteza cerebral, posiblemente debida a una liberación de enzimas proteolíticas como la tripsina1, parece implicada en este cuadro. El sistema nervioso central (SNC) es el “órgano diana” y el mal pronóstico de este síndrome está relacionado con la afectación del SNC secundaria al edema cerebral3. En la revisión de 134 pacientes realizada por Thébaud, un 60 % fallece, un 30 % sobrevive con secuelas neurológicas y un 10 % supera el cuadro sin secuelas8. En nuestros pacientes, el dato clínico más llamativo fue el rápido deterioro neurológico y la evolución hacia el coma.
La TC craneal proporciona una importante información acerca del pronóstico tanto en la fase aguda como en la convalecencia. La lesión aguda típica es el edema cerebral, que se asocia con un peor pronóstico a mayor gravedad de éste9, como ocurrió en nuestro segundo caso. A partir de los 7 días, se observan encefalomalacia y ventriculomegalia ex vacuo9.
El tratamiento de este cuadro es el de apoyo habitual para un fracaso multiorgánico: expansores de volumen, inotrópicos y soporte respiratorio. El diagnóstico diferencial más importante ha de hacerse con el shock séptico. Otros cuadros que deben destacarse son golpe de calor, síndrome de Reye, síndrome hemolítico-urémico, síndrome de shock tóxico estafilocócico, hipertermia maligna y algunos errores innatos del metabolismo4.




