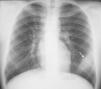
Niño de 13 años, que consulta por dolor desde hace 4 meses en hemitórax izquierdo, irradiado a la zona posterior, relacionándolo con el esfuerzo y mejorando con el reposo. La exploración era dolorosa a la palpación profunda de la región media costal izquierda. Se le realizó Rx simple de tórax (fig. 1), objetivándose una tumoración extrapulmonar izquierda en relación con el 7° arco costal, que no erosiona. La resonancia magnética en secuencia T1 (fig. 2) mostró una tumoración de alta intensidad de señal, sólida, homogénea en íntimo contacto con el 7° arco costal, que no presentaba matriz ósea, y con bordes obtusos característicos de las lesiones extrapleurales. El hemograma y la bioquímica realizada fueron normales. El paciente fue intervenido realizándole exéresis en bloque del tumor y 7.° arco costal. El resultado anatomopatológico fue de tumor neuroectodérmico primitivo (tumor de Askin).
Askin en 19791, describió por primera vez un tumor maligno de la pared torácica, que afectaba a gente joven y presentaba un comportamiento agresivo; actualmente se engloban dentro de los denominados pNET (tumor neuroectodérmico periférico primitivo)2, caracterizados por presentar una traslocación cromosómica específica, t(11;22) (q24;q12) que origina expresión de la proteína NSE-MIC2, al igual que el sarcoma de Ewing, por lo que se incluye actualmente entre los tumores de la familia del sarcoma de Ewing1,3. El diagnóstico diferencial incluye procesos, que afectan a la pared torácica, pudiendo ser malignos (linfoma, neuroblastoma metastásico, rabdiomiosarcoma, hemangiopericitoma, histiocitosis de células de Langerhans) o benignos (lipoblastoma, fibroma, linfangioma, hamartoma mesenquimal)4. El tratamiento consiste en la exéresis quirúrgica, acompañado de quimioterapia, variando la supervivencia según el tamaño tumoral y grado de resecabilidad, pudiendo oscilar a los 5 años desde menos del 60 al 80% de supervivencia1.




