Sr. Editor:
El dolor-contractura cervical es un motivo de consulta frecuente en el servicio de urgencias de pediatría1. Se manifiesta como dolor cervical e hipersensibilidad del músculo esternocleidomastoideo del mismo lado que la rotación de la cabeza y en general no existe compromiso de la médula espinal ni síntomas neurológicos2.
Puede ser la única manifestación de un trastorno (tortícolis congénita) o ser un síntoma acompañante de numerosos procesos: infecciones de cabeza y cuello, fármacos con efectos extrapiramidales y traumatismos como las fracturas de vértebras cervicales, lesiones musculares cervicales y subluxación rotatoria atlanto-axial3.
Describimos un caso de presentación atípica de subluxación rotatoria atlanto-axial (SRAA).
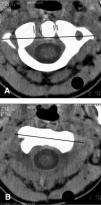
Niño de 14 años que fue remitido a nuestro centro por cuadro de dolor cervical en región mastoidea derecha y fiebre de 7 días de evolución que no había mejorado tras tratamiento antibiótico y antiinflamatorio oral. Con el diagnóstico de mastoiditis aguda se ingresó con antibioterapia parenteral. Se practicó radiología simple, TC de mastoides así como gammagrafía ósea sin hallazgos significativos. La fiebre desapareció a las 24 h del ingreso pero persistía el dolor cervical por lo que se realizó una TC cervical que mostró una subluxación rotatoria atlanto-axial (fig. 1). Posteriormente el niño recordó que se había lanzado desde 4 m de altura sobre una cama elástica golpeándose la región cervical. La evolución posterior con tratamiento conservador fue satisfactoria.
Figura 1 A y B.TC entre agujero occipital y C3. Se observa subluxación rotatoria C1-C2 con descentramiento de la apófisis odontoides.
La causa más frecuente de tortícolis traumática en la infancia es la subluxación rotatoria atlanto-axial; habiéndose descrito ésta bajo numerosos términos distintos en la literatura médica4,5. Se presenta como tortícolis dolorosa asociada a una disminución de la movilidad cervical y rara vez asocia déficit neurológico6,7. En algunos pacientes puede acompañarse de una neuralgia del segundo nervio cervical por irritación a lo largo de su recorrido por la cápsula de la articulación atlantoaxoidea, lo que causa un intenso dolor.
En los casos agudos, el niño se resiste a movilizar el cuello adoptando una posición antiálgica lateralizando el cuello. En la mayoría de los casos se resuelve espontáneamente en días, siendo ésta la forma de presentación más común de la SRAA en la infancia.
El inicio suele ser brusco y se suele asociar a un traumatismo menor tal y como ocurrió en nuestro caso. En el caso de persistir la sintomatología más allá de una semana, si el dolor es muy intenso, si existe la sospecha de lesión vertebral o existen síntomas neurológicos realizaremos pruebas de imagen. En la SRAA la radiología simple cervical muestra una asimetría de la odontoides en relación con las masas laterales del atlas que no se corrige con la rotación del cuello. En la radiografía transoral observamos que las masas laterales del atlas rotadas están próximas a la línea media así como las masas laterales contralaterales se encuentran alejadas de la línea media8,9. La práctica de una tomografía computarizada (TC) demuestra la rotación de las carillas del axis sobre el atlas10. En el caso de síntomas neurológicos realizaremos una resonancia magnética.
En el caso de un paciente afectado de tortícolis lo primero es inmovilizar la columna cervical, y en la mayoría de casos tal y como ocurre en la tortícolis de origen muscular, el tratamiento con reposo y antiinflamatorios será suficiente.
En el caso de llegar al diagnóstico de una SRAA, debemos consultar con el especialista (ortopeda y/o neurocirujano) aunque la mayoría de casos evolucionaran favorablemente con una simple tracción cervical durante varios días seguida de un collarín cervical durante 1 o 2 semanas, tal y como le ocurrió a nuestro paciente.
En los casos de larga evolución, más allá de un mes, se debe instaurar una tracción con Halo con un máximo de 6 kg y una vez conseguida la reducción se debe mantener el Halo jacket durante 4 o 6 semanas. Si a pesar del tratamiento no se consigue estabilizar la articulación atlantoaxoidea está indicada la fusión cervical8,10,.
Así pues en la evaluación inicial de un niño con tortícolis debemos incluir una anamnesis detallada buscando un antecedente traumático, aunque éste sea mínimo, teniendo en cuenta que la ausencia de antecedente traumático no excluye la SRAA, especialmente en pediatría.
Correspondencia: Dr. S. Argemí Renom.
Servicio de Urgencias de Pediatría. Hospital de Sabadell.
Parc Taulí, s/n. Apdo. de Correos 196.
08208 Sabadell. Barcelona. España.
Correo electrónico: sargemí@cspt.es



