La tuberculosis pulmonar se puede manifestar con clínica y radiología de neumonía aguda. En estos casos, suele sospecharse ante la falta de mejoría del cuadro con un tratamiento antibiótico empírico adecuado. Se presenta un caso clínico de tuberculosis pulmonar que debutó con clínica de neumonía aguda refractaria.
Niña de 2 años que ingresa procedente de otro hospital con diagnóstico de neumonía, sin derrame pleural que no mejora a pesar de tratamiento antibiótico.
En el hospital de origen se había iniciado tratamiento con cefotaxima y 3 días después se asoció claritromicina al no objetivarse mejoría. Al sexto día se añadió vancomicina al tratamiento, pero persistían la fiebre alta, la dificultad respiratoria y la afectación del estado general. La paciente precisaba oxigenoterapia. Se realizó una ecografía torácica que no evidenció derrame pleural y se remitió a nuestro hospital para continuar el estudio.
A su llegada a nuestro centro, presenta fiebre elevada de una semana de evolución, acompañada de tos productiva y dificultad respiratoria, así como vómitos con la tos. No tiene antecedentes personales de interés. Las inmunizaciones habían sido correctas y no había sido vacunada con BCG. Su familia es de origen marroquí y en su domicilio conviven dos padres, un tío, dos abuelos, una hermana de un año y la paciente. No constan enfermedades conocidas en la familia.
En la exploración física presenta un regular estado general con taquipnea y tiraje leve, y tos productiva intensa. No tiene signos de deshidratación; buena coloración de piel y mucosas. No presenta adenopatías importantes. A la auscultación pulmonar se objetiva hipoventilación marcada en el hemitórax derecho, con murmullo vesicular conservado en base, y auscultación de soplo tubárico en el vértice derecho. No se hallan otras alteraciones a la exploración.
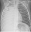
Ingresa en planta, se mantiene el tratamiento del hospital de origen y se realiza una radiografía de tórax en la que se observa una extensa opacificación del hemitórax derecho (fig. 1). Ante estos hallazgos, se continúa el estudio con una TC de tórax en la que se aprecian calcificaciones paratraqueales e hiliares derechas, consolidación subtotal del pulmón derecho con bronquiectasias, y obstrucción del bronquio principal derecho en su origen (fig. 2).
TC de tórax. A) Consolidación subtotal del pulmón derecho con broncograma aéreo. Calcificaciones paratraqueales e hiliares derechas, probablemente en relación con adenopatías calcificadas por enfermedad tuberculosa. B) Reconstrucción en plano coronal. Obstrucción del bronquio principal derecho en su origen, con consolidación del pulmón derecho y bronquiectasias.
Ante la sospecha radiológica de tuberculosis pulmonar, se cambia el tratamiento a isoniacida, rifampicina, pirazinamida y etambutol, asociándose meropenem y glucocorticoides (indicados al tratarse de una lesión endobronquial avanzada1). La fiebre y el estado general mejoraron rápidamente y dejó de precisar oxigenoterapia. Se realizó una prueba de intradermorracción con tuberculina que fue positiva (10mm de induración).
Dada la oclusión del bronquio principal derecho objetivada en la TC de tórax, el servicio de neumología realizó una fibrobroncosopia en la que se encontró un granuloma que ocupaba más del 90% de la luz bronquial. A las 48h se realizó, bajo anestesia general, una cirugía endoscópica mediante broncoscopia rígida en la que se extirparon, mediante la extracción con pinzas de fragmentos de los granulomas («a bocados») hasta su total eliminación, varios granulomas de gran tamaño que obstruían la luz bronquial, y se realizó una permeabilización parcial de ésta. Las baciloscopias en el jugo gástrico, el esputo, el aspirado bronquial y el lavado broncoalveolar fueron negativas.
En el control radiológico tras la cirugía se comprobó resolución de la atelectasia del lóbulo inferior derecho y una mejoría clara de la aireación del pulmón derecho. La auscultación pulmonar resultó prácticamente normal al alta.
Cada vez resulta más habitual encontrar casos de tuberculosis en nuestro medio. Uno de los principales motivos es la gran afluencia de inmigrantes de zonas endémicas. Los pacientes pediátricos no son una excepción y debe preocupar a la comunidad médica que se estén detectando cada vez más casos de pacientes de corta edad con enfermedad tuberculosa grave. A esto hay que añadir la aparición de cepas resistentes y la dificultad para identificar el foco de transmisión y los posibles contactos.
El caso clínico presentado describe una forma endobronquial de tuberculosis pulmonar. La radiografía de tórax es un método diagnóstico poco sensible y específico para el diagnóstico de adenopatías paratraqueales y subcarinales2-4. Sin embargo, la TC torácica con contraste es muy precisa para detectar adenopatías5 y en muchos casos, como el nuestro, permite llegar al diagnóstico.




