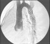
Presentamos el caso de un varón de 13 años de vida y 40kg de peso, remitido para tratamiento por diagnóstico de coartación de aorta y ductus. A la exploración física presentaba ligera hiperdinamia con un soplo continuo 2–3/6 infraclavicular izquierdo, asimetría en los pulsos y gradiente tensional entre miembros, con hipertensión en miembros superiores. El ECG mostraba crecimiento ventricular izquierdo y en la radiografía de tórax (fig. 1) se apreciaba ligera cardiomegalia con muescas costales (signo de Roësler). La ecocardiografía transtorácica demostró la presencia de una coartación aórtica severa a 25mm de la arteria subclavia izquierda con ligera hipoplasia de istmo aórtico, con dilatación poscoartación, y un ductus arterioso persistente yuxtacoartación de unos 2mm. Se realizó angioplastia primaria percutánea de la coartación con implantación de stent recubierto montado sobre balón de 18mm, que ocluye simultáneamente el ductus (fig. 2). Buen resultado angiohemodinámico, sin cortocircuito ductal residual, ni gradiente de presión aorta ascendente-descendente (fig. 3). Alta a las 24h del procedimiento con doble antiagregación.
DiscusiónActualmente está ampliamente extendido el uso de procedimientos intervencionistas percutáneos para el tratamiento tanto del ductus arterioso persistente en pacientes por encima de 15kg de peso, e incluso menores, como de la coartación de aorta nativa en pacientes adultos o casi adultos por encima de los 30kg de peso, como alternativas a la corrección quirúrgica. La combinación de ambos defectos es poco frecuente en pacientes adultos. Se han descrito con anterioridad abordajes secuenciales y simultáneos por vía percutánea para ambas patologías, inicialmente usando primero un dispositivo de cierre de ductus y posteriormente dilatando la coartación con stent. Más recientemente se ha descrito una técnica sencilla, con similar eficacia, mediante el uso de stent recubiertos, que permitirían la dilatación de la coartación de aorta, y a su vez, por aposición a la pared arterial, permitirían el cierre simultáneo del ductus arterioso, minimizando los posibles riesgos de formación de pseudoaneurismas o de ruptura aórtica y disminuyendo considerablemente los tiempos de fluoroscopia del procedimiento.





