A boy aged 7 years was referred to the pediatric surgery clinic for assessment of a mass in the rib with onset a few months prior and no associated symptoms. The examination revealed a hard, firm mass measuring 2 × 2 cm in the left hemithorax at the level of the body of the fourth rib.
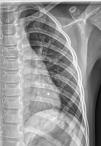
The chest radiograph performed at the outpatient level on account of a previous episode of respiratory illness revealed the presence of a mass compatible with bifid rib (Fig. 1). A computed tomography scan of the thorax (Fig. 2) confirmed the diagnosis and the absence of adjacent abnormalities. The approach to management was conservative with annual followup in the pediatric surgery clinic.
The prevalence of rib anomalies in the general population is of 2%, and bifid rib accounts of 28% of these anomalies.1 It is usually unilateral, right-sided, more prevalent in male individuals and not associated with vertebral anomalies.1,2 They are usually asymptomatic and found by chance. In our case, it manifested as a thoracic mass. However, in some cases it is associated with respiratory or neurologic symptoms or other deformities of the rib cage, and it can also be associated with syndromic disorders such as Gorlin-Goltz syndrome.2,3
The detection of this anomaly at an early age allows initiation of followup and the identification of cases possibly associated with other diseases.
										
				



