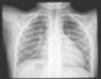
Caso clínico: escolar de 9 años que consulta por bronquitis de repetición desde el año de vida. Asocia dermatitis atópica, urticaria recurrente y rinoconjuntivitis estacional. El embarazo y el perinatal fueron normales. No hay antecedentes de historia de consanguinidad. La madre y el abuelo materno presentan rinoconjuntivitis alérgica a parietaria. El niño sigue un tratamiento de base con montelukast (5mg, una dosis diaria). En la exploración clínica, el dermografismo resulta positivo; el resto, normal. En las exploraciones complementarias se realizan hemograma (el 2,7% de eosinófilos, inmunoglobulina [Ig] E de 156kU/l) y prick test (CAP-System [IgE específica]: Dermatophagoides pteronyssimus de 32,90kU/l y Dermatophagoides farinae de 24kU/l); la IgG, la IgA y la IgM son normales. La radiografía cavum muestra hipertrofia adenoidea. La espirometría basal es del 75% y el test de broncodilatación es positivo. La radiografía de senos paranasales resulta normal. La radiografía de tórax muestra pulmones sin alteraciones significativas. El estómago en el lado derecho y una vena ácigos son prominentes (fig. 1). En la ecografía abdominal se visualiza el hígado centralizado aunque mayoritariamente en el lado izquierdo con vesícula a la derecha. Presenta poliesplenia en el lado derecho. Los riñones son normales. La vena cava inferior a la izquierda de la aorta no presenta interrupción. No se visualizan vena esplénica ni páncreas. Tiene levocardia (fig. 2).
La ecocardiografía muestra situs auricular solitus. La conexión auriculoventricular y los ventrículos arteriales son normales. Los tabiques intracardíacos están íntegros. Hay ausencia de valvulopatías significativas. La función ventricular global y segmentaria es normal. Hay ausencia de ductus o coartación aórtica. En la resonancia magnética (RM) de abdomen se visualiza páncreas corto con mayor tamaño de la cabeza y ausencia de cuello, cuerpo y cola. La vena cava inferior izquierda tiene desembocadura normal de venas renales. Hay ausencia de porción intrahepática de la vena cava inferior, reemplazada por la vena hemiácigos izquierda hasta la encrucijada toracoabdominal, donde el drenaje se continúa con la vena ácigos derecha. Presenta hidrosiringomielia dorsal baja (fig. 3). En la RM de la médula espinal y fosa posterior se visualiza una prominencia del conducto ependimario en el cono medular, sin que se observen anomalías en las raíces de la cola de caballo. No hay lesiones en la fosa posterior.
El paciente fue diagnosticado de situs ambiguo.





